Magna Concursos

Foram encontradas 377 questões.

3705196 Ano: 2024
Disciplina: Veterinária
Banca: Verbena
Orgão: UFG
Na Doença Respiratória Bovina (DRB), a ultrassonografia torácica é considerada um método sensível para a identificação de lesões pulmonares em diferentes estágios de comprometimento, presumindo o prognóstico do impacto das doenças sobre o desempenho dos animais de produção. As alterações ultrassonográficas compatíveis com DRB são:
 

Provas

Questão presente nas seguintes provas
3705195 Ano: 2024
Disciplina: Veterinária
Banca: Verbena
Orgão: UFG
Leia o texto a seguir.

Considere uma alteração ultrassonográfica que descreve uma vesícula biliar distendida por conteúdo anecogênico homogêneo, com parede espessada (>1mm), apresentando halo hipoecogênico entre margens hiperecogênicas.

O tipo de lesão descrita no texto acima é compatível com qual possível diagnóstico?
 

Provas

Questão presente nas seguintes provas
3705194 Ano: 2024
Disciplina: Veterinária
Banca: Verbena
Orgão: UFG
Considerando os diagnósticos descritos abaixo, quais deles são categorizados como diagnósticos diferenciais para alterações de hiperecogenicidade difusa do parênquima hepático?
 

Provas

Questão presente nas seguintes provas
3705193 Ano: 2024
Disciplina: Veterinária
Banca: Verbena
Orgão: UFG
Na ultrassonografia gestacional, os seguintes achados ultrassonográficos “presença de uma camada anecogênica de espessura variável separando a pele do tecido subjacente, localizado sobre o dorso, pescoço e crânio do feto; moderada quantidade de conteúdo anecogênico em cavidade pleural, associado a pulmões ecogênicos retraídos” são indicativos de
 

Provas

Questão presente nas seguintes provas
3705192 Ano: 2024
Disciplina: Veterinária
Banca: Verbena
Orgão: UFG
As hemivértebras são o resultado de uma falha do desenvolvimento e eventual ossificação de parte de uma vértebra, geralmente o corpo. A radiografia é uma técnica de imagem utilizada para avaliar malformações da coluna vertebral, incluindo as hemivértebras. Os achados radiográficos encontrados nessa enfermidade incluem
 

Provas

Questão presente nas seguintes provas
3705191 Ano: 2024
Disciplina: Veterinária
Banca: Verbena
Orgão: UFG

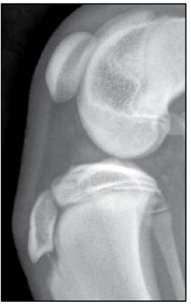
Observe a imagem a seguir.

Enunciado 4092151-1

Thrall, 2014.

A imagem acima representa uma radiografia em projeção mediolateral do joelho de um Labrador de 5 meses de idade. De acordo com a interpretação da imagem, as fises ósseas abertas podem indicar que

 

Provas

Questão presente nas seguintes provas
3705190 Ano: 2024
Disciplina: Veterinária
Banca: Verbena
Orgão: UFG
As radiopacidades, em um exame radiográfico, referem-se a diferentes resoluções de contraste e permitem que as estruturas sejam discriminadas uma das outras. Entre os exemplos de tecidos e substâncias, de acordo com a radiopacidade produzida, podemos considerar que
 

Provas

Questão presente nas seguintes provas
3705189 Ano: 2024
Disciplina: Veterinária
Banca: Verbena
Orgão: UFG
As reações periosteais são mecanismos ósseos comumente encontrados em lesões ósseas agressivas de diferentes enfermidades. O exame radiográfico desempenha um papel crucial na avaliação dessas reações, evidenciando a localização da lesão em um ou mais ossos envolvidos, além de características agressivas e não agressivas. Com base nas alterações radiográficas, qual a localização correta das reações periosteais das enfermidades citadas?
 

Provas

Questão presente nas seguintes provas
3705188 Ano: 2024
Disciplina: Veterinária
Banca: Verbena
Orgão: UFG
Leia o texto a seguir.

Esse artefato promove áreas de ecogenicidade diminuída distais às estruturas de alta refletividade. Nessas situações, o feixe sonoro primário é quase completamente refletido ou absorvido. Uma quantidade insuficiente de ecos retornados dessa localização distal ao forte refletor faz com que essas regiões pareçam anecogênicas.

O texto se refere a qual artefato de imagem?
 

Provas

Questão presente nas seguintes provas
3705187 Ano: 2024
Disciplina: Veterinária
Banca: Verbena
Orgão: UFG
Na formação da imagem ultrassonográfica, as estruturas podem ser reconhecidas e diferenciadas pela ecogenicidade tecidual, sendo que
 

Provas

Questão presente nas seguintes provas