Magna Concursos

Foram encontradas 933 questões.

3745655 Ano: 2024
Disciplina: Medicina
Banca: IADES
Orgão: ESPDF

Uma criança de 8 anos de idade compareceu à consulta pediátrica, e mãe queixou-se de que a menor tem tido dificuldade na escola, ficando sempre sonolenta durante o período da manhã, apesar de dormir, todos os dias, por volta das 20h30. Relatou que a criança tinha uma “mania” de o “coçar” nariz e os olhos, o sono era agitado, roncava, e parecia estar sempre com “nariz entupido”. Ao exame físico, o médico constatou que a criança tinha olheiras, pregas infrapalpebrais, aspecto cansado, prega transversa no dorso do nariz, secreção clara discreta nas narinas, mucosa nasal pálida, com hipertrofia de cornetos inferiores +++/4+ bilateralmente; palato ogival, hiperemia de orofaringe; AP = MVF sem ruídos adventícios, FR = 23 irpm; Sat = 99%. AC = RCR, 2T, BNF, sem sopros. FC = 80 bpm; Abdome plano, sem visceromegalias; sem edemas e boa perfusão de extremidades.

Qual é o tratamento adequado para o paciente?

 

Provas

Questão presente nas seguintes provas
3745654 Ano: 2024
Disciplina: Medicina
Banca: IADES
Orgão: ESPDF

Enunciado 4335300-1

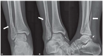
Um paciente de 45 anos de idade sofreu entorse do tornozelo direito durante prática de skate. No hospital, foram realizadas as radiografias representadas na figura.

A porção profunda do ligamento deltoide é constituída pelos ligamentos

 

Provas

Questão presente nas seguintes provas
3745653 Ano: 2024
Disciplina: Medicina
Banca: IADES
Orgão: ESPDF

Enunciado 4335299-1

Um paciente de 45 anos de idade sofreu entorse do tornozelo direito durante prática de skate. No hospital, foram realizadas as radiografias representadas na figura.

O ligamento deltoide possui duas porções: uma superficial e uma profunda. A porção superficial é constituída pelos ligamentos

 

Provas

Questão presente nas seguintes provas
3745652 Ano: 2024
Disciplina: Medicina
Banca: IADES
Orgão: ESPDF

Enunciado 4335298-1

Um paciente de 45 anos de idade sofreu entorse do tornozelo direito durante prática de skate. No hospital, foram realizadas as radiografias representadas na figura.

No referido caso clínico, o estágio final foi a

 

Provas

Questão presente nas seguintes provas
3745651 Ano: 2024
Disciplina: Medicina
Banca: IADES
Orgão: ESPDF

Enunciado 4335297-1

Um paciente de 45 anos de idade sofreu entorse do tornozelo direito durante prática de skate. No hospital, foram realizadas as radiografias representadas na figura.

No caso clínico exposto, o estágio inicial foi a

 

Provas

Questão presente nas seguintes provas
3745650 Ano: 2024
Disciplina: Medicina
Banca: IADES
Orgão: ESPDF

Enunciado 4335296-1

Um paciente de 45 anos de idade sofreu entorse do tornozelo direito durante prática de skate. No hospital, foram realizadas as radiografias representadas na figura.

De acordo com o mecanismo do trauma, em quantos estágios ocorreu a fratura do tornozelo mostrada na figura da questão 91?

 

Provas

Questão presente nas seguintes provas
3745649 Ano: 2024
Disciplina: Medicina
Banca: IADES
Orgão: ESPDF

Enunciado 4335295-1

Um paciente de 45 anos de idade sofreu entorse do tornozelo direito durante prática de skate. No hospital, foram realizadas as radiografias representadas na figura.

A incidência mencionada na questão 93 está demonstrada na figura da questão 91 pela(s) letra(s)

 

Provas

Questão presente nas seguintes provas
3745648 Ano: 2024
Disciplina: Medicina
Banca: IADES
Orgão: ESPDF

Enunciado 4335294-1

Um paciente de 45 anos de idade sofreu entorse do tornozelo direito durante prática de skate. No hospital, foram realizadas as radiografias representadas na figura.

Na incidência citada na questão 93, a sobreposição tíbiofibular em um tornozelo normal mede

 

Provas

Questão presente nas seguintes provas
3745647 Ano: 2024
Disciplina: Medicina
Banca: IADES
Orgão: ESPDF

Enunciado 4335293-1

Um paciente de 45 anos de idade sofreu entorse do tornozelo direito durante prática de skate. No hospital, foram realizadas as radiografias representadas na figura.

A incidência radiológica usada para avaliação da lesão da sindesmose tibiofibular distal é denominada

 

Provas

Questão presente nas seguintes provas
3745646 Ano: 2024
Disciplina: Medicina
Banca: IADES
Orgão: ESPDF

Enunciado 4335292-1

Um paciente de 45 anos de idade sofreu entorse do tornozelo direito durante prática de skate. No hospital, foram realizadas as radiografias representadas na figura.

De acordo com Lauge-Hansen, o provável mecanismo do trauma foi

 

Provas

Questão presente nas seguintes provas