Foram encontradas 933 questões.

Um paciente de 45 anos de idade sofreu entorse do tornozelo direito durante prática de skate. No hospital, foram realizadas as radiografias representadas na figura.
A radiografia indica uma fratura do tornozelo do tipo
Provas
Uma paciente de 47 anos de idade apresenta quadro de cervicobraquialgia direita há cerca de três meses, associada a parestesia no membro superior direito, que se estende até a mão, principalmente nos dedos indicador e polegar. Ao exame físico, nota-se leve redução do reflexo braquioestilorradial. O teste de Spurling foi positivo à direita. Observou-se ausência de paresias.
Além do teste de Spurling (já realizado), outro teste provocativo que indica a compressão radicular cervical é o (a)
Provas
Uma paciente de 47 anos de idade apresenta quadro de cervicobraquialgia direita há cerca de três meses, associada a parestesia no membro superior direito, que se estende até a mão, principalmente nos dedos indicador e polegar. Ao exame físico, nota-se leve redução do reflexo braquioestilorradial. O teste de Spurling foi positivo à direita. Observou-se ausência de paresias.
No caso clínico relatado, a alteração sensorial esperada é a perda de sensibilidade na face
Provas
Uma paciente de 47 anos de idade apresenta quadro de cervicobraquialgia direita há cerca de três meses, associada a parestesia no membro superior direito, que se estende até a mão, principalmente nos dedos indicador e polegar. Ao exame físico, nota-se leve redução do reflexo braquioestilorradial. O teste de Spurling foi positivo à direita. Observou-se ausência de paresias.
Na presença de eventual compromentimento motor, esperase que haja paresia da
Provas
Uma paciente de 47 anos de idade apresenta quadro de cervicobraquialgia direita há cerca de três meses, associada a parestesia no membro superior direito, que se estende até a mão, principalmente nos dedos indicador e polegar. Ao exame físico, nota-se leve redução do reflexo braquioestilorradial. O teste de Spurling foi positivo à direita. Observou-se ausência de paresias.
A referida paciente fez uso de várias medicações para dor, sem melhora. O próximo passo é
Provas
Uma paciente de 47 anos de idade apresenta quadro de cervicobraquialgia direita há cerca de três meses, associada a parestesia no membro superior direito, que se estende até a mão, principalmente nos dedos indicador e polegar. Ao exame físico, nota-se leve redução do reflexo braquioestilorradial. O teste de Spurling foi positivo à direita. Observou-se ausência de paresias.

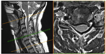
No citado caso clínico, foi solicitada uma ressonância magnética cervical, conforme representado nas figuras. Esse exame evidencia uma
Provas
Uma paciente de 47 anos de idade apresenta quadro de cervicobraquialgia direita há cerca de três meses, associada a parestesia no membro superior direito, que se estende até a mão, principalmente nos dedos indicador e polegar. Ao exame físico, nota-se leve redução do reflexo braquioestilorradial. O teste de Spurling foi positivo à direita. Observou-se ausência de paresias.
No caso clínico relatado, o seguimento vertebral afetado é o
Provas
Uma paciente de 47 anos de idade apresenta quadro de cervicobraquialgia direita há cerca de três meses, associada a parestesia no membro superior direito, que se estende até a mão, principalmente nos dedos indicador e polegar. Ao exame físico, nota-se leve redução do reflexo braquioestilorradial. O teste de Spurling foi positivo à direita. Observou-se ausência de paresias.
Nesse caso clínico, a provável raiz acometida é a raiz de
Provas
Um paciente de 27 anos de idade, jogador de vôlei profissional, compareceu ao consultório queixando-se de fraqueza no braço dominante. Ao exame físico, notou-se uma paresia da rotação externa do membro superior direito e da abdução do braço. Verificou-se, ainda, uma artrofia muscular na região infraescapular.
O tratamento apropriado do caso clínico citado deve ser
Provas
Um paciente de 27 anos de idade, jogador de vôlei profissional, compareceu ao consultório queixando-se de fraqueza no braço dominante. Ao exame físico, notou-se uma paresia da rotação externa do membro superior direito e da abdução do braço. Verificou-se, ainda, uma artrofia muscular na região infraescapular.
Assinale a alternativa que apresenta o diagnóstico provável para o caso clínico descrito.
Provas
Caderno Container