Foram encontradas 80 questões.
No que diz respeito ao planejamento e orçamento previstos na Lei Orgânica da Saúde (Lei nº 8.080/90), assinale a alternativa correta.
Provas
- SUSLei 8.080/1990: Lei Orgânica da SaúdeSistema Único de SaúdeSubsistemasArt.19-J e 19-L: Subsistema de Acompanhamento Durante o Trabalho de Parto
Acerca do Subsistema de Acompanhamento Durante o Trabalho de Parto, Parto e Pós-Parto Imediato previsto na Lei Orgânica da Saúde (Lei nº 8.080/90), assinale a alternativa correta.
Provas
De acordo com a Resolução nº 553/2017 do Conselho Nacional de Saúde, que dispõe sobre a carta dos direitos e deveres da pessoa usuária da saúde, assinale a alternativa incorreta.
Provas
Com relação aos serviços privados de assistência à saúde e as disposições da Lei Orgânica da Saúde (Lei nº 8.080/90), analise as afirmativas abaixo.
I. Quando as suas disponibilidades forem insuficientes para garantir a cobertura assistencial à população de uma determinada área, o Sistema Único de Saúde poderá recorrer aos serviços ofertados pela iniciativa privada.
II. A participação complementar dos serviços privados será formalizada mediante contrato ou convênio, observadas, a respeito, as normas de direito público.
III. Aos proprietários, administradores e dirigentes de entidades ou serviços contratados é vedado exercer cargo de chefia ou função de confiança no Sistema Único de Saúde.
Estão corretas as afirmativas:
Provas
- SUSLei 8.080/1990: Lei Orgânica da SaúdeSistema Único de SaúdeSubsistemasArts. 19-A ao 19-H: Subsistema de Atenção à Saúde Indígena
De acordo com a Lei Orgânica da Saúde (Lei nº 8.080/90) e as disposições sobre o Subsistema de Atenção à Saúde Indígena, analise as afirmativas abaixo e dê valores de Verdadeiro (V) ou Falso (F).
( ) Caberá à União, com seus recursos próprios, financiar o Subsistema de Atenção à Saúde Indígena.
( ) Os Estados, Municípios, outras instituições governamentais e não-governamentais poderão atuar complementarmente no custeio e execução das ações.
( ) As populações indígenas devem ter acesso garantido ao SUS, em âmbito local, regional e de centros especializados, de acordo com suas necessidades, compreendendo apenas a atenção primária à saúde.
Assinale a alternativa que apresenta a sequência correta de cima para baixo.
Provas
Assinale a alternativa que apresenta o que são os corpúsculos de Gamma-Gandy.
Provas
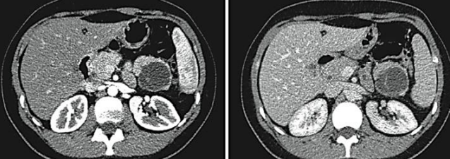
O achado de imagem a seguir corresponde mais provavelmente a:

Provas
Analise as afirmativas a seguir sobre o tipo II da classificação de Bismuth-Corlette e dê valores Verdadeiro (V) ou Falso (F).
( ) Tumor abaixo da confluência dos ductos hepáticos.
( ) Tumor atinge a confluência dos ductos hepáticos.
( ) Tumor atinge o ducto hepático direito.
( ) Tumor atinge o ducto hepático esquerdo.
Assinale a alternativa que apresenta a sequência correta de cima para baixo.
Provas
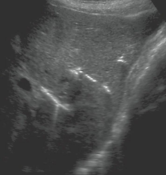
O achado de imagem a seguir representa:

Provas
O sinal demonstrado na questão anterior pode estar relacionado a algumas malformações intestinais, exceto por:
Provas
Caderno Container