Foram encontradas 1.460 questões.

Antonio Carlos Campos de Carvalho. In:
Bioengenharia de tecidos. Uso de células-tronco na prática médica.
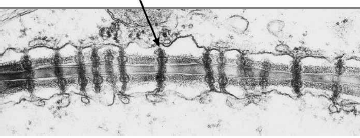
A respeito da figura acima, que representa esquematicamente a interface entre um tecido epitelial e um tecido conjuntivo, julgue os itens que se seguem.
I Em todo o corpo, a estrutura acima forma uma barreira que define compartimentos teciduais e, normalmente, restringe o movimento das células epiteliais de um compartimento para outro.
II A estrutura mostrada é constituída pela lâmina basal, produzida pelas células epiteliais e a lâmina reticular, esta produzida por células do tecido conjuntivo.
III A lâmina lúcida, que consiste de glicoproteínas extracelulares, e a lâmina densa, que consiste de proteínas transmenbranares, atuam tanto como um filtro molecular quanto como um suporte flexível para o epitélio subjacente.
IV A estrutura acima orienta a migração celular ao longo de sua superfície durante a organogênese e reepitelização nos processos de regeneração.
Assinale a opção correta.
Provas

Internet: <histology2.tripod.com>.
O tecido assinalado na figura acima tem a função de
Provas
Células de organismos multicelulares agrupam-se para formar associações estruturais e funcionais. Entretanto, essas associações são constituídas de células e de uma matriz extracelular, um complexo de macromoléculas produzidas pelas células e exportadas por elas para o espaço intercelular. Com relação a esse assunto, assinale a opção correta.
Provas
O revestimento amorfo que existe sobre a superfície luminal de células animais tem como função o(a)
Provas

Leslie P. Gartner e James L. Hiatt. Tratado de histologia. 1999.
Com auxílio da figura acima, assinale a opção correta, acerca das estruturas celulares.
Provas
Um estudo citoquímico em fibroblastos ao nível de microscopia eletrônica de transmissão, após a impregnação prolongada com tetróxido de ósmio e pela detecção da enzima tiaminopirofosfatase, mostrou os dois sáculos da face cis com as suas porções centrais achatadas e as porções periféricas dilatadas impregnadas pelo tetróxido de ósmio, enquanto o produto de reação para detecção da enzima tiaminopirofosfatase foi observado nos sáculos da região trans.
Com relação à organela citoplasmática referida no texto acima, assinale a opção correta.
Provas
A capacidade que as células eucarióticas possuem de organizar o seu espaço interior, de adotar uma variedade de formas, de executar movimentos coordenados e direcionados, e de promover o movimento intracelular de moléculas, depende de uma intrincada rede tridimensional de proteínas filamentosas que se estendem por todo o citoplasma. Com relação às proteínas filamentosas que constituem essa rede tridimensional, assinale a opção correta.
Provas

Internet: <www.lookfordiagnosis.com>.
Na figura acima, que ilustra uma região das membranas e paredes celulares de duas células vegetais adjacentes, a sete indica
Provas

Internet: <www1.kimberly.k12.wi.us>.
Considerando as figuras acima e o assunto a que elas se referem, julgue os itens subsequentes.
I A resistência elétrica de uma membrana é diretamente proporcional à sua quantidade de proteínas.
II Nas figuras A e E, estão ilustradas, respectivamente, proteínas de transporte e de adesão celular.
III Em B e D, estão ilustradas proteínas transmembrana que agem como receptores de sinal, pois transferem informação através da membrana citoplasmática.
V Embora as proteínas da membrana plasmática possam difundirse de modo relativamente livre dentro do plano da membrana, a proteína transmembrana como a ilustrada em F tem seus movimentos restringidos por estar ancorada a um componente do citoesqueleto.
Estão certos apenas os itens
Provas
Disciplina: Atualidades e Conhecimentos Gerais
Banca: CESPE / CEBRASPE
Orgão: INMETRO
Texto para a questão.
O Brasil se candidata à quinta posição no ranque das economias mundiais. Não pode mais, por isso, ser considerado país pobre. É desigual, como a Índia e a China. Apesar, porém, do lugar privilegiado, não logrou dar o salto qualitativo capaz de incluí-lo no seleto clube do Primeiro Mundo. Mantém-se como nação periférica. Há muitas explicações para o fenômeno. Uma delas sobressai: a educação subdesenvolvida.
Correio Braziliense. Editorial:
Educação subdesenvolvida. 4/12/2009, p. 16 (com adaptações).
Ainda tendo o texto apresentado como referência inicial e considerando o atual cenário da educação brasileira, assinale a opção correta.
Provas
Caderno Container