Foram encontradas 2.158 questões.

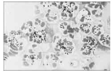
Com base na figura acima, que mostra microrganismos juntamente com células humanas, julgue os itens a seguir, acerca dos diversos testes utilizados em microbiologia.
Para a pesquisa de microrganismos pelo método de Gram no líquido sinovial de aspecto límpido, pode-se centrifugar a amostra na tentativa de concentrar os agentes infecciosos presentes.
Provas

Com base na figura acima, que mostra microrganismos juntamente com células humanas, julgue os itens a seguir, acerca dos diversos testes utilizados em microbiologia.
Staphylococcus aureus são cocos esféricos catalase positivos que costumam se apresentar em grupos, de forma semelhante aos mostrados juntamente com neutrófilos na figura.
Provas

Com base na figura acima, que mostra microrganismos juntamente com células humanas, julgue os itens a seguir, acerca dos diversos testes utilizados em microbiologia.
A coloração de Gram é o método adequado para diferenciar cocos de bacilos, que são corados com cores diferentes.
Provas
Disciplina: Raciocínio Lógico
Banca: CESPE / CEBRASPE
Orgão: Pref. Limeira-SP
Julgue os itens subseqüentes, que constituem desafios simples.
Considere-se que os nomes SOLANGE, RITA, OLIVIA e ALICE devam ser listados, em cada um dos espaços demarcados a seguir, de modo que cada letra fique sobre um traço desenhado e não falte nem sobre qualquer letra.
__ __ __ __
__ __ __ __ __ __
__ __ __ __ __ __ __
__ __ __ __ __
Nesse caso, o nome formado com as letras iniciais de cada linha, lido de cima para baixo, é ROSA.
Provas
Disciplina: Raciocínio Lógico
Banca: CESPE / CEBRASPE
Orgão: Pref. Limeira-SP
Julgue os itens subseqüentes, que constituem desafios simples.
Suponha-se que, na tabela a seguir, cada célula vazia que apresenta, logo abaixo, uma célula numerada deva ser preenchida sempre com a letra associada ao número, já constante na tabela; portanto, se os números são iguais, as letras também serão.

Nesse caso, é correto afirmar que a frase formada na primeira linha é IVO VIU A EMA.
Provas
Disciplina: Raciocínio Lógico
Banca: CESPE / CEBRASPE
Orgão: Pref. Limeira-SP
Julgue os itens subseqüentes, que constituem desafios simples.
No quadro seguinte, é possível identificar em uma das linhas a palavra LIMEIRA.

Provas
Disciplina: Raciocínio Lógico
Banca: CESPE / CEBRASPE
Orgão: Pref. Limeira-SP
Uma proposição é uma frase afirmativa que pode ser julgada como verdadeira ou falsa. Com base nessa definição, julgue os itens que se seguem.
A frase O número 5é ímpar ou5 > 3 é uma proposição
Provas
Disciplina: Raciocínio Lógico
Banca: CESPE / CEBRASPE
Orgão: Pref. Limeira-SP
Uma proposição é uma frase afirmativa que pode ser julgada como verdadeira ou falsa. Com base nessa definição, julgue os itens que se seguem.
Se a proposição Rosas são azuis for considerada verdadeira, então a proposição Rosas não são azuis é necessariamente falsa.
Provas
Disciplina: Raciocínio Lógico
Banca: CESPE / CEBRASPE
Orgão: Pref. Limeira-SP
Uma proposição é uma frase afirmativa que pode ser julgada como verdadeira ou falsa. Com base nessa definição, julgue os itens que se seguem.
A afirmação O valor do salário mínimo no Brasil é inferior a R$ 300,00 é verdadeira.
Provas
Disciplina: Raciocínio Lógico
Banca: CESPE / CEBRASPE
Orgão: Pref. Limeira-SP
Uma proposição é uma frase afirmativa que pode ser julgada como verdadeira ou falsa. Com base nessa definição, julgue os itens que se seguem.
É verdadeira a seguinte proposição: Se João ganha R$ 532,00 e Paulo ganha R$ 543,00, então João ganha menos que Paulo.
Provas
Caderno Container