Magna Concursos

Foram encontradas 50 questões.

1991679 Ano: 2020
Disciplina: Medicina
Banca: UFPR
Orgão: HC-UFPR

No que diz respeito ao ecstasy, seu efeito está relacionado à liberação de:

 

Provas

Questão presente nas seguintes provas
1991678 Ano: 2020
Disciplina: Medicina
Banca: UFPR
Orgão: HC-UFPR

É um medicamento cuja intoxicação secundária apresenta achados eletroencefalográficos que podem mimetizar doença priônica:

 

Provas

Questão presente nas seguintes provas
1991677 Ano: 2020
Disciplina: Medicina
Banca: UFPR
Orgão: HC-UFPR

A sensibilidade que comumente se deteriora com o envelhecimento é:

 

Provas

Questão presente nas seguintes provas
1991676 Ano: 2020
Disciplina: Medicina
Banca: UFPR
Orgão: HC-UFPR

Ao realizar o estímulo na perna com anestesia, o paciente sente o estímulo na perna contralateral. Esse achado denomina-se:

 

Provas

Questão presente nas seguintes provas
1991675 Ano: 2020
Disciplina: Medicina
Banca: UFPR
Orgão: HC-UFPR

Opioides e analgésicos narcóticos são medicamentos que apresentam ações semelhantes às da morfina. Existem três tipos de receptores opioides: mu, delta e kappa. Sobre esses medicamentos, é correto afirmar:

 

Provas

Questão presente nas seguintes provas
1991674 Ano: 2020
Disciplina: Medicina
Banca: UFPR
Orgão: HC-UFPR

Paciente do sexo masculino, branco, 50 anos, apresenta queixa de insônia e comprometimento cognitivo com piora gradual. História pregressa de diarreia crônica, perda ponderal, poliartralgia e febre episódica de origem desconhecida. Exame neurológico: acentuado comprometimento de memórias recente e episódica; prejuízo de funções executivas. Exame físico: aumento de pigmentação de pele em antebraços; presença de movimento rítmico persistente de convergência e divergência ocular associado a contrações dos músculos mastigatórios; alteração na motilidade ocular extrínseca. O diagnóstico e o exame complementar a ser realizado para definição etiológica são, respectivamente:

 

Provas

Questão presente nas seguintes provas
1991673 Ano: 2020
Disciplina: Medicina
Banca: UFPR
Orgão: HC-UFPR

Em relação ao uso do carbonato de lítio, é correto afirmar:

 

Provas

Questão presente nas seguintes provas
1991672 Ano: 2020
Disciplina: Medicina
Banca: UFPR
Orgão: HC-UFPR

Paciente de 29 anos, sexo feminino, chega ao pronto atendimento apresentando fraqueza em membros inferiores, com três dias de evolução, que se associou à sensação de urgência urinária e constipação. Iniciou o quadro com alteração de sensibilidade nos membros inferiores e, no momento da admissão, não conseguia mais deambular. Na história pregressa, a paciente apresentava um quadro de artralgia e febre. No exame neurológico, entre outros achados, apresenta nível sensitivo em T2. Nos exames laboratoriais, observou-se pancitopenia, anti-DNA e anti-Sm positivos. A ressonância magnética da coluna cervical apresentou a seguinte imagem:

Enunciado 1991672-1

Em relação ao caso apresentado, é correto afirmar:

 

Provas

Questão presente nas seguintes provas
1991671 Ano: 2020
Disciplina: Medicina
Banca: UFPR
Orgão: HC-UFPR

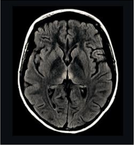
Mulher de 22 anos chega ao pronto atendimento com história de dificuldade para caminhar por falta de equilíbrio há três meses. Evoluiu com piora gradual e hoje deambula somente com apoio. O marido relatou que a paciente realizava atividade física por várias horas diariamente, abandonando a prática devido ao quadro clínico, e que fazia dieta constantemente. Ao exame clínico: paciente muito emagrecida, IMC 16, taquicárdica, sonolenta, com ataxia de marcha, desorientada no tempo e no espaço e com alteração na motilidade ocular extrínseca. A paciente foi internada para investigação. Dois dias após, apresentou piora e foi transferida para a UTI, em coma. A imagem da ressonância magnética de crânio evidenciou a alteração exemplificada pela imagem ao lado e o exame de liquor foi normal. Em relação ao caso apresentado, é correto afirmar:

Enunciado 1991671-1

 

Provas

Questão presente nas seguintes provas
1991670 Ano: 2020
Disciplina: Medicina
Banca: UFPR
Orgão: HC-UFPR

É correto afirmar que a síndrome de Susac:

 

Provas

Questão presente nas seguintes provas