Magna Concursos

Foram encontradas 100 questões.

723288 Ano: 2014
Disciplina: Direito Penal
Banca: VUNESP
Orgão: PC-SP
Provas:
Fulano é portador de doença venérea contagiosa e, mesmo sabendo disso, mantém relação sexual com Ciclana. Essa conduta de Fulano, de acordo com o que dispõe o Código Penal,
 

Provas

Questão presente nas seguintes provas
723287 Ano: 2014
Disciplina: Direito Penal
Banca: VUNESP
Orgão: PC-SP
Provas:
Artaxerxes cometeu o crime de homicídio contra Valenciano. Apurou-se que Artaxerxes cometeu o crime sob o domínio de violenta emoção logo em seguida a injusta provocação de Valenciano. Nessa hipótese, pelo que dispõe o Código Penal e desconsiderando outros eventuais fatores, é correto afirmar que
 

Provas

Questão presente nas seguintes provas
723271 Ano: 2014
Disciplina: Direito Penal
Banca: VUNESP
Orgão: PC-SP
Provas:
Nas necropsias de vítimas de homicídio do sexo feminino, em idade fértil, é importante o exame do útero para avaliação da possibilidade de gravidez, uma vez que, em caso positivo,
 

Provas

Questão presente nas seguintes provas
723263 Ano: 2014
Disciplina: Direito Penal
Banca: VUNESP
Orgão: PC-SP
Provas:
Conforme dispõe a Lei n.º 11.343/2006 (Lei de Tóxicos), para efeito da lavratura do auto de prisão em flagrante e estabelecimento da materialidade do delito,
 

Provas

Questão presente nas seguintes provas
723230 Ano: 2014
Disciplina: Direito Penal
Banca: VUNESP
Orgão: PC-SP
Provas:
Apropriar-se o funcionário público de dinheiro, valor ou qualquer outro bem móvel, público ou particular, de que tem a posse em razão do cargo, ou desviá-lo, em proveito próprio ou alheio. Essa é uma definição do crime de
 

Provas

Questão presente nas seguintes provas
723186 Ano: 2014
Disciplina: Segurança Pública
Banca: VUNESP
Orgão: PC-SP
Provas:
Entende-se por “cadeia de custódia”
 

Provas

Questão presente nas seguintes provas
723181 Ano: 2014
Disciplina: Medicina Legal
Banca: VUNESP
Orgão: PC-SP
Provas:
Segundo normatização do Ministério da Saúde, a necropsia de vítima de morte suspeita ou violenta deve ser realizada por médico legista no Instituto Médico Legal (IML). Na hipótese de não haver IML na localidade em questão, recomenda-se que a declaração de óbito seja emitida da seguinte forma:
 

Provas

Questão presente nas seguintes provas
723177 Ano: 2014
Disciplina: Medicina Legal
Banca: VUNESP
Orgão: PC-SP
Provas:
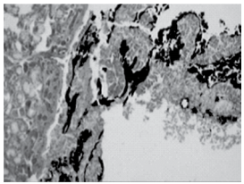
Indivíduo vítima de homicídio por arma de fogo teve seu corpo queimado com a finalidade de ocultação do corpo e, consequentemente, do crime. Durante a necropsia, foi colhido fragmento de via aérea (traqueia) cujo exame histopatológico mostrou presença de material enegrecido, compatível com fuligem, aderido ao epitélio de revestimento da mucosa, conforme mostra a figura.

enunciado 723177-1

É correto afirmar que
 

Provas

Questão presente nas seguintes provas
723176 Ano: 2014
Disciplina: Medicina Legal
Banca: VUNESP
Orgão: PC-SP
Provas:
A figura a seguir corresponde à realização da Docimásia Hidrostática de Galeno durante uma necropsia de feto para a constatação se houve vida extra-uterina.

enunciado 723176-1

Observa-se que fragmentos dos pulmões flutuam no recipiente contendo água. Pode-se afirmar, portanto, que
 

Provas

Questão presente nas seguintes provas
723175 Ano: 2014
Disciplina: Medicina Legal
Banca: VUNESP
Orgão: PC-SP
Provas:
A figura seguinte refere-se à lesão encontrada na carótida comum de vítima de suicídio por enforcamento.

enunciado 723175-1

Observa-se, no terço médio, o destacamento da túnica externa das outras túnicas do vaso, que corresponde ao sinal de
 

Provas

Questão presente nas seguintes provas