Foram encontradas 800 questões.
Um medicamento inibidor da enzima HMG-CoA redutase é o(a)
Provas
Dos anti-hipertensivos relacionados a seguir, assinale a opção mais adequada como monoterapia em um homem de 60 anos sem outras comorbidades e com hipertensão estágio I não responsiva a medidas não-farmacológicas.
Provas
Assinale a opção que apresenta apenas fatores de risco cardiovasculares não-modificáveis.
Provas
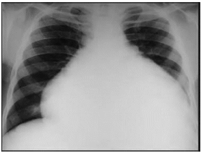
Identifique o achado de exame físico que pode estar associado à condição identificada na radiografia abaixo.

Provas
O seguinte achado clínico constitui um critério maior de Jones para o diagnóstico de febre reumática:
Provas
No contexto das cardiopatias congênitas detectadas apenas na vida adulta, assinale o achado do exame físico compatível com o defeito apresentado na figura a seguir.

Provas
O seguinte anticoagulante atua como um inibidor direto da trombina:
Provas
Homem de 64 anos, tabagista, hipertenso e diabético em tratamento irregular, procura atendimento de urgência relatando dispneia aos pequenos esforços há uma semana associada a tosse com expectoração amarelada e calafrios noturnos. Negava dor torácica, palpitação ou síncope.
Ao exame: taquidispneico, sudoreico, frequência cardíaca 110 bpm; pressão arterial 190 x 110 mmHg, SatO2 86%, temperatura 37,8ºC. Ritmo cardíaco regular, sem sopros, murmúrio reduzido na base direita e com estertores até os ápices pulmonares bilateralmente.
Assinale a melhor alternativa considerando o diagnóstico na sala de emergência, o fator precipitante e a terapêutica medicamentosa imediata a ser instituída.
Provas
De acordo com as classificações de Stanford e DeBakey para dissecção aórtica, a forma apresentada na figura a seguir corresponde ao tipo

Provas
Identifique a droga hipoglicemiante a seguir que está associada à redução de mortalidade em pacientes com insuficiência cardíaca e fração de ejeção reduzida.
Provas
Caderno Container