Foram encontradas 959 questões.
A ilustração abaixo representa o clássico estudo “Gengivite experimental em humanos, Löe, 1965”.

Fonte: CARRANZA. Periodontia Clínica, 11. ed.
Analise as informações da ilustração e assinale a afirmativa CORRETA:
Provas
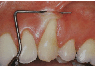
Observe a figura abaixo de uma paciente com queixa de sensibilidade às mudanças térmicas, retenção de alimentos entre o dente e o tecido gengival e comprometimento estético "dente maior" em comparação ao seu contralateral. Ao exame clínico, verificou-se faixa de tecido ceratinizado apical à recessão de 2 mm, fenótipo periodontal espesso e ausência de força oclusal traumática. Nas áreas vizinhas à recessão, observa-se ampla faixa de tecido ceratinizado, 8 mm. O exame radiográfico mostrou ausência de perda óssea interdental.

O procedimento cirúrgico de menor complexidade que poderia resolver as queixas da paciente é:
Provas
O retalho de Widman modificado é uma das técnicas cirúrgicas mais utilizadas na terapia das bolsas periodontais. Sobre a técnica de execução do retalho de Widman modificado, é CORRETO afirmar:
Provas
É efeito da diabetes mellitus na periodontite:
Provas
A gengivite representa um processo inflamatório localizado nos tecidos de proteção dos dentes e sua etiopatogênese está associada a mudança no perfil microbiológico do biofilme dental. Analise as afirmações abaixo sobre aspectos etiopatogênicos e epidemiológicos da gengivite.
I. Estudos epidemiológicos mostram baixas taxas de prevalência de gengivite na população mundial, enquanto, ainda, verificamos altos índices de ocorrência na população brasileira.
II. A avaliação de fatores de risco é importante para identificação de indivíduos com predisposição à gengivite, entretanto, esses elementos não influenciam o planejamento do tratamento.
III. Condições como discrasias sanguíneas, variações hormonais e uso de fármacos com propriedades imunossupressoras mudam o comportamento da resposta do hospedeiro frente ao biofilme dental.
IV. O controle da gengivite é muito importante, pois estudos indicam que a persistência desse quadro de inflamação pode resultar em perda da inserção dos dentes.
É CORRETO apenas o que se afirma em:
Provas
É CORRETO afirmar:
Provas
Está CORRETO afirmar:
Provas
Sobre os aspectos anátomo- fisiológicos do periodonto, é CORRETO afirmar:
Provas
Com relação ao exame radiográfico na avaliação periodontal, é CORRETO afirmar:
Provas
Um indivíduo com 51 anos de idade procurou por atenção odontológica, queixando-se de dor na região anterior da maxila. De acordo com seu relato, já reali-zou tratamento de raspagem dental, há 2 anos atrás nessa região. Ao exame clínico, verificou-se: ausência dos pré-molares e molares inferiores lado esquerdo e dos 1º e 3º molares superiores; mobilidade dental grau II nos incisivos superiores; presença de edema circunscrito no terço médio vestibular do dente 12; bolsa periodontal variando de 6 a 8m m nos incisivos superiores. Demais dentes são hígidos e não apresentam alteração periodontal.
Para programar o tratamento periodontal para este paciente, o dentista deve solicitar: 25
Provas
Caderno Container