Foram encontradas 1.977 questões.
A doença da arranhadura do gato já é uma das principais causas de adenomegalia isolada que persiste por mais de três semanas em crianças. Do ponto de vista clínico,
Provas
Leia o caso clínico a seguir.
Paciente do sexo feminino, de 65 anos, diabética, refere cefaleia de início frontal há dois dias, evoluindo para holocraniana, associada a febre de 38,5 ºC, confusão mental há doze horas e crise convulsiva há duas horas. Avaliada em unidade de emergência, foi realizada tomografia computadorizada de crânio, sem alterações. Submetida a punção lombar, com resultado de liquor evidenciando 500 cél/mm³ (85% de neutrófilos), proteínas 250 mg/dL e glicose 20 mg/dL (glicemia sérica 100 mg/dL).
A possibilidade diagnóstica e a terapêutica adequada para ela são, respectivamente:
Provas
A realização de seguimento colonoscópico para prevenção de câncer colorretal encontra-se justificada quando se faz o diagnóstico de:
Provas
Leia o caso clínico a seguir.
Paciente do sexo feminino, de 32 anos, diagnosticada com tuberculose pulmonar está no 9º mês de gestação, em tratamento adequado, com tomada autoadministrada da medicação. Ela se encontra na maternidade para o parto. Foi feita baciloscopia na admissão, cujo resultado foi positivo (+).
Nesse caso, qual será a recomendação imediata em relação ao aleitamento materno, à quimioprofilaxia e ao BCG para o recém-nascido?
Provas
Leia o caso clínico a seguir para responder às questões 42 e 43.
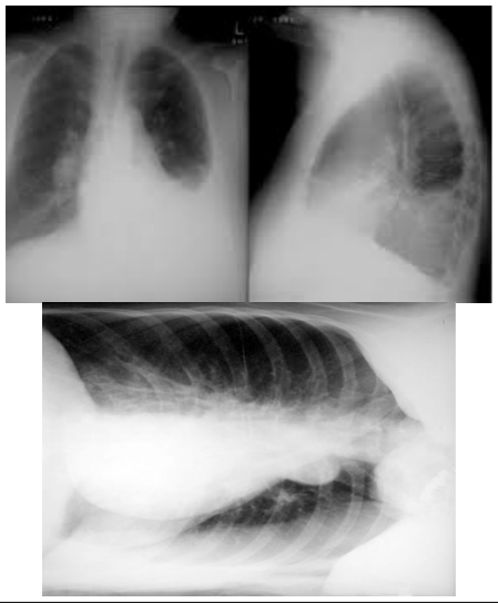
Paciente do sexo masculino, de 69 anos, procura atendimento por perda de peso, 15 kg, em seis meses, hiporexia, sudorese, tosse seca, febre não aferida vespertina, e dispneia aos pequenos esforços progressiva. Procurou atendimento prévio e foi prescrito antibiótico, amoxacilina/clavulanato 875 mg/125 mg, que fez uso por dez dias. Nega melhora dos sintomas. Tabagista, 60 maços/ano. Nega outras patologias ou uso de medicações contínuas. Ao exame, apresenta-se em regular estado geral, eupneico, saturação de oxigênio 95% ar ambiente, frequência cardíaca: 90 bpm. Foram solicitados exames para avaliação, conforme apresentado a seguir: Hemograma: hb 11,0, leucócitos 11.000, bastões 2%, neutrófilos 60%, plaquetas 235.000. PCR 10. Raio X de tórax:

Qual a melhor conduta para o caso descrito, após avaliar o resultado da toracocentese?
Provas
Micoses sistêmicas são infecções causadas por fungos patogênicos primários e têm como porta de entrada o trato respiratório por inalação de propágulos. A disseminação hematogênica depende da capacidade de resposta do hospedeiro ou da quantidade de propágulos inalados, podendo acometer diversos órgãos, provocando sintomas e disfunções característicos. A respeito dos antifúngicos de uso terapêutico, tem-se que:
Provas
Leia o caso clínico a seguir para responder às questões 42 e 43.
Paciente do sexo masculino, de 69 anos, procura atendimento por perda de peso, 15 kg, em seis meses, hiporexia, sudorese, tosse seca, febre não aferida vespertina, e dispneia aos pequenos esforços progressiva. Procurou atendimento prévio e foi prescrito antibiótico, amoxacilina/clavulanato 875 mg/125 mg, que fez uso por dez dias. Nega melhora dos sintomas. Tabagista, 60 maços/ano. Nega outras patologias ou uso de medicações contínuas. Ao exame, apresenta-se em regular estado geral, eupneico, saturação de oxigênio 95% ar ambiente, frequência cardíaca: 90 bpm. Foram solicitados exames para avaliação, conforme apresentado a seguir: Hemograma: hb 11,0, leucócitos 11.000, bastões 2%, neutrófilos 60%, plaquetas 235.000. PCR 10. Raio X de tórax:

Após a conduta inicial foi realizado toracocentese diagnóstica apresentando:
Líquido pleural: serosanguinolento, pH: 7,40, hemácias maior 1.000.000/mm³, glicose 30 mg/dl, DHL: 400 IU/l, proteína 3,0 g/dl, ADA 35 U/l, citologia oncótica positiva, BAAR negativo. Sangue: glicose: 180 mg/dl, DHL: 450 IU/l, proteínas 3,8 g/dl.
Nesse caso, qual diagnóstico provável para esse paciente?
Provas
Os pacientes portadores de fibrose cística apresentam infecções respiratórias de repetição por patógenos variáveis durante a vida. A figura a seguir apresenta a distribuição dos patógenos em diferentes faixas etárias na fibrose cística.

Fonte: Pediatrics in Review 2014;35;194-203.
De acordo como os dados apresentados, na faixa etária de seis a dez anos, o micro-organismo que apresenta a maior porcentagem de infeção respiratória é:
Provas
A tuberculose (TB) é uma das principais causas de morbimortalidade entre as pessoas vivendo com HIV (PVHIV). A infecção pelo HIV é um importante fator de risco para evolução de doença ativa por Mycobacterium tuberculosis. A chance de uma PVHIV ter tuberculose é de 16 a 27 vezes maior que uma pessoa sem HIV. Considerando o exposto, no contexto de tratamento da coinfecção TB-HIV com esquema básico, o início da TARV deve ocorrer
Provas
Leia o caso clínico a seguir.
Paciente internado no pronto-socorro com quadro de hemorragia digestiva alta. Foi submetido à endoscopia digestiva alta, cujo diagnóstico foi de úlcera duodenal, Forrest IIa. |
Neste caso, o achado endoscópico e a conduta a ser instituída são, respectivamente:
Provas
Caderno Container