Foram encontradas 330 questões.
Qual é a numeração dada aos dentes decíduos do lado
superior esquerdo?
Provas
Questão presente nas seguintes provas
Para elucidar uma dúvida clínica, o cirurgião-dentista solicita
que o técnico em saúde bucal realize uma radiografia do tipo
bite-wing em um paciente. Trata-se, portanto, de uma
radiografia para avaliar a região
Provas
Questão presente nas seguintes provas
Qual material restaurador é indicado para realizar uma
restauração na face vestibular do dente 11?
Provas
Questão presente nas seguintes provas
Leia o caso a seguir.
Em uma situação em que um consultório odontológico de uma equipe de saúde da família encontrava-se com paredes tomadas por mofo, goteiras e vazamentos de água e com aparelho de ar-condicionado estragado, encontra-se um cirurgião-dentista que se recusou a continuar trabalhando naquelas condições. Para fundamentar tal recusa lançou mão de um trecho do Código de Ética Odontológica (CEO): “recusarse a exercer a profissão em âmbito público ou privado onde as condições de trabalho não sejam dignas, seguras e salubres”.
O trecho extraído do CEO é considerado
Em uma situação em que um consultório odontológico de uma equipe de saúde da família encontrava-se com paredes tomadas por mofo, goteiras e vazamentos de água e com aparelho de ar-condicionado estragado, encontra-se um cirurgião-dentista que se recusou a continuar trabalhando naquelas condições. Para fundamentar tal recusa lançou mão de um trecho do Código de Ética Odontológica (CEO): “recusarse a exercer a profissão em âmbito público ou privado onde as condições de trabalho não sejam dignas, seguras e salubres”.
O trecho extraído do CEO é considerado
Provas
Questão presente nas seguintes provas
Segundo a Política Nacional de Atenção Básica (Brasil, 2017),
“responsabilizar-se pelo acompanhamento da população
adscrita ao longo do tempo no que se refere às múltiplas
situações de doenças e agravos, e às necessidades de
cuidados preventivos, permitindo a longitudinalidade do
cuidado” é uma atribuição
Provas
Questão presente nas seguintes provas
Leia o caso a seguir.
Um paciente se queixou a um técnico em saúde bucal (TSB) de uma equipe de saúde da família que constantemente o atendimento odontológico estava suspenso. Na ocasião, o TSB explicou que o motivo principal era o compressor estragado, que era muito antigo, e falta de material odontológico (anestésico, algodão, material restaurador etc.). Assim, o paciente foi orientado a ligar na ouvidoria do SUS, o Disque-Saúde 136, para registrar sua insatisfação.
O serviço de ouvidoria está ligado a qual diretriz do SUS?
Um paciente se queixou a um técnico em saúde bucal (TSB) de uma equipe de saúde da família que constantemente o atendimento odontológico estava suspenso. Na ocasião, o TSB explicou que o motivo principal era o compressor estragado, que era muito antigo, e falta de material odontológico (anestésico, algodão, material restaurador etc.). Assim, o paciente foi orientado a ligar na ouvidoria do SUS, o Disque-Saúde 136, para registrar sua insatisfação.
O serviço de ouvidoria está ligado a qual diretriz do SUS?
Provas
Questão presente nas seguintes provas
Conforme a Lei nº 8.080/1990, que dispõe sobre o Sistema
Único de Saúde (SUS), os serviços públicos de saúde
obedecem ao princípio da integralidade da assistência,
entendido como
Provas
Questão presente nas seguintes provas
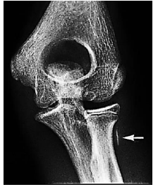
Artefatos são características visuais falsas em uma imagem médica que distorcem a interpretação do exame, levando a diagnósticos imprecisos. Observe a imagem a seguir.

BOTELHO, M. Z. Controle de qualidade de sistemas digitais. Disponível em:
<https://inis.iaea.org/collection/NCLCollectionStore/
_Public/46/131/46131489.pdf. Acesso em: 05 set. 2024.
Na imagem, a seta indica um artefato causado por
Provas
Questão presente nas seguintes provas
A dose medida a 100 cm do ponto focal de um tubo de raios
X vale 144 µGy quando operado a 70 kVp. Qual será a dose
a uma distância de 300 cm do ponto focal do mesmo tubo,
operando à mesma tensão?
Provas
Questão presente nas seguintes provas
Se comparados com a luz visível, os raios X utilizados na
radiologia médica apresentam
Provas
Questão presente nas seguintes provas
Cadernos
Caderno Container