Foram encontradas 80 questões.
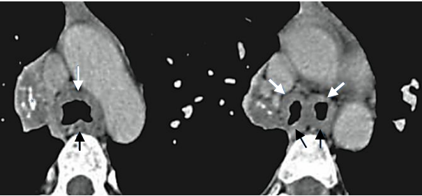
As imagens a seguir são sugestivas de:

Provas
Em relação a pneumocistose pulmonar pode-se afirmar que:
Provas
Assinale a alternativa que corresponde a complicação pós operatória na imagem abaixo.

Provas
Os tumores ósseos que mais comumente acometem a epífise dos ossos de adultos são:
Provas
Assinale a alternativa que preencha corretamente a lacuna.
Trauma no joelho do tipo estresse em valgo com rotação externa da tíbia mais comumente lesa .
Provas
O impacto femoroacetabular do tipo Pincer corresponde a:
Provas
Os extensores longo e curto do carpo estão contidos a um compartimento do punho. Sobre isso, assinale a alternativa que apresenta esse compartimento.
Provas
Sobre Tenossinovite de De Quervain, assinale a alternativa que corresponde ao compartimento do punho específico.
Provas
São critérios para gestação não evolutiva os seguintes, exceto:
Provas
Na avaliação ultrassonográfica do primeiro trimestre é esperado a detecção de atividade cardíaca do embrião a partir de:
Provas
Caderno Container