Magna Concursos

Foram encontradas 208 questões.

4063728 Ano: 2026
Disciplina: Medicina
Banca: FUVEST
Orgão: USP
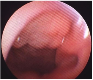
Menina, 9 anos de idade, apresenta febre há dois dias, com picos de até 38,2 °C ocorrendo duas a três vezes ao dia, associada à prostração. Nega coriza, tosse ou rouquidão. Ao exame físico, observa-se linfonodo submandibular direito aumentado, medindo cerca de 2 cm e doloroso à palpação. À oroscopia, observam-se os seguintes achados: 


Enunciado 4540961-1


Com base nessas informações, o agente etiológico mais provável nessa situação é:
 

Provas

Questão presente nas seguintes provas
4063727 Ano: 2026
Disciplina: Medicina
Banca: FUVEST
Orgão: USP
Mulher, 42 anos de idade, professora de ensino fundamental, relata disfonia desde a infância, com piora gradual ao longo dos anos, especialmente em situações de uso vocal prolongado. Nega tabagismo ou história prévia de cirurgia laríngea. Durante avaliação perceptivo-auditiva da voz (escala GRBASI), foram observados seguintes parâmetros:

- Grau geral de rouquidão (G): 3
- Aspereza (R): 3
- Soprosidade (B): 1
- Astenia (A): 0
- Tensão (S): 1
- Instabilidade (I): 0

Considerando esse padrão vocal e a história clínica, qual diagnóstico é mais provável?
 

Provas

Questão presente nas seguintes provas
4063726 Ano: 2026
Disciplina: Medicina
Banca: FUVEST
Orgão: USP
Mulher, 56 anos de idade, tabagista há 25 anos, refere rouquidão progressiva nos últimos 6 meses, associada à voz soprosa e fadiga vocal, além de dispneia aos esforços moderados. Nega disfagia ou perda ponderal. Nega história de trauma laríngeo. Ao exame, encontra-se eupneica em repouso. A avaliação vocal demonstra voz rouca, grave e soprosa. A videolaringoscopia em abdução mostra os achados apresentados na imagem a seguir:


Enunciado 4540959-1


Além de medidas antitabagismo, qual é a melhor conduta terapêutica?
 

Provas

Questão presente nas seguintes provas
4063725 Ano: 2026
Disciplina: Medicina
Banca: FUVEST
Orgão: USP
Menina, 7 anos de idade, previamente hígida, apresenta roncos noturnos e respiração bucal há 2 anos, com episódios de pausas respiratórias durante o sono observadas pelos pais. No último ano, passou a apresentar queda do rendimento escolar e irritabilidade. Refere episódios de amigdalite cerca de duas vezes ao ano nos últimos três anos. A paciente utilizou budesonida tópica nasal por 6 meses (100 µg/dia), sem melhora dos sintomas respiratórios noturnos. Ao exame físico, observa-se hipotonia labial, olheiras e palato ogival. A oclusão dentária classe I, com amígdalas grau 3 de Brodsky bilateralmente. Otoscopia sem alterações. Nasofibroscopia mostrou o achado apresentado na imagem a seguir:


Enunciado 4540958-1


Diante desse quadro, qual a melhor conduta?
 

Provas

Questão presente nas seguintes provas
4063724 Ano: 2026
Disciplina: Medicina
Banca: FUVEST
Orgão: USP
Homem, 45 anos de idade, previamente com audição normal, evoluiu nos últimos 5 anos com perda auditiva neurossensorial bilateral progressiva, atualmente em nível profundo. Mesmo com uso de aparelhos auditivos potentes e treinamento auditivo, mantém limiares tonais > 90 dB em ambas as orelhas e reconhecimento de fala < 30% na melhor condição amplificada. A tomografia e a ressonância magnética mostram cócleas formadas, sem ossificação, e nervos cocleares preservados bilateralmente. Assinale a alternativa que apresenta a melhor indicação terapêutica para este paciente.
 

Provas

Questão presente nas seguintes provas
4063723 Ano: 2026
Disciplina: Medicina
Banca: FUVEST
Orgão: USP
Homem, 53 anos de idade, refere dor em hemiface esquerda associada à fraqueza facial progressiva há 4 meses, atualmente sem movimentação de nenhuma região da face à esquerda. Nega hipoacusia, intolerância a ruídos ou alterações gustatórias. Ao exame físico apresenta paralisia facial periférica grau VI (House-Brackmann) à esquerda. Otoscopia sem alterações. Exames complementares mostram audiometria com limiares dentro da normalidade, imitanciometria com curva tipo A bilateral, reflexos estapedianos presentes bilateralmente. Com base nos dados clínicos, qual topografia do nervo facial é mais provável de se encontrar lesão?
 

Provas

Questão presente nas seguintes provas
4063722 Ano: 2026
Disciplina: Medicina
Banca: FUVEST
Orgão: USP
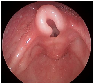
Lactente do sexo masculino, 6 meses de vida, nascido a termo, peso ao nascimento de 3,1 kg, sem intercorrências gestacionais. Duas semanas após o nascimento, começou a apresentar estridor inspiratório de leve intensidade, que vem se agravando nos últimos 2 meses, com dificuldade para amamentar. Mãe relata serem comuns episódios de cianose de extremidades durante as crises de choro. Ao exame físico, apresenta-se dispneico, FR de 30 irpm com retração de fúrcula e estridor inspiratório em repouso. Peso atual de 4,9 kg. Não apresenta estigmas sindrômicos. Laringoscopia flexível mostra a seguinte imagem:

Enunciado 4540955-1


Diante deste caso, assinale a alternativa que apresenta a melhor conduta.
 

Provas

Questão presente nas seguintes provas
4063721 Ano: 2026
Disciplina: Medicina
Banca: FUVEST
Orgão: USP
Menino, 10 anos de idade, previamente hígido, apresenta há 5 dias congestão nasal bilateral e espirros. Há 24 horas iniciou dor ocular à direita associada a embaçamento visual e febre não aferida. Ao exame físico, encontra-se afebril, em bom estado geral, consciente e orientado. À rinoscopia anterior observa-se edema acentuado de conchas inferiores com secreção mucoide bilateral. Nota-se edema palpebral direito, conforme figura apresentada a seguir, com discreta limitação da movimentação ocular inferior ipsilateral. Pupilas isocóricas e fotorreagentes.

Enunciado 4540954-1

Diante desse quadro, qual é a melhor conduta inicial?
 

Provas

Questão presente nas seguintes provas
4063720 Ano: 2026
Disciplina: Engenharia Mecânica
Banca: FUVEST
Orgão: USP
Provas:
As normas de segurança do trabalho estabelecem que as medidas de proteção devem priorizar a eliminação ou redução do risco na fonte, recorrendo-se, quando necessário, a Equipamentos de Proteção Coletiva (EPCs) ou Equipamentos de Proteção Individual (EPIs). Assinale a alternativa que corresponde a um EPC aplicável à operação de máquinas rotativas.
 

Provas

Questão presente nas seguintes provas
4063719 Ano: 2026
Disciplina: Engenharia Mecânica
Banca: FUVEST
Orgão: USP
Provas:
Os ferros fundidos são amplamente empregados na indústria mecânica e apresentam, em geral, melhor comportamento durante operações de usinagem quando comparados a muitos aços, em função de características próprias de sua microestrutura. Os ferros fundidos são considerados mais usináveis porque
 

Provas

Questão presente nas seguintes provas