Foram encontradas 60 questões.
A peritonite bacteriana espontânea (PBE) é uma das infecções mais comuns em cirróticos e cursa com elevadas morbidade e mortalidade. Quais são os germes mais comumente encontrados na PBE comunitária?
Provas
A doença pulmonar obstrutiva crônica (DPOC) é uma enfermidade respiratória prevenível e tratável, que se caracteriza pela presença de obstrução crônica e não totalmente reversível do fluxo aéreo. A avaliação espirométrica é de fundamental importância nesse contexto, não só para definição do diagnóstico, mas também para estadiamento do paciente. Na presença de uma relação VEF1 (volume expiratório forçado no primeiro segundo) / CVF (capacidade vital forçada) abaixo de 0,70 pós-broncodilatador, um VEF1 de 25% em relação ao valor previsto permite classificar o paciente como GOLD (Global Initiative for Chronic Obstructive Lung Disease) grau
Provas
Caso Clínico 7
|
Paciente de 67 anos de idade, admitido no departamento de emergência com queixa principal de “falta de ar”. História de dispneia em repouso iniciada abruptamente há mais ou menos 2 horas, acompanhado de 2 episódios de hemoptise. Diagnóstico recente de neoplasia maligna de próstata (ainda não iniciou tratamento). Ao exame físico: abertura ocular lenta a estímulos verbais, gemente, localizando estímulos dolorosos. Sinais evidentes de desconforto respiratório, com frequência respiratória de 32 incursões por minuto, saturação periférica de oxigênio de 75%, ausculta pulmonar sem alterações. Frequência cardíaca 120bpm, pressão arterial 80x60mmhg, tempo de enchimento capilar lentificado, sem assimetria de pulsos. Membro inferior direito com edema 2+/4+. Evolui com parada cardiorrespiratória, tendo sido iniciadas manobras de ressuscitação cardiopulmonar (RCP). A seguir, o ritmo cardíaco apresentado no monitor:
|
Leia a seguir a continuação do Caso Clínico 7.
|
Após 3 ciclos de RCP, o paciente apresenta retorno da circulação espontânea. No entanto, persiste com instabilidade hemodinâmica (pressão arterial 85x45mmHg e tempo de enchimento capilar lentificado), a despeito de reposição volêmica e uso de drogas vasoativas (noradrenalina e dobutamina). Exames que foram coletados na admissão evidenciavam: gasometria (pH 7,43; pO2 50mmHg; pCO2 22mmHg; bic 14mEq/L), Hb 13g/l, leucócitos 11600/mm3 (sem desvio), plaquetas 170.000/mm3, ureia 55mg/dl, creatinina 1,0mg/dl, sódio 138meq/l, potássio 4,0meq/l. Eletrocardiograma de 12 derivações abaixo. Ultrassonografia point of care evidencia imcompressibilidade da veia femoral direita. Ecocardiograma a beira leito evidencia sinais de sobrecarga de ventrículo direito (com ápice hipercinético em relação à parede livre).
|
Diante do quadro apresentado, a conduta é
Provas
Caso Clínico 7
|
Paciente de 67 anos de idade, admitido no departamento de emergência com queixa principal de “falta de ar”. História de dispneia em repouso iniciada abruptamente há mais ou menos 2 horas, acompanhado de 2 episódios de hemoptise. Diagnóstico recente de neoplasia maligna de próstata (ainda não iniciou tratamento). Ao exame físico: abertura ocular lenta a estímulos verbais, gemente, localizando estímulos dolorosos. Sinais evidentes de desconforto respiratório, com frequência respiratória de 32 incursões por minuto, saturação periférica de oxigênio de 75%, ausculta pulmonar sem alterações. Frequência cardíaca 120bpm, pressão arterial 80x60mmhg, tempo de enchimento capilar lentificado, sem assimetria de pulsos. Membro inferior direito com edema 2+/4+. Evolui com parada cardiorrespiratória, tendo sido iniciadas manobras de ressuscitação cardiopulmonar (RCP). A seguir, o ritmo cardíaco apresentado no monitor:
|
Diante das informações descritas e do ritmo cardíaco apresentado, a próxima conduta deve ser a
Provas
Caso Clínico 6
|
Paciente de 62 anos, sexo feminino, trazida por familiares para o departamento de emergência com quadro de tosse produtiva e febre não aferida há mais ou menos 4 dias, evoluindo há 24 horas com queda importante do estado geral e “cansaço”. Antecedente de hipertensão arterial sistêmica e depressão, em uso regular de hidroclorotiazida e sertralina. Nega tabagismo. Nega internações ou uso prévio de antibiótico. Ao exame físico: paciente desidratada 2+/4+, afebril (temperatura axilar de 36,5 graus Celsius). Frequência respiratória de 26 incursões por minuto, base de hemitórax direito com aumento do frêmito tóraco vocal, murmúrio vesicular rude com estertores crepitantes, saturação periférica de oxigênio de 87%. Frequência cardíaca de 110bpm, bulhas rítmicas e normofonéticas, pressão arterial de 90x50mmHg, tempo de enchimento capilar lentificado. Abertura ocular a estímulos verbais, confusa, porém obedecendo comandos simples. Exames iniciais evidenciaram: Hb 9,0g/dL, leucócitos 16.000/mm3, plaquetas 200.000/mm3, ureia 50mg/dL, creatinina 1,0mg/dL, sódio 130mEq/L, potássio 4,0mEq/L, lactato 3mmol/L. |
O regime de tratamento e a indicação de antibióticos são, respectivamente:
Provas
Leia o caso a seguir.
|
Paciente de 70 anos, sexo masculino, procura unidade primária de saúde localizada a 300Km de serviço de saúde de alta complexidade, com queixa de dor retroesternal iniciada há 2 horas. Relata que a dor apresenta alta intensidade (8 em 10), irradia para o pescoço e membro superior esquerdo, não se altera com a movimentação do corpo e vem acompanhada de dispneia, mesmo em repouso. Antecedente de hipertensão arterial e dislipidemia. Internação há 2 meses com diagnóstico de acidente vascular encefálico isquêmico. Ex tabagista. Em uso de: losartam 50mg 2x/dia, hidroclorotiazida 25mg, sinvastatina 40mg, ácido acetilsalicílico (AAS) 100mg. Ao exame físico, o paciente apresentava uma frequência respiratória de 24 incursões por minuto, com estertores em bases pulmonares bilateralmente, SpO2 88%. Pressão arterial 140x60mmHg, frequência cardíaca de 100 batimentos por minuto. Alerta, algo confuso, porém obedecendo comandos simples. Eletrocardiograma realizado na admissão demonstrou o seguinte resultado
Foram iniciadas medidas clínicas para estabilização, incluindo suplementação de oxigênio, administração de AAS e nitroglicerina |
A conduta indicada nesse momento é
Provas
Caso Clínico 5
|
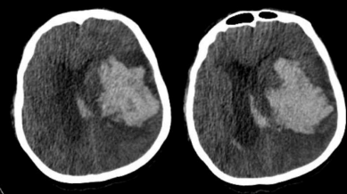
Paciente do sexo masculino, 72 anos, deu entrada no departamento de emergência com história de cefaleia súbita, evoluindo com vômitos e rebaixamento do nível de consciência. Antecedente de hipertensão arterial sistêmica e tabagismo, porém familiares não sabem referir nome das medicações em uso. Necessitou de intubação orotraqueal para proteção de vias aéreas. No momento, em ventilação mecânica modo assistido-controlado. Pressão arterial: 160x100mmHg. Frequência cardíaca de 78 batimentos por minuto. Anisocoria (midríase à esquerda). Exames laboratoriais evidenciaram: hemoglobina 13g/dL, leucócitos 13.000/mm3, plaquetas 220.000/mm3, ureia 60mg/dL, creatinina 1,6mg/dL, tempo de protrombina com INR (international normalized ratio) de 4,20, tempo de tromboplastina parcial ativado com relação P/N (paciente/normal) de 1. Tomografia de crânio sem contraste evidenciou o resultado a seguir. |

A terapia farmacológica indicada nesse momento é
Provas
Caso Clínico 5
|
Paciente do sexo masculino, 72 anos, deu entrada no departamento de emergência com história de cefaleia súbita, evoluindo com vômitos e rebaixamento do nível de consciência. Antecedente de hipertensão arterial sistêmica e tabagismo, porém familiares não sabem referir nome das medicações em uso. Necessitou de intubação orotraqueal para proteção de vias aéreas. No momento, em ventilação mecânica modo assistido-controlado. Pressão arterial: 160x100mmHg. Frequência cardíaca de 78 batimentos por minuto. Anisocoria (midríase à esquerda). Exames laboratoriais evidenciaram: hemoglobina 13g/dL, leucócitos 13.000/mm3, plaquetas 220.000/mm3, ureia 60mg/dL, creatinina 1,6mg/dL, tempo de protrombina com INR (international normalized ratio) de 4,20, tempo de tromboplastina parcial ativado com relação P/N (paciente/normal) de 1. Tomografia de crânio sem contraste evidenciou o resultado a seguir. |

Considerando as informações disponibilizadas, o diagnóstico provável é de
Provas
Caso Clínico 5
|
Paciente de 65 anos, internada em unidade de terapia intensiva com quadro de pneumonia comunitária grave, tendo sido submetida a intubação orotraqueal e ventilação mecânica há 4 dias. Antecedente de hipertensão arterial sistêmica e transtorno bipolar do humor, em uso de losartam e carbonato de lítio. Evolui estável hemodinamicamente, aparentando normovolemia, porém com débito urinário de cerca de 5000mL/ 24 horas desde a internação (sem estímulo diurético). Recebe dieta enteral quali e quantitativamente adequada as suas necessidades. Peso estimado de 70Kg. Exames laboratoriais evidenciando hipernatremia progressiva (última dosagem sódio 154mEq/L), além de uréia 70mg/dL, creatinina 1,1mg/dL, glicemia 100mg/dL, potássio 3,5mEq/L. Urina tipo 1 com densidade 1010, leucócitos 3000/mm3, hemácias 2000/mm3 |
Considerando as informações disponibilizadas, o diagnóstico provável é de
Provas
Caso Clínico 4
|
Paciente de 23 anos, sexo masculino, vítima de acidente automobilístico (colisão caminhão x moto). Foi ejetado da motocicleta e encontrado a cerca de 3 metros dela, em decúbito dorsal com capacete. No local do acidente, queixava-se de dor torácica e dispneia, com piora significativa durante o trajeto para unidade hospitalar. Deu entrada com vias aéreas aparentemente pérvias e colar cervical posicionado. Frequência respiratória de 36 incursões por minuto. Hemitórax direito sem movimentos ou sons respiratórios. Saturação periférica de oxigênio de 85% com suplementação por máscara facial. Frequência cardíaca de 120 batimentos por minuto, pressão arterial de 80x40mmHg, aparente turgência jugular. Ultrassonografia point of care de tórax evidenciando sinal da estratosfera à direita. |
A intervenção terapêutica indicada nesse momento é a
Provas
Caderno Container


