Foram encontradas 208 questões.
Paciente do sexo masculino, 3 meses de vida, pais referem
estridor inspiratório, com cianose perilabial, especialmente
quando está agitado, chorando, ou quando dorme em supino.
Sintomas iniciaram quando ele tinha em torno de 15 dias de
vida, e têm piorado no decorrer do tempo. Negam disfonia.
Nasceu a termo, com peso adequado ao nascer, e parto sem
intercorrências. Recebeu alta hospitalar no dia seguinte. Quais
achados na laringoscopia indireta são mais compatíveis com
a história do paciente?
Provas
Questão presente nas seguintes provas
Mulher, 32 anos de idade. Refere obstrução nasal, rinorreia
anterior hialina, principalmente de manhã, além de prurido e
espirros nasais, há 5 anos. Há 1 ano, tem apresentado
alteração no olfato. Ao exame físico, observa-se conchas
inferiores pálidas e hipertrofiadas bilateralmente, sem desvio
septal, e secreção hialina. O Prick teste foi negativo para os
alérgenos respiratórios (ácaros, baratas, gramíneas, fungos,
pelos de cães e gatos). Citologia nasal evidenciou 30% de
eosinófilos. Assinale a alternativa que apresenta o diagnóstico
mais provável.
Provas
Questão presente nas seguintes provas
Menino, 3 anos de idade. Nascido a termo, de parto normal de
mãe primigesta, com 17 anos de idade, que não havia feito o
pré-natal. Mãe refere certo grau de disfonia e aspereza desde
o 1º ano de idade, e desconforto respiratório aos esforços há
6 meses, que passou a ocorrer mesmo ao repouso. A imagem
da laringoscopia solicitada pode ser observada a seguir:
Diante do caso descrito, assinale a alternativa que apresenta o diagnóstico mais provável.
Diante do caso descrito, assinale a alternativa que apresenta o diagnóstico mais provável.
Provas
Questão presente nas seguintes provas
Mulher, 24 anos de idade, comparece ao serviço de saúde
apresentado diminuição do olfato após infecção por
COVID-19, há aproximadamente 3 meses. Refere estar
incomodada porque, para ela, o cheiro e o gosto dos
alimentos remetem à pneu queimado. De que forma é possível
definir o quadro da paciente, e qual a relação com a infecção
por COVID-19?
Provas
Questão presente nas seguintes provas
Menino, 4 anos de idade, compareceu em ambulatório, com
sintomas de roncos e apneias presenciadas pelos pais. A
professora da escola refere que ele é muito agitado e tem
baixa concentração. Não apresenta doenças associadas.
Pediatra iniciou corticoide tópico nasal, sem melhoras. Ao
exame físico, apresenta conchas nasais normotróficas,
adenoide ocupando 70% da nasofaringe. Amígdalas grau 2
bilateralmente. Sem atresia de palato. Por causa da agitação,
passou em neurologista, que indicou polissonografia noturna
diagnóstica, tendo sido feita em laboratório de sono. Os
resultados indicam eficiência do sono de 94%, índice de
microdespertares de 32,9/hora; distribuição do sono sem
grandes alterações. Apresenta IAH de 11,9 eventos/hora,
sendo 10,5 eventos de hipopneia, 1,1 eventos de apneia
central e 0,2 eventos de apneia obstrutiva. Não há diferença
de IAH de acordo com a posição do paciente. A saturação
média ficou em 95,6%. Considerando a idade do paciente,
assinale a alternativa que apresenta o diagnóstico correto e o
tratamento indicado, respectivamente.
Provas
Questão presente nas seguintes provas
Paciente do sexo masculino, 18 meses de idade. Pais referem
sono muito agitado, “passeando pela cama inteira”, ainda com
roncos e apneias, inclusive com cianose perilabial. A criança
tem ainda dificuldade de ganho de peso, e de ingerir alimentos
sólidos. Ao exame físico, ela apresenta coanas pérvias,
adenoide ocupando 90% da nasofaringe, amígdalas Grau III
bilateralmente, e laringe sem alterações. Assinale a alternativa
que apresenta a conduta mais adequada.
Provas
Questão presente nas seguintes provas
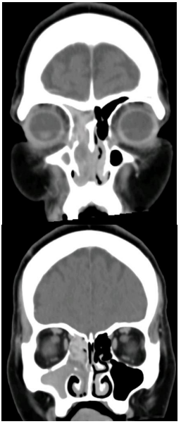
Mulher, 43 anos de idade, refere rinorreia purulenta, obstrução
nasal e cefaleia há mais de um ano, apenas em fossa nasal
direita. Ao exame físico, evidencia-se pólipos nasais e
secreção purulenta em meato médio a direita, mas sem
alterações no lado esquerdo. Foi realizada tomografia da face,
conforme imagens a seguir:
Qual achado de exame adicional você esperaria para o quadro?
Qual achado de exame adicional você esperaria para o quadro?
Provas
Questão presente nas seguintes provas
Menina, 5 anos de idade, pais referem febre, rinorreia
abundante e congestão nasal há 3 dias. No dia atual, criança
acordou com o “olho esquerdo abaulado”. O exame físico
evidencia edema e hiperemia em pálpebra esquerda, com
alguma proptose de órbita, mas movimentação da órbita
preservada. Qual exame é essencial para definição de
conduta?
Provas
Questão presente nas seguintes provas
Adolescente do sexo masculino, de 16 anos de idade, com
obstrução nasal e rinorreia anterior e posterior mucopurulenta,
todos a esquerda. Apresenta endoscopia com pólipo nasal
ocupando toda a narina esquerda, sendo visível pela coana
do lado direito também. Vem com a seguinte tomografia dos
seios da face. Assinale a alternativa que apresenta o
diagnóstico mais provável.


Provas
Questão presente nas seguintes provas
Mulher, 42 anos de idade, IMC de 35 kg/m2. Refere rinorreia
hialina à esquerda, que se iniciou abruptamente, há um ano.
Disse que “pinga secreção do nariz”, parecendo água,
quando abaixa. Nega outros sintomas nasossinusais, e nega
trauma prévio. Endoscopia não evidencia lesões em cavidade
nasal. Apresenta a tomografia de seios da face, com o achado
a seguir:
Diante do quadro, qual o exame laboratorial que confirma o diagnóstico?
Diante do quadro, qual o exame laboratorial que confirma o diagnóstico?
Provas
Questão presente nas seguintes provas
Cadernos
Caderno Container