Magna Concursos

Foram encontradas 374 questões.

3694609 Ano: 2025
Disciplina: Medicina
Banca: UEPA
Orgão: UEPA
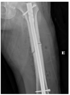
Você é residente da Clínica Médica e foi acionado/a para realizar interconsulta de uma paciente de 68 anos na Enfermaria de Ortopedia, após fixação de fratura de fêmur. Durante avaliação, paciente relata diagnóstico de osteoporose, e está fazendo uso regular de carbonato de cálcio, Vitamina D3 2000 UI/d e alendronato há 11 anos. Quando inquirida, ela nega quedas. Refere que estava realizando sua caminhada matinal no Parque do Utinga, quando sentiu uma dor intensa na face lateral da perna esquerda, momento em que procurou o Pronto Atendimento. Na avaliação bioquímica complementar, ela apresenta 25OHD de 42 ng/dL, níveis de eletrólitos, albumina, PTH e eletroforese de proteínas séricas normais. Após procedimento ortopédico, apresenta a seguinte radiografia:

Enunciado 4376376-1

Neste momento, a conduta prioritária é:
 

Provas

Questão presente nas seguintes provas
3694608 Ano: 2025
Disciplina: Medicina
Banca: UEPA
Orgão: UEPA
Você atende uma criança de 5 anos de idade em primeira consulta de puericultura. A mãe traz alguns exames solicitados durante um quadro febril pregresso: anti HAV IgG positivo e IgM negativo, Anti HCV IgG e IgM negativos, Anti HBs negativo, HBsAg negativo. Caderneta de vacina sem atrasos vacinais. A conduta mais adequada neste caso é:
 

Provas

Questão presente nas seguintes provas
3694607 Ano: 2025
Disciplina: Medicina
Banca: UEPA
Orgão: UEPA
Paciente de 10 anos de idade, apresenta febre há 5 dias, associada a exantema micropapular e pruriginoso, odinofagia e mialgia. Exame de orofaringe: placa esbranquiçada em base da língua, hiperemia e petéquias em palato. Exantema micropapular com leve descamação furfurácea em tronco e membros. Nesse contexto, o tratamento indicado para o paciente é:
 

Provas

Questão presente nas seguintes provas
3694606 Ano: 2025
Disciplina: Medicina
Banca: UEPA
Orgão: UEPA
Criança de 8 anos de idade, previamente hígida, comparece a consulta com o pediatra com queixa de duas Infecções do Trato Urinário (ITU) nos últimos seis meses. Mãe nega episódios anteriores. Realizou tratamento tópico para fimose com dexametasona durante 8 semanas, há 1 ano, sem melhora. Ao exame, prepúcio com áreas de fibrose, aderido a glande, sem hiperemia. A conduta correta neste caso é:
 

Provas

Questão presente nas seguintes provas
3694605 Ano: 2025
Disciplina: Medicina
Banca: UEPA
Orgão: UEPA
Menino, 12 anos de idade, apresenta dor na região anterior do joelho esquerdo, que piora após práticas de exercícios e melhora com repouso. Iniciou aula de futebol 3 vezes por semana há 60 dias devido sobrepeso. Ao exame, dor e edema em tuberosidade da tíbia. O diagnóstico mais provável neste caso é:
 

Provas

Questão presente nas seguintes provas
3694604 Ano: 2025
Disciplina: Medicina
Banca: UEPA
Orgão: UEPA
Adolescente, 11 anos de idade, sexo feminino é portadora de prótese valvar e será submetida à cirurgia odontológica envolvendo a região periapical do dente. Alérgica a amoxicilina. Nesse caso, está indicada a profilaxia por via oral do procedimento com o seguinte antibiótico:
 

Provas

Questão presente nas seguintes provas
3694603 Ano: 2025
Disciplina: Medicina
Banca: UEPA
Orgão: UEPA
Criança de 7 anos de idade, apresenta dificuldade em ganhar peso apesar da alimentação balanceada. Mãe relata constipação crônica associada a dor abdominal recorrente desde o primeiro ano de vida, tendo realizado inúmeros tratamentos empíricos para parasitose. Antecedente de fratura de clavícula ao cair da própria altura. A principal hipótese diagnóstica e seu (s) exame (s) de triagem são:
 

Provas

Questão presente nas seguintes provas
3694602 Ano: 2025
Disciplina: Medicina
Banca: UEPA
Orgão: UEPA
Criança de 4 anos de idade, ribeirinha, é levada ao médico pela genitora queixando de palidez e cansaço fácil. Não realizou teste do pezinho, recebeu aleitamento materno exclusivo até 8 meses de vida, atualmente alimentação à base de peixes e açaí com farinha. Exame físico: Peso e altura no percentil 50, palidez cutânea e mucosa, eupneia. Ausculta cardíaca com sopro aórtico, sem irradiação. Abdômen sem visceromegalias. Exames complementares: hemograma: Hb: 7,0 g/dL (11-14,5); Ht: 21% (33-43); VCM: 60 fL (74-89); HCM: 20 p. (24- 32); CHCM: 27 g/dL (32-37); RDW: 19% (12- 14). Leucócitos: 5.500/mm3 (diferencial dentro dos limites da normalidade). Plaquetas: 350.000/mm3 (150.000-400.000 /mm3). Capacidade total de ligação do ferro: 550 μg/dL (250-425 μg/dL), ferritina sérica: 24 (60-140 micg/dL). Neste contexto, assinale a alternativa correta.
 

Provas

Questão presente nas seguintes provas
3694601 Ano: 2025
Disciplina: Medicina
Banca: UEPA
Orgão: UEPA
A Glomerulonefrite Pós Estreptocócica (GNPE) é o protótipo de síndrome nefrítica, que acomete crianças e adolescentes entre 5-12 anos de idade e costuma ter evolução favorável. Em relação a GNPE é correto afirmar que:
 

Provas

Questão presente nas seguintes provas
3694600 Ano: 2025
Disciplina: Medicina
Banca: UEPA
Orgão: UEPA
Criança de 4 anos de idade é levado ao pediatra devido episódios de sudorese intensa e irritabilidade. Ao exame físico, criança emagrecida, FC 120 bpm, pressão arterial acima do P95, massa palpável em flanco direito. Pensando em confirmar a principal hipótese diagnóstica, o pediatra deve solicitar:
 

Provas

Questão presente nas seguintes provas