Foram encontradas 272 questões.
Adolescente de 17 anos, com dismenorreia primária, moderada a grave, sem alterações do fluxo menstrual e sem sexarca tem como primeira escolha o tratamento com os
Provas
Os métodos existentes para a detecção precoce do câncer de mama não reduzem a incidência, mas podem reduzir a mortalidade pela doença. Nesse sentido, o Ministério da Saúde preconiza que, na população de risco padrão para o câncer de mama, o rastreio seja realizado pela mamografia,
Provas
A realização de sorologias para o rastreamento de sífilis e HIV em mulheres com idade < 30 anos deve ser feita
Provas
A injeção dos chamados agentes de preenchimento na submucosa da uretra é um método minimamente invasivo, disponível para tratar mulheres com
Provas
O tratamento inicial para a puberdade precoce, decorrente da Síndrome de McCune Albright, é
Provas
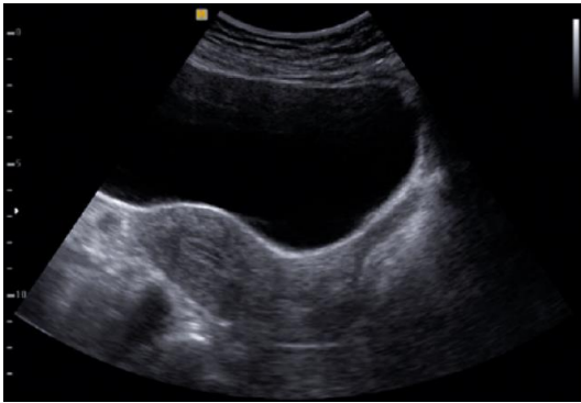
Analise a imagem ultrassonográfica a seguir.

A via de realização dessa ultrassonografia e a fase do ciclo menstrual na qual se encontra o útero são, respectivamente,
Provas
A fase do ciclo mais adequada para a realização da colposcopia é
Provas
Mulher de 55 anos de idade, pós-menopausada há cinco anos e sem sintomas vasomotores deverá ser tratada para dispareunia com diminuição secundária do desejo sexual, salvo contraindicações, inicialmente com
Provas
A principal via de transmissão vertical da sífilis se dá
Provas
O acompanhamento e a conduta nas gestações gemelares baseiam-se fundamentalmente no tipo de corionicidade, quando as gestações
Provas
Caderno Container