Foram encontradas 300 questões.
Em relação à insuficiência cardíaca com fração de ejeção
preservada (HFpEF), assinale a alternativa correta.
Provas
Questão presente nas seguintes provas
Paciente de 45 anos, com queixa de nova cefaleia intensa
“pior da vida”, início abrupto há 1 hora, associada a vômitos e rigidez nucal. Nega história prévia de enxaqueca.
A abordagem terapêutica correta nesse caso é:
A abordagem terapêutica correta nesse caso é:
Provas
Questão presente nas seguintes provas
Sobre a dupla antiagregação plaquetária (AAS + inibidor
P2Y12) em síndrome coronariana aguda (SCA), assinale
a alternativa correta.
Provas
Questão presente nas seguintes provas
Em relação ao lúpus eritematoso sistêmico (LES), assinale a alternativa correta.
Provas
Questão presente nas seguintes provas
Leia o caso clínico a seguir para responder à questão:
Paciente idoso, 71 anos, com internação por pneumonia
há 14 dias. Foram administradas no hospital ceftriaxona
e claritromicina por 7 dias e, após alta, o término do tratamento com amoxicilina/clavulanato por mais 5 dias
em casa. Retornou ao hospital com história de diarreia
aquosa profusa (10–12 evacuações/dia), cólicas e febre
baixa há 4 dias, evoluindo com piora, hoje, associada a
hipotensão arterial leve e dor abdominal difusa.
Ao exame físico: PA: 98 x 60 mmHg; FC: 110 bpm;
T: 38,3 °C; FR: 22 irpm; abdome distendido, dor difusa,
ruídos reduzidos.
Exames laboratoriais com leucócitos: 18.900/mm³; creatinina: 1,8 mg/dL (basal 1,0).
Provas
Questão presente nas seguintes provas
Leia o caso clínico a seguir para responder à questão:
Paciente idoso, 71 anos, com internação por pneumonia
há 14 dias. Foram administradas no hospital ceftriaxona
e claritromicina por 7 dias e, após alta, o término do tratamento com amoxicilina/clavulanato por mais 5 dias
em casa. Retornou ao hospital com história de diarreia
aquosa profusa (10–12 evacuações/dia), cólicas e febre
baixa há 4 dias, evoluindo com piora, hoje, associada a
hipotensão arterial leve e dor abdominal difusa.
Ao exame físico: PA: 98 x 60 mmHg; FC: 110 bpm;
T: 38,3 °C; FR: 22 irpm; abdome distendido, dor difusa,
ruídos reduzidos.
Exames laboratoriais com leucócitos: 18.900/mm³; creatinina: 1,8 mg/dL (basal 1,0).
Provas
Questão presente nas seguintes provas
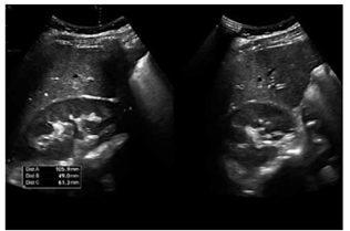
Paciente, sexo masculino, 26 anos, previamente saudável, procura pronto atendimento por edema em face e
membros inferiores há 7 dias, associado à oligúria, urina
“cor de Coca-Cola” e cefaleia. Relata faringoamigdalite
purulenta há 3 semanas, tratada apenas com sintomáticos. Nega doenças crônicas prévias, uso de drogas ilícitas ou história familiar de nefropatias.
Exame físico: PA: 168 × 102 mmHg; FC: 88 bpm.
Edema periorbitário + edema de MMII ++/4+.
Ausculta cardíaca e pulmonar sem alterações significativas.
Exames laboratoriais:
Urina 1: proteinúria 1,8 g/24h; hematúria dismórfica; cilindros hemáticos.
Creatinina: 2,0 mg/dL (prévia desconhecida).
Ureia: 65 mg/dL.
Complemento sérico: C3 reduzido, C4 normal.
ASLO: 820 UI (elevado).
Ultrassonografia renal: rins de tamanho normal, sem alterações estruturais significativas.
(Arquivo pessoal; imagem usada com autorização)
Assinale a alternativa que apresenta corretamente o diagnóstico para o caso desse paciente.
Exame físico: PA: 168 × 102 mmHg; FC: 88 bpm.
Edema periorbitário + edema de MMII ++/4+.
Ausculta cardíaca e pulmonar sem alterações significativas.
Exames laboratoriais:
Urina 1: proteinúria 1,8 g/24h; hematúria dismórfica; cilindros hemáticos.
Creatinina: 2,0 mg/dL (prévia desconhecida).
Ureia: 65 mg/dL.
Complemento sérico: C3 reduzido, C4 normal.
ASLO: 820 UI (elevado).
Ultrassonografia renal: rins de tamanho normal, sem alterações estruturais significativas.
(Arquivo pessoal; imagem usada com autorização)
Assinale a alternativa que apresenta corretamente o diagnóstico para o caso desse paciente.
Provas
Questão presente nas seguintes provas
Sobre a esteato-hepatite associada à disfunção metabólica (MASH), assinale a alternativa correta.
Provas
Questão presente nas seguintes provas
Após medidas de reanimação cardiopulmonar com retorno da circulação espontânea (RCE) após 12 minutos, o paciente
chega no serviço hospitalar. Na UTI, o paciente encontra-se sob ventilação mecânica, comatoso, temperatura central
36,5 °C, sem sedação, escala de coma de Glasgow 5, sem sinais de comando.
Qual é a conduta recomendada, segundo diretrizes atuais para manejo da temperatura?
Qual é a conduta recomendada, segundo diretrizes atuais para manejo da temperatura?
Provas
Questão presente nas seguintes provas
Paciente, sexo masculino, 65 anos, portador de hipertensão arterial e tabagista, colapsa dentro de casa após dor torácica
súbita. A esposa inicia massagem cardíaca básica após 5 minutos, e os familiares acionam o SAMU. Ao chegar, a equipe
de suporte encontra paciente inconsciente, cianótico, sem pulso central. O monitor do DEA evidencia a presença do ritmo
a seguir.
(Arquivo pessoal; imagem usada com autorização)
Qual deve ser a conduta imediata da equipe ao identificar esse ritmo cardíaco em um paciente em PCR?
(Arquivo pessoal; imagem usada com autorização)
Qual deve ser a conduta imediata da equipe ao identificar esse ritmo cardíaco em um paciente em PCR?
Provas
Questão presente nas seguintes provas
Cadernos
Caderno Container