Foram encontradas 120 questões.

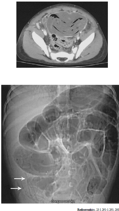
As imagens acima são de um mesmo paciente. Considerando essa imagens e os achados por elas revelados, julgue os itens subseqüentes.
O músculo ilíaco direito apresenta aspecto normal, sem evidências de abscesso.
Provas

As imagens acima são de um mesmo paciente. Considerando essa imagens e os achados por elas revelados, julgue os itens subseqüentes.
Existe grande dilatação do cólon sigmóide.
Provas

As imagens acima são de um mesmo paciente. Considerando essa imagens e os achados por elas revelados, julgue os itens subseqüentes.
As setas indicam a presença de parasitas.
Provas

As imagens acima são de um mesmo paciente. Considerando essa imagens e os achados por elas revelados, julgue os itens subseqüentes.
Há um grande abscesso pélvico.
Provas

As imagens acima são de um mesmo paciente. Considerando essa imagens e os achados por elas revelados, julgue os itens subseqüentes.
Há sinais de semioclusão intestinal.
Provas

As imagens acima são de um mesmo paciente. Considerando essa imagens e os achados por elas revelados, julgue os itens subseqüentes.
A tomografia foi realizada sem contraste venoso.
Provas

A imagem acima é de uma paciente de 65 anos de idade, com hemiplegia direita há cinco horas. Com base nessa imagem, é correto afirmar que
a fissura de Sílvio esquerda está apagada.
Provas

A imagem acima é de uma paciente de 65 anos de idade, com hemiplegia direita há cinco horas. Com base nessa imagem, é correto afirmar que
a lesão está no território da artéria cerebral principal esquerda.
Provas

A imagem acima é de uma paciente de 65 anos de idade, com hemiplegia direita há cinco horas. Com base nessa imagem, é correto afirmar que
a flexa branca longa mostra o núcleo lenticular, levemente hipodenso.
Provas

A imagem acima é de uma paciente de 65 anos de idade, com hemiplegia direita há cinco horas. Com base nessa imagem, é correto afirmar que
a flexa branca curta mostra a insula.
Provas
Caderno Container