Foram encontradas 959 questões.
Entre os pacientes com mais alto risco de desenvolverem endocardite infecciosa
(e que merecem profilaxia antimicrobiana), assinale a afirmativa INCORRETA:
Provas
Questão presente nas seguintes provas
O diabete melito (DM) é uma desordem crônica altamente prevalente. É CORRETO afirmar:
Provas
Questão presente nas seguintes provas
Em relação à trombose venosa, é INCORRETO afirmar:
Provas
Questão presente nas seguintes provas
A endocardite infecciosa (EI) é a inflamação da camada interna das câmaras e
válvulas cardíacas (endocárdio). Assinale a afirmativa INCORRETA:
Provas
Questão presente nas seguintes provas
A fibrilação atrial (FA) é a arritmia sustentada mais comum na prática clínica. Em
relação a essa arritmia, é CORRETO afirmar:
Provas
Questão presente nas seguintes provas
Está CORRETO afirmar:
Provas
Questão presente nas seguintes provas
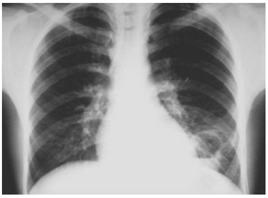
Carlos, 64 anos, dependente de álcool, em situação de rua. Deu entrada na Unidade de Pronto Atendimento com quadro de febre, dispneia e tosse produtiva há
4 dias. Refere ser HIV+ ainda sem terapia anti-retroviral. Radiografia segue abaixo:

Em relação à patologia em questão, qual seria o tratamento mais adequado?

Em relação à patologia em questão, qual seria o tratamento mais adequado?
Provas
Questão presente nas seguintes provas
A malária é uma doença comum de países tropicais, atingindo milhões de pessoas
por ano. É uma doença infectocontagiosa causada por parasitas protozoários do
gênero Plasmodium.
Em relação à malária, é possível afirmar, EXCETO:
Em relação à malária, é possível afirmar, EXCETO:
Provas
Questão presente nas seguintes provas
Em relação às doenças inflamatórias intestinais, é INCORRETO afirmar:
Provas
Questão presente nas seguintes provas
Marisa, 50 anos, comparece à consulta com relato de dor articular em mãos e pés
de início há 6 meses. As dores têm se tornado mais intensas a ponto de limitarem
a paciente, principalmente no período matinal. Segundo ela, “as juntas vão soltando um pouco ao longo do dia”. Exames laboratoriais apresentaram anti-CCP
positivo.
Em relação à doença em questão, é correto afirmar, EXCETO:
Em relação à doença em questão, é correto afirmar, EXCETO:
Provas
Questão presente nas seguintes provas
Cadernos
Caderno Container