Magna Concursos

Foram encontradas 165 questões.

2821345 Ano: 2022
Disciplina: Medicina
Banca: VUNESP
Orgão: Pref. Jundiaí-SP
Provas:

Garoto de 6 anos de idade, com queixa de otalgia à direita há 12 dias, é trazido ao pronto-socorro, pois, há 2 dias, iniciou cefaleia, vômitos, febre e sonolência. Na avaliação, apresenta sinais de irritação meníngea, com hiperemia e edema da região retroauricular à direita. Sinais vitais são estáveis.

A conduta inicial mais adequada para o caso é

 

Provas

Questão presente nas seguintes provas
2821344 Ano: 2022
Disciplina: Medicina
Banca: VUNESP
Orgão: Pref. Jundiaí-SP
Provas:

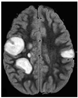
Garota de 13 anos de idade com diagnóstico recente de insuficiência renal crônica apresenta episódio de cefaleia, turvação visual e crise epiléptica tônico-clônica generalizada. A pressão arterial é de 180 x 100 mmHg. A ressonância magnética de crânio demonstra o achado a seguir.

Enunciado 3043514-1

O diagnóstico mais provável é

 

Provas

Questão presente nas seguintes provas
2821343 Ano: 2022
Disciplina: Medicina
Banca: VUNESP
Orgão: Pref. Jundiaí-SP
Provas:

Qual dos achados oftalmológicos a seguir é tipicamente associado ao neuroblastoma?

 

Provas

Questão presente nas seguintes provas
2821342 Ano: 2022
Disciplina: Medicina
Banca: VUNESP
Orgão: Pref. Jundiaí-SP
Provas:

Sobre a síndrome de Moyamoya, assinale a alternativa correta.

 

Provas

Questão presente nas seguintes provas
2821341 Ano: 2022
Disciplina: Medicina
Banca: VUNESP
Orgão: Pref. Jundiaí-SP
Provas:

A apresentação clínica mais comum do ganglioglioma é

 

Provas

Questão presente nas seguintes provas
2821340 Ano: 2022
Disciplina: Medicina
Banca: VUNESP
Orgão: Pref. Jundiaí-SP
Provas:

Menino de 10 anos de idade inicia há 6 meses quadro de coreia, hipotonia muscular e labilidade emocional. Ecocardiograma demonstra insuficiência de valva mitral.

O diagnóstico mais provável é

 

Provas

Questão presente nas seguintes provas
2821339 Ano: 2022
Disciplina: Medicina
Banca: VUNESP
Orgão: Pref. Jundiaí-SP
Provas:

Adolescente de 15 anos de idade é levada ao pronto- -socorro por crise convulsiva. Há 2 dias, iniciou febre, cefaleia e confusão mental. Na avaliação, apresenta-se torporosa, sem sinais de irritação meníngea. A tomografia de crânio na emergência é normal. O estudo do LCR revela 120 células com predomínio linfocítico, proteína 93 mg/dL e glicose 72 mg/dL.

A proposta de tratamento mais adequada para este caso é

 

Provas

Questão presente nas seguintes provas
2821338 Ano: 2022
Disciplina: Medicina
Banca: VUNESP
Orgão: Pref. Jundiaí-SP
Provas:

Criança do sexo feminino de 6 meses de idade é trazida para avaliação por episódios estereotipados de flexão do tronco e da região proximal de membros superiores. Os movimentos ocorrem múltiplas vezes ao dia, em salvas, e são associados a irritabilidade e choro. Na inspeção, observam-se múltiplas máculas hipocrômicas em tronco e membros.

Qual o tratamento inicial mais adequado para o caso?

 

Provas

Questão presente nas seguintes provas
2821337 Ano: 2022
Disciplina: Medicina
Banca: VUNESP
Orgão: Pref. Jundiaí-SP
Provas:

Garota de 8 anos de idade iniciou há poucos meses episódios paroxísticos de olhar vago e parada comportamental com duração de 5 a 10 segundos, várias vezes ao dia. Retorna dos episódios continuando a atividade interrompida, sem perda de tônus muscular ou sonolência.

Apresenta ótimo rendimento escolar. Os episódios são desencadeados pelo teste de hiperventilação em avaliação no consultório. Assinale a alternativa que apresenta o padrão eletroencefalográfico mais provável de ser encontrado nesse caso.

 

Provas

Questão presente nas seguintes provas
2821336 Ano: 2022
Disciplina: Medicina
Banca: VUNESP
Orgão: Pref. Jundiaí-SP
Provas:

Menina de 9 anos de idade é levada ao pronto-socorro por sonolência e fraqueza muscular progressivas há 2 dias. Na avaliação, a criança se apresenta sonolenta, mas desperta aos estímulos vigorosos. Não responde aos comandos solicitados. Reflexos osteotendíneos são exaltados globalmente, e apresenta reflexo cutâneo plantar em extensão à esquerda e sem resposta à direita. O reflexo pupilar e o exame de fundo de olho são normais. Há 10 dias do início dos sintomas, ela apresentou quadro de infecção de vias aéreas superiores, a qual foi tratada com amoxicilina.

A imagem da ressonância magnética de crânio é mostrada a seguir.

Enunciado 3043506-1

O diagnóstico mais provável é

 

Provas

Questão presente nas seguintes provas