Magna Concursos

Foram encontradas 120 questões.

542712 Ano: 2004
Disciplina: Medicina
Banca: CESPE / CEBRASPE
Orgão: Pref. Aracaju-SE
Provas:

Enunciado 542712-1

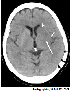
A imagem acima é de uma paciente de 65 anos de idade, com hemiplegia direita há cinco horas. Com base nessa imagem, é correto afirmar que

a cabeça de flexa indica o núcleo caudado.

 

Provas

Questão presente nas seguintes provas
542711 Ano: 2004
Disciplina: Medicina
Banca: CESPE / CEBRASPE
Orgão: Pref. Aracaju-SE
Provas:

Enunciado 542711-1

A imagem acima é de uma paciente de 65 anos de idade, com hemiplegia direita há cinco horas. Com base nessa imagem, é correto afirmar que

as flechas negras indicam edema cortical no lobo occipital.

 

Provas

Questão presente nas seguintes provas
542710 Ano: 2004
Disciplina: Medicina
Banca: CESPE / CEBRASPE
Orgão: Pref. Aracaju-SE
Provas:

Enunciado 542710-1

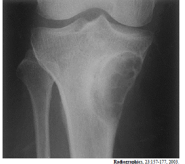
A radiografia acima é de um paciente do sexo masculino, com 25 anos de idade, com queixa de dores no joelho. Considerando essa imagem, é correto afirmar que

fibroma não ossificante é um diagnóstico diferencial adequado.

 

Provas

Questão presente nas seguintes provas
542709 Ano: 2004
Disciplina: Medicina
Banca: CESPE / CEBRASPE
Orgão: Pref. Aracaju-SE
Provas:

Enunciado 542709-1

A radiografia acima é de um paciente do sexo masculino, com 25 anos de idade, com queixa de dores no joelho. Considerando essa imagem, é correto afirmar que

a lesão é do tipo metafisária.

 

Provas

Questão presente nas seguintes provas
542708 Ano: 2004
Disciplina: Medicina
Banca: CESPE / CEBRASPE
Orgão: Pref. Aracaju-SE
Provas:

Enunciado 542708-1

A radiografia acima é de um paciente do sexo masculino, com 25 anos de idade, com queixa de dores no joelho. Considerando essa imagem, é correto afirmar que

a lesão tem aspecto de benignidade.

 

Provas

Questão presente nas seguintes provas
542707 Ano: 2004
Disciplina: Medicina
Banca: CESPE / CEBRASPE
Orgão: Pref. Aracaju-SE
Provas:

Enunciado 542707-1

A radiografia acima é de um paciente do sexo masculino, com 25 anos de idade, com queixa de dores no joelho. Considerando essa imagem, é correto afirmar que

a lesão é predominantemente blástica.

 

Provas

Questão presente nas seguintes provas
542706 Ano: 2004
Disciplina: Medicina
Banca: CESPE / CEBRASPE
Orgão: Pref. Aracaju-SE
Provas:

Enunciado 542706-1

A radiografia acima é de um paciente do sexo masculino, com 25 anos de idade, com queixa de dores no joelho. Considerando essa imagem, é correto afirmar que

o diagnóstico mais provável é de tumor de células gigantes.

 

Provas

Questão presente nas seguintes provas
542705 Ano: 2004
Disciplina: Medicina
Banca: CESPE / CEBRASPE
Orgão: Pref. Aracaju-SE
Provas:

Enunciado 542705-1

A radiografia acima é de um paciente do sexo masculino, com 25 anos de idade, com queixa de dores no joelho. Considerando essa imagem, é correto afirmar que

a lesão situa-se na medular.

 

Provas

Questão presente nas seguintes provas
542704 Ano: 2004
Disciplina: Medicina
Banca: CESPE / CEBRASPE
Orgão: Pref. Aracaju-SE
Provas:

Enunciado 542704-1

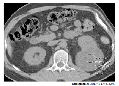
A figura acima mostra um corte de tomografia computadorizada de um homem com 47 anos de idade. Considerando essa imagem e as patologias a ela associadas, julgue os seguintes itens.

Quando a tomografia indica suspeição em um nódulo renal, a biópsia percutânea é recomendada.

 

Provas

Questão presente nas seguintes provas
542703 Ano: 2004
Disciplina: Medicina
Banca: CESPE / CEBRASPE
Orgão: Pref. Aracaju-SE
Provas:

Enunciado 542703-1

A figura acima mostra um corte de tomografia computadorizada de um homem com 47 anos de idade. Considerando essa imagem e as patologias a ela associadas, julgue os seguintes itens.

Cistos renais são normalmente assintomáticos.

 

Provas

Questão presente nas seguintes provas