Magna Concursos

Foram encontradas 80 questões.

2714590 Ano: 2022
Disciplina: Medicina
Banca: IBFC
Orgão: SESAcre
Provas:

A estrutura apontada pela seta corresponde a:

Enunciado 3339045-1

 

Provas

Questão presente nas seguintes provas
2714589 Ano: 2022
Disciplina: Medicina
Banca: IBFC
Orgão: SESAcre
Provas:

Assinale a alternativa que apresenta qual porção do nervo facial que pode ter impregnação fisiológica pelo meio de contraste em um estudo de ressonância magnética.

 

Provas

Questão presente nas seguintes provas
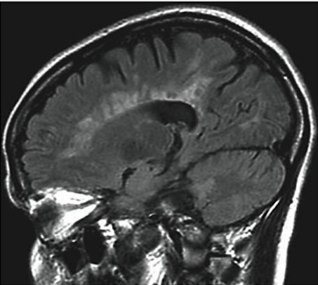
2714588 Ano: 2022
Disciplina: Medicina
Banca: IBFC
Orgão: SESAcre
Provas:

A imagem a seguir corresponde mais provavelmente a:

Enunciado 3339043-1

 

Provas

Questão presente nas seguintes provas
2714587 Ano: 2022
Disciplina: Medicina
Banca: IBFC
Orgão: SESAcre
Provas:

Uma das principais características dos craniofaringiomas é:

 

Provas

Questão presente nas seguintes provas
2714586 Ano: 2022
Disciplina: Medicina
Banca: IBFC
Orgão: SESAcre
Provas:

Fazem parte do diagnóstico de hidrocefalia de pressão normal os seguintes itens, exceto:

 

Provas

Questão presente nas seguintes provas
2714585 Ano: 2022
Disciplina: Medicina
Banca: IBFC
Orgão: SESAcre
Provas:

A imagem a seguir está relacionada a:

Enunciado 3339040-1

 

Provas

Questão presente nas seguintes provas
2714584 Ano: 2022
Disciplina: Medicina
Banca: IBFC
Orgão: SESAcre
Provas:

Sobre a neurocisticercose assinale a alternativa incorreta.

 

Provas

Questão presente nas seguintes provas
2714583 Ano: 2022
Disciplina: Medicina
Banca: IBFC
Orgão: SESAcre
Provas:

Sobre as meningites bacterianas, assinale a alternativa correta.

 

Provas

Questão presente nas seguintes provas
2714582 Ano: 2022
Disciplina: Medicina
Banca: IBFC
Orgão: SESAcre
Provas:

Assinale a alternativa que apresenta uma das características que permitem diferenciar LEMP (Leucoencefalopatia Multifocal Progressiva) e encefalite pelo HIV (Vírus da Imunodeficiência Humana).

 

Provas

Questão presente nas seguintes provas
2714581 Ano: 2022
Disciplina: Medicina
Banca: IBFC
Orgão: SESAcre
Provas:

Sobre os tumores neuroendócrinos pancreáticos assinale a alternativa incorreta.

 

Provas

Questão presente nas seguintes provas