Magna Concursos

Foram encontradas 933 questões.

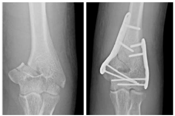
3745605 Ano: 2024
Disciplina: Medicina
Banca: IADES
Orgão: ESPDF

Enunciado 4335251-1

Um paciente de 30 anos de idade foi vítima de queda de árvore há cerca de um dia, sofrendo trauma no cotovelo esquerdo. Foi atendido no pronto-socorro e solicitadas as radiografias retratadas nas figuras.

De acordo com a classificação AO, trata-se de uma fratura

 

Provas

Questão presente nas seguintes provas
3745604 Ano: 2024
Disciplina: Medicina
Banca: IADES
Orgão: ESPDF

O teste de Pivot-Shift reverso é usado para diagnóstico da lesão do

 

Provas

Questão presente nas seguintes provas
3745603 Ano: 2024
Disciplina: Medicina
Banca: IADES
Orgão: ESPDF

Nos casos de associação com lesão do LCA, a lesão meniscal

 

Provas

Questão presente nas seguintes provas
3745602 Ano: 2024
Disciplina: Medicina
Banca: IADES
Orgão: ESPDF

As técnicas de sutura meniscal incluem inside-out, outside-in e all-inside.

A técnica inside-out é mais utilizada para sutura da lesão do

 

Provas

Questão presente nas seguintes provas
3745601 Ano: 2024
Disciplina: Medicina
Banca: IADES
Orgão: ESPDF

A lesão meniscal em alça de balde ocorre frequentemente em casos

 

Provas

Questão presente nas seguintes provas
3745600 Ano: 2024
Disciplina: Medicina
Banca: IADES
Orgão: ESPDF

Entre as lesões meniscais, a mais comum é a lesão

 

Provas

Questão presente nas seguintes provas
3745599 Ano: 2024
Disciplina: Medicina
Banca: IADES
Orgão: ESPDF

Um paciente de 19 anos de idade sofreu entorse do joelho direito durante agachamento em partida de futebol. Foi retirado do campo e queixando-se de dor na face interna do joelho. Foi levado ao hospital mais próximo e, ao ser examinado, percebeu que não conseguia estender completamente o joelho. Não conseguia flexionar totalmente o joelho também. Notaram-se ainda, edema e o sinal da tecla.

Diante do diagnóstico do caso clínico citado, a conduta terapêutica adequada seria

 

Provas

Questão presente nas seguintes provas
3745598 Ano: 2024
Disciplina: Medicina
Banca: IADES
Orgão: ESPDF

Um paciente de 19 anos de idade sofreu entorse do joelho direito durante agachamento em partida de futebol. Foi retirado do campo e queixando-se de dor na face interna do joelho. Foi levado ao hospital mais próximo e, ao ser examinado, percebeu que não conseguia estender completamente o joelho. Não conseguia flexionar totalmente o joelho também. Notaram-se ainda, edema e o sinal da tecla.

Enunciado 4335244-1

Considere que, no caso clínico descrito, foi realizado o exame complementar, conforme apresentado. Essa figura mostra

 

Provas

Questão presente nas seguintes provas
3745597 Ano: 2024
Disciplina: Medicina
Banca: IADES
Orgão: ESPDF

Um paciente de 19 anos de idade sofreu entorse do joelho direito durante agachamento em partida de futebol. Foi retirado do campo e queixando-se de dor na face interna do joelho. Foi levado ao hospital mais próximo e, ao ser examinado, percebeu que não conseguia estender completamente o joelho. Não conseguia flexionar totalmente o joelho também. Notaram-se ainda, edema e o sinal da tecla.

Assinale a alternativa que apresenta o exame de imagem mais adequado para a confirmação diagnóstica.

 

Provas

Questão presente nas seguintes provas
3745596 Ano: 2024
Disciplina: Medicina
Banca: IADES
Orgão: ESPDF

Um paciente de 19 anos de idade sofreu entorse do joelho direito durante agachamento em partida de futebol. Foi retirado do campo e queixando-se de dor na face interna do joelho. Foi levado ao hospital mais próximo e, ao ser examinado, percebeu que não conseguia estender completamente o joelho. Não conseguia flexionar totalmente o joelho também. Notaram-se ainda, edema e o sinal da tecla.

No caso clínico exposto, o teste clínico indicado é o

 

Provas

Questão presente nas seguintes provas