Foram encontradas 407 questões.
A hemiplegia laríngea em equinos
Provas
A inspeção dinâmica de um cavalo com claudicação requer observação minuciosa em diferentes ângulos, manobras e andamentos. Durante esta fase da avaliação clínica, alguns fatores devem ser observados e podem contribuir substancialmente para a obtenção de informações importantes, o que pode direcionar o clínico às demais etapas do exame clínico e exames de imagem. Dentre esses fatores, podemos citar:
Provas
Nos cavalos, a compactação de íleo é a causa mais comum de obstrução não estrangulante no intestino delgado. Essa compactação é formada por uma massa tubular de ingesta de consistência pastosa a sólida, que se estende proximalmente à junção ileocecal. As compactações de íleo ocorrem mais frequentemente em cavalos com alta infecção por
Provas
A determinação da necessidade de cirurgia em um cavalo com cólica é frequentemente uma emergência. Embora essa decisão deva ser baseada em um diagnóstico, este nem sempre é possível. Dessa forma, deve-se verificar um conjunto de sinais do paciente para a tomada de decisão. Quais sinais clínicos indicam a necessidade de tratamento cirúrgico em um cavalo com cólica?
Provas
Touro da raça Nelore com processo inflamatório e infeccioso no folheto prepucial interno, com presença de edema, úlceras, necrose e fibrose. Essas alterações impossibilitam a exposição do pênis durante a monta. Esses sinais clínicos são observados em touros com
Provas
O deslocamento de abomaso à esquerda ou à direita ocasiona obstrução do trânsito alimentar através do piloro, o que resulta em acúmulo de ácido clorídrico no abomaso e refluxo desse ácido para o rúmen. Devido a isso, vacas com deslocamento de abomaso desenvolvem comumente os seguintes distúrbios ácido-base e eletrolítico:
Provas
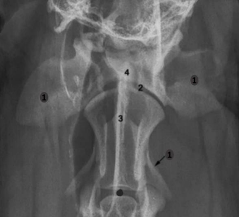
Analise a imagem radiográfica a seguir.

Pela análise da imagem, quais são as partes ósseas identificadas pelos números 1, 2, 3 e 4, respectivamente?
Provas
A estrutura isoecoica e delgada, circundada por tecido gorduroso, localizada ventral a veia porta, caudal ao estômago e dorsomedial ao duodeno refere-se à topografia:
Provas
Observe a radiografia a seguir.

A partir da observação dessa radiografia, quais são as estruturas identificadas na imagem pelos números 1, 2, 3 e 4, respectivamente?
Provas
Em bovinos, para avaliar o ligamento anular digital e os tendões flexores digitais profundos e superficiais, o transdutor é posicionado:
Provas
Caderno Container