Foram encontradas 933 questões.

O implante indicado na figura é usado para realização da osteotomia
Provas

Essa figura mostra um exemplo de implante para osteotomia
Provas

Uma paciente de 63 anos de idade compareceu ao consultório queixando-se de dor nos joelhos há cerca de cinco anos. Nega trauma. Refere que a dor começou a piorar nos últimos três meses. Relata ainda diabetes mellitus, e que seu joelho começou a entortar (sic) e que, quando acorda, o seu joelho frequentemente está rígido.
Qual é a medida aproximada do ângulo formado entre o eixo mecânico do membro inferior e o eixo anatômico do fêmur?
Provas

Uma paciente de 63 anos de idade compareceu ao consultório queixando-se de dor nos joelhos há cerca de cinco anos. Nega trauma. Refere que a dor começou a piorar nos últimos três meses. Relata ainda diabetes mellitus, e que seu joelho começou a entortar (sic) e que, quando acorda, o seu joelho frequentemente está rígido.
O realinhamento do membro inferior é muito importante para o sucesso do tratamento cirúrgico. Normalmente o eixo mecânico do membro inferior é formado por uma linha que passa pelo centro
Provas

Uma paciente de 63 anos de idade compareceu ao consultório queixando-se de dor nos joelhos há cerca de cinco anos. Nega trauma. Refere que a dor começou a piorar nos últimos três meses. Relata ainda diabetes mellitus, e que seu joelho começou a entortar (sic) e que, quando acorda, o seu joelho frequentemente está rígido.
Assinale a alternativa que corresponde ao tratamento mais apropriado para o caso clínico exposto.
Provas

Uma paciente de 63 anos de idade compareceu ao consultório queixando-se de dor nos joelhos há cerca de cinco anos. Nega trauma. Refere que a dor começou a piorar nos últimos três meses. Relata ainda diabetes mellitus, e que seu joelho começou a entortar (sic) e que, quando acorda, o seu joelho frequentemente está rígido.
Outra classificação muito difundida dessa doença é a descrita por Ahlbäck. Segundo esse autor, classifica-se a radiografia representada na figura da questão 25 como grau:
Provas

Uma paciente de 63 anos de idade compareceu ao consultório queixando-se de dor nos joelhos há cerca de cinco anos. Nega trauma. Refere que a dor começou a piorar nos últimos três meses. Relata ainda diabetes mellitus, e que seu joelho começou a entortar (sic) e que, quando acorda, o seu joelho frequentemente está rígido.

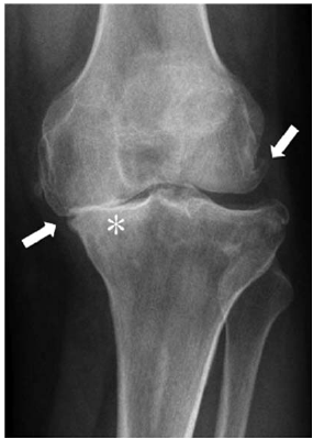
Considere que a paciente do caso clínico relatado realizou o exame representado na figura. De acordo com a classificação de Kellgren e Lawrence, trata-se do grau
Provas

Uma paciente de 63 anos de idade compareceu ao consultório queixando-se de dor nos joelhos há cerca de cinco anos. Nega trauma. Refere que a dor começou a piorar nos últimos três meses. Relata ainda diabetes mellitus, e que seu joelho começou a entortar (sic) e que, quando acorda, o seu joelho frequentemente está rígido.
A classificação radiográfica Kellgren e Lawrence se baseia em três parâmetros que são
Provas

Uma paciente de 63 anos de idade compareceu ao consultório queixando-se de dor nos joelhos há cerca de cinco anos. Nega trauma. Refere que a dor começou a piorar nos últimos três meses. Relata ainda diabetes mellitus, e que seu joelho começou a entortar (sic) e que, quando acorda, o seu joelho frequentemente está rígido.
No caso clínico descrito, o sintoma mais frequentemente encontrado é
Provas

Uma paciente de 63 anos de idade compareceu ao consultório queixando-se de dor nos joelhos há cerca de cinco anos. Nega trauma. Refere que a dor começou a piorar nos últimos três meses. Relata ainda diabetes mellitus, e que seu joelho começou a entortar (sic) e que, quando acorda, o seu joelho frequentemente está rígido.
Assinale a alternativa que indica o exame de imagem de escolha para avaliação inicial desse caso clínico.
Provas
Caderno Container