Magna Concursos

Foram encontradas 800 questões.

2154834 Ano: 2021
Disciplina: Farmácia
Banca: FGV
Orgão: PM-AM

As complicações respiratórias que caracterizam um desvio do equilíbrio ácido-base diagnosticado como acidose metabólica, podem ser observadas por meio das seguintes alterações observadas pelo exame de gasometria em sangue arterial:

 

Provas

Questão presente nas seguintes provas
2154833 Ano: 2021
Disciplina: Farmácia
Banca: FGV
Orgão: PM-AM

Os tubos para coleta de sangue são usados para coletar e transportar as amostras de sangue do paciente até o laboratório para posterior análise. Esses tubos possuem uma coloração específica, em função do aditivo colocado no seu interior, para a preservação do material para o exame especifico. Relacione a cor de cada tubo abaixo, com o aditivo presente e/ou o teste indicado para o paciente.

COR DO TUBO

INDICAÇÃO

1. Rosa/roxo/lilás

( ) possui citrato de sódio, para estimular a coagulação.

2. Amarelo

( ) possui ativador de coágulo+gel, para após a coagulação, haver uma separação física entre a parte celular e liquida (soro)

3. Cinza

( ) Possui EDTA, anticoagulante para preservação da morfologia celular, para rotinas hematológicas

4. Azul

( ) Possui heparina de lítico, aditivo que ativa as enzimas antiplaquetárias que bloqueiam a cascata de coagulação

5. Verde

( ) Fluoreto de sódio e EDTA, atuando como inibidor glicótico e anticoagulante, utilizando para análises que incluem dosagem de glicos.

A sequência numérica correta para a correlação, na ordem dada, é

 

Provas

Questão presente nas seguintes provas
2154832 Ano: 2021
Disciplina: Medicina
Banca: FGV
Orgão: PM-AM

Com relação à ecocardiografia sob estresse, analise as afirmações a seguir:

I. A utilização do contraste endocavitário facilita a visualização das paredes do VE, ao mesmo tempo que permite a avaliação da perfusão miocárdica.

II. Broncoespasmo e uso de xantinas são contraindicações ao uso de Dipiridamol.

III. Está indicada para avaliação de pacientes portadores de estenose aórtica grave de baixo fluxo e baixo gradiente e fração de ejeção reduzida, para diferenciar estenose aórtica grave de pseudo-estenose aórtica grave.

Está correto o que se afirma em:

 

Provas

Questão presente nas seguintes provas
2154831 Ano: 2021
Disciplina: Medicina
Banca: FGV
Orgão: PM-AM

Paciente diabético do sexo masculino, 66 anos, apresenta sinais clínicos de neuropatia sensitiva nos membros inferiores. Quanto ao cuidado com o pé diabético, avalie as seguintes afirmações.

I. Usar cremes para prevenir a pele seca.

II. Aplicar água quente e compressa morna sobre os pés.

III. Lavar diariamente os pés, secando bem entre os dedos.

Está correto o que se afirma em

 

Provas

Questão presente nas seguintes provas
2154830 Ano: 2021
Disciplina: Medicina
Banca: FGV
Orgão: PM-AM

Homem de 25 anos é atendido durante viagem ao Jalapão (TO) com dor abdominal, vômitos e diarreia com sangue. No exame físico sua temperatura axilar é de 36,8ºC, frequência cardíaca de 120 bpm e pressão arterial de 110/75 mmHg. Exames complementares realizados na urgência mostram: hemoglobina = 9,5 g/l; leucometria = 13.000/mm3; contagem relativa de neutrófilos = 83%; contagem de plaquetas = 30.000/mm3; ureia sérica = 156 mg/dL; creatinina sérica = 5,2 mg/dL.

Além da reposição adequada de líquidos por via intravenosa, qual a próxima abordagem mais apropriada para este paciente:

 

Provas

Questão presente nas seguintes provas
2154829 Ano: 2021
Disciplina: Medicina
Banca: FGV
Orgão: PM-AM

Mulher de 73 anos com história de dispneia aos esforços vai à consulta médica. A radiografia do tórax revelou hipertensão venosa pulmonar. Encontra-se em uso de anticoagulante oral, betabloqueador e diurético de alça, porém refere cansaço e dispneia. No exame apresenta ritmo cardíaco irregular e frequência ventricular de 104 bpm, pressão arterial de 160/80 mmHg; há distensão venosa jugular e edema dos membros inferiores, mas não foram encontrados sopros, terceira bulha ou ruídos adventícios pulmonares à ausculta. A radiografia do tórax revelou hipertensão venosa pulmonar e o ecocardiograma apresentou fração de ejeção de 65%, ventrículo esquerdo com diâmetro normal e hipertrofia concêntrica, e aumento do átrio esquerdo.

Sobre essa paciente, podemos afirmar que apresenta

 

Provas

Questão presente nas seguintes provas
2154828 Ano: 2021
Disciplina: Medicina
Banca: FGV
Orgão: PM-AM

Homem de 67 anos com história prévia de DPOC e ainda tabagista, apesar de ter sido orientado para cessar o hábito, é atendido com dispneia em unidade de pronto atendimento. Refere tosse matinal pouco produtiva e vem se mantendo afebril nos últimos dias. Ao exame físico se nota veias jugulares túrgidas a 45º; bulhas cardíacas hipofonéticas e ausculta respiratória com redução universal do murmúrio vesicular; presença de edema de membros inferiores 9++/4+).

A causa mais provável da dispneia é:

 

Provas

Questão presente nas seguintes provas
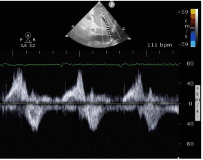
2154827 Ano: 2021
Disciplina: Medicina
Banca: FGV
Orgão: PM-AM

Considere um paciente de 72 anos, portador de fibrilação atrial e doença pulmonar crônica, admitido com dispneia e edema de membros inferiores.

Com base na imagem do fluxo da veia supra-hepática a seguir, assinale a alternativa que apresenta a hipótese diagnóstica mais provável.

Enunciado 2154827-1

 

Provas

Questão presente nas seguintes provas
2154826 Ano: 2021
Disciplina: Medicina
Banca: FGV
Orgão: PM-AM

A conduta terapêutica a ser tomada em paciente portador de insuficiência adrenal com diagnóstico confirmado de COVID-19 e que apresenta febre, tosse seca, cansaço, mialgia, dor de garganta e congestão nasal é

 

Provas

Questão presente nas seguintes provas
2154825 Ano: 2021
Disciplina: Medicina
Banca: FGV
Orgão: PM-AM

A ocorrência de eritema nodoso acompanhado de febre, adenopatia hilar, poliartrite migratória e iridociclite aguda, em um paciente com sarcoidose, caracteriza a

 

Provas

Questão presente nas seguintes provas