Magna Concursos

Foram encontradas 1.314 questões.

3485457 Ano: 2024
Disciplina: Medicina
Banca: UPENET/IAUPE
Orgão: Pref. Olinda-PE
Durante um plantão na emergência pediátrica, o médico atende um escolar de seis anos, com febre, coriza e irritabilidade há 48 horas, sem histórico doenças anteriores relevantes. Ao exame físico, apresenta: estatura e IMC entre 0 e +1 escore-z, estado geral regular, corado, eupneico. A orofaringe está hiperemiada, e a otoscopia demonstra a membrana timpânica direita de aspecto normal e a esquerda hiperemiada
Qual o manejo mais apropriado para essa criança?
 

Provas

Questão presente nas seguintes provas
3485456 Ano: 2024
Disciplina: Medicina
Banca: UPENET/IAUPE
Orgão: Pref. Olinda-PE
O pediatra plantonista da UPA atende um lactente de 15 meses. A mãe refere que há dois dias ele estava com febre, tosse discreta e coriza nasal hialina, mas que vem apresentando rouquidão e “tosse de cachorro” há 12 horas e nas últimas 4 horas está mais irritado e chorando. Ao exame: estado geral bom, corado, acianótico e hidratado. FR= 26ipm; FC= 80bpm; AR: MV rude com roncos de transmissão em AHT.
Qual é o agente etiológico mais provável do caso acima?
 

Provas

Questão presente nas seguintes provas
3485455 Ano: 2024
Disciplina: Medicina
Banca: UPENET/IAUPE
Orgão: Pref. Olinda-PE
Mãe leva seu filho de 7 meses, saúdavel, para atualizar cartão vacinal em UBS. É informada pelo médico que menor também deve realizar vacinação para Covid-19.
Segundo orientação atual do Ministério da Saúde, assinale a alternativa CORRETA.
 

Provas

Questão presente nas seguintes provas
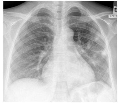
3485454 Ano: 2024
Disciplina: Medicina
Banca: UPENET/IAUPE
Orgão: Pref. Olinda-PE
Escolar de 7 anos, acompanhado no ambulatório, foi levado à emergência por dispneia. Mãe relatou que filho estava há 2 dias com mialgia, febre e coriza, evoluindo nas últimas 12 horas com piora da febre e dispneia progressiva. Ao exame, estava febril (39ºC), taquidispneico, PA no percentil 90 e com SpO2 = 88% em ar ambiente. Realizada radiografia de tórax (abaixo). O resultado de RT-PCR foi positivo para influenza A e negativo para Covid-19. Os exames laboratoriais mostraram leucocitose com linfopenia, PCR elevada, e pró-calcitonina baixa.



Enunciado 4059106-1



Diante do caso, qual a principal suspeita diagnóstica e a conduta adequada?
 

Provas

Questão presente nas seguintes provas
3485453 Ano: 2024
Disciplina: Medicina
Banca: UPENET/IAUPE
Orgão: Pref. Olinda-PE
No plantão da emergência, é recebida uma criança de 5 anos de idade com quadro de sepse com foco pulmonar e insuficiência respiratória.
Em relação ao quadro de insuficiência respiratória e choque séptico pediátrico, é INCORRETO afirmar que
 

Provas

Questão presente nas seguintes provas
3485452 Ano: 2024
Disciplina: Sociologia
Banca: UPENET/IAUPE
Orgão: Pref. Olinda-PE
Provas:
Leia o texto a seguir:
[...]um conjunto de processos, instituições e práticas, através das quais os cidadãos e os diferentes grupos sociais – locais, nacionais e internacionais – articulam seus interesses e posições, formando um complexo sistema de elaboração de políticas e de tomada de decisões mais vasto que a arena estatal.
Disponível em:<https://biblat.unam.mx/hevila/CENAInternacional/2005/vol7/no2/6.pdf Acesso em: 5 de out. 2024.

As ideias apresentadas no texto se referem ao conceito de
 

Provas

Questão presente nas seguintes provas
3485451 Ano: 2024
Disciplina: Sociologia
Banca: UPENET/IAUPE
Orgão: Pref. Olinda-PE
Provas:
Leia o texto a seguir:

Cada derrota do imperialismo, como na Síria e Iraque (menor na Líbia e Palestina) é um passo concreto na direção da libertação do Oriente Médio. As forças populares, democráticas e de esquerda devem ampliar sua capacidade organizativa entre as massas e construir as condições para edificar uma nova sociedade. E o Oriente também anseia por grandes mudanças, afinal, foi onde a Revolução Russa ocorreu há 100 anos.
BUZETTO, Marcelo. As lutas sociais e políticas no Grande oriente Médio: entre as guerras imperialistas e a resistência popular. Lutas Sociais, São Paulo, vol. 20, n.37, p.181, jul./dez. 2016.

A perspectiva apresentada no texto impulsiona sociologicamente a
 

Provas

Questão presente nas seguintes provas
3485450 Ano: 2024
Disciplina: Sociologia
Banca: UPENET/IAUPE
Orgão: Pref. Olinda-PE
Provas:
Um sociólogo foi contratado para apresentar um relatório analítico sobre um grupo urbano de ocupação visando contribuir para a elaboração de políticas públicas e de assistência social conforme suas demandas e pautas. Nessa perspectiva, o profissional elaborou um projeto para nortear suas atividades investigativas.

Como ele necessita elaborar um perfil socioeconômico desse grupo, na sua metodologia de pesquisa, ele recorre aos métodos de abordagem
 

Provas

Questão presente nas seguintes provas
3485449 Ano: 2024
Disciplina: Sociologia
Banca: UPENET/IAUPE
Orgão: Pref. Olinda-PE
Provas:
Leia o texto a seguir:

Num certo sentido, a sociedade brasileira criou o melhor dos dois mundos. Ao mesmo tempo que mantém a estrutura de privilégio branco e a subordinação não branca, evita a constituição da raça como princípio de identidade coletiva e ação política. A eficácia da ideologia racial dominante manifesta-se na ausência de conflito racial aberto e na desmobilização política dos negros, fazendo com que os componentes racistas do sistema permaneçam incontestados, sem necessidade de recorrer a um alto grau de coerção.
NOGUEIRA, Oracy. Tanto preto quanto branco: estudos de relações raciais. São Paulo: T. A. Queiroz.1979, p. 246.

Diante da perspectiva abordada pelo texto, a Sociologia pode contribuir para desconstruir as ideias apresentadas por meio da(do)
 

Provas

Questão presente nas seguintes provas
3485448 Ano: 2024
Disciplina: Sociologia
Banca: UPENET/IAUPE
Orgão: Pref. Olinda-PE
Provas:
Leia o texto a seguir:

Chamo ação comunicativa aquela forma de interação social em que os planos de ação dos diversos atores ficam coordenados pelo intercâmbio de atos comunicativos, fazendo, para isso, uma utilização da linguagem (ou das correspondentes manifestações extraverbais) orientada ao entendimento. À medida que a comunicação serve ao entendimento (e não só ao exercício das influências recíprocas) pode adotar para as interações o papel de um mecanismo de coordenação da ação e com isso fazer possível a ação comunicativa.

HABERMAS, J. Teoría de la acción comunicativa: complementos y estudios previos. Madrid: Cátedra, 1997, p. 418.

Segundo as ideias desenvolvidas pelo autor, a compreensão das relações sociais é possível pela
 

Provas

Questão presente nas seguintes provas