Magna Concursos
323164 Ano: 2019
Disciplina: Biomedicina
Banca: QUADRIX
Orgão: FHGV-RS
Provas:
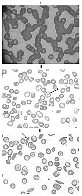
Um laboratório, durante as análises rotineiras de esfregaço sanguíneo de três amostras (1, 2 e 3), identificou as imagens a seguir.
enunciado 323164-1

Com base nessa situação hipotética, assinale a alternativa correta.
 

Provas

Questão presente nas seguintes provas

Farmacêutico

40 Questões