Foram encontradas 300 questões.
Qual o padrão laboratorial clássico da anemia ferropriva?
Provas
Questão presente nas seguintes provas
Paciente, 42 anos, com história familiar de pai falecido
de infarto agudo do miocárdio aos 57 anos, apresenta
sobrepeso e nega atividade física regular. Realizou exames que apresentaram colesterol total: 252 mg/dL; HDL:
38 mg/dL; LDL: 167 mg/dL; triglicerídeos: 180 mg/dL.
Glicemia: 105 mg/dL e PCR us: 4,2 mg/dL. Na avaliação ambulatorial, apresentava escore PREVENT (AHA/ACC 2023): risco cardiovascular global estimado: 14% em 10 anos e SCORE2 (ESC 2024): risco estimado ≈ 11% em 10 anos.
Com base nos dados clínicos e laboratoriais, qual a classificação de risco cardiovascular global e o diagnóstico mais adequado, segundo as diretrizes atuais?
Glicemia: 105 mg/dL e PCR us: 4,2 mg/dL. Na avaliação ambulatorial, apresentava escore PREVENT (AHA/ACC 2023): risco cardiovascular global estimado: 14% em 10 anos e SCORE2 (ESC 2024): risco estimado ≈ 11% em 10 anos.
Com base nos dados clínicos e laboratoriais, qual a classificação de risco cardiovascular global e o diagnóstico mais adequado, segundo as diretrizes atuais?
Provas
Questão presente nas seguintes provas
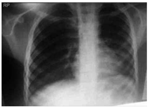
Leia o caso clínico a seguir para responder à questão:
Paciente de 67 anos, tabagista 40 maços/ano, ex-
-fumante há 3 anos, diagnosticado com doença pulmonar
obstrutiva crônica (DPOC), classificado como GOLD D
há 4 anos (VEF₁: 38% do previsto). Faz uso de tiotrópio e
formoterol regularmente, sem oxigenoterapia domiciliar.
Chega ao pronto atendimento com dispneia intensa e
aumento de volume de escarro purulento há 3 dias, evoluindo com cansaço progressivo e confusão mental nas
últimas horas.
Ao exame físico: FR: 28 irpm, uso de musculatura acessória SatO₂: 82% em ar ambiente.
PA: 138 × 86 mmHg; FC: 112 bpm; T: 37,8 °C.
Ausculta pulmonar com roncos difusos e sibilos esparsos.
Gasometria arterial pH: 7,28; PaCO₂: 68 mmHg; PaO₂:
54 mmHg; HCO₃⁻: 31 mEq/L.
Radiografia de tórax a seguir:

(Arquivo pessoal; imagem usada com autorização)
Provas
Questão presente nas seguintes provas
Leia o caso clínico a seguir para responder à questão:
Paciente de 67 anos, tabagista 40 maços/ano, ex-
-fumante há 3 anos, diagnosticado com doença pulmonar
obstrutiva crônica (DPOC), classificado como GOLD D
há 4 anos (VEF₁: 38% do previsto). Faz uso de tiotrópio e
formoterol regularmente, sem oxigenoterapia domiciliar.
Chega ao pronto atendimento com dispneia intensa e
aumento de volume de escarro purulento há 3 dias, evoluindo com cansaço progressivo e confusão mental nas
últimas horas.
Ao exame físico: FR: 28 irpm, uso de musculatura acessória SatO₂: 82% em ar ambiente.
PA: 138 × 86 mmHg; FC: 112 bpm; T: 37,8 °C.
Ausculta pulmonar com roncos difusos e sibilos esparsos.
Gasometria arterial pH: 7,28; PaCO₂: 68 mmHg; PaO₂:
54 mmHg; HCO₃⁻: 31 mEq/L.
Radiografia de tórax a seguir:

(Arquivo pessoal; imagem usada com autorização)
Provas
Questão presente nas seguintes provas
Paciente de 27 anos, sexo feminino, previamente saudável, com história de disúria, polaciúria e urgência urinária há 24h. Nega febre, lombalgia, náusea ou corrimento
vaginal. Sem comorbidades.
Assinale a alternativa que apresenta a conduta médica apropriada.
Assinale a alternativa que apresenta a conduta médica apropriada.
Provas
Questão presente nas seguintes provas
Sobre a profilaxia antibiótica para endocardite em procedimentos odontológicos, assinale a alternativa correta.
Provas
Questão presente nas seguintes provas
Paciente, 45 anos, admitido no pronto-socorro após relatar náuseas intensas, vômitos, dor epigástrica e visão
turva (“visão de névoa”) nas últimas 12 horas, após
ingesta de bebida alcoólica em um bar em São Paulo. Ao
exame físico: PA: 110 × 70 mmHg; FC: 98 bpm.
Agitado, queixa de dor em epigastro, sem sinais de hepatomegalia ou icterícia.
Fundo de olho: pupilas midriáticas, sem reflexo fotomotor preservado.
Sem alterações focais neurológicas evidentes.
Exames laboratoriais:
Gasometria arterial: pH: 7,12; PaCO₂: 24 mmHg | HCO₃⁻: 8 mEq/L; Anion gap: elevado.
Etanol plasmático = 0,5 g/L (nível baixo).
Diante do aumento epidemiológico no Brasil, qual a abordagem terapêutica nesse caso?
Agitado, queixa de dor em epigastro, sem sinais de hepatomegalia ou icterícia.
Fundo de olho: pupilas midriáticas, sem reflexo fotomotor preservado.
Sem alterações focais neurológicas evidentes.
Exames laboratoriais:
Gasometria arterial: pH: 7,12; PaCO₂: 24 mmHg | HCO₃⁻: 8 mEq/L; Anion gap: elevado.
Etanol plasmático = 0,5 g/L (nível baixo).
Diante do aumento epidemiológico no Brasil, qual a abordagem terapêutica nesse caso?
Provas
Questão presente nas seguintes provas
Leia o caso clínico a seguir para responder à questão:
Paciente jovem, sexo masculino, 32 anos, procura a
Unidade Básica de Saúde com história de úlcera genital indolor há 10 dias, bordas endurecidas, base limpa
e indolor, associada a linfonodos inguinais aumentados,
elásticos, indolores. Nega febre. Tem parceiro fixo, relata
relação sexual sem preservativo há 4 semanas.
Ao exame físico: lesão única em sulco balanoprepucial,
1,2 cm; não exsudativa. Sem outras lesões.
Provas
Questão presente nas seguintes provas
Leia o caso clínico a seguir para responder à questão:
Paciente jovem, sexo masculino, 32 anos, procura a
Unidade Básica de Saúde com história de úlcera genital indolor há 10 dias, bordas endurecidas, base limpa
e indolor, associada a linfonodos inguinais aumentados,
elásticos, indolores. Nega febre. Tem parceiro fixo, relata
relação sexual sem preservativo há 4 semanas.
Ao exame físico: lesão única em sulco balanoprepucial,
1,2 cm; não exsudativa. Sem outras lesões.
Provas
Questão presente nas seguintes provas
Em relação à fisiopatologia da tireoidite de Hashimoto,
assinale a alternativa correta.
Provas
Questão presente nas seguintes provas
Cadernos
Caderno Container