Foram encontradas 915 questões.
Constitui contraindicação para o tratamento da hepatite C crônica com interferon peguilado e ribaverina:
Provas
Questão presente nas seguintes provas
Paciente sofre trauma no antebraço e, ao ser avaliado no pronto-socorro, foi feito diagnóstico de fratura da ulna e luxação da cabeça radial anteriormente. Este tipo de lesão recebe o nome de fratura de:
Provas
Questão presente nas seguintes provas
Sintoma/sinal mais frequentemente relacionado à agudização clínica de bronquiectasia:
Provas
Questão presente nas seguintes provas
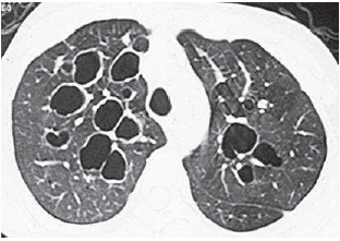
Observe a figura a seguir:

O diagnóstico é:
Provas
Questão presente nas seguintes provas
A doença pulmonar obstrutiva crônica possui variados sinais e sintomas além de variadas formas de tratamento dependendo se é aguda ou crônica.
Em relação ao tema, avalie as afirmativas a seguir:
I - Seus sintomas comuns incluem sibilos e dificuldade respiratória ao esforço
II - No tratamento de pacientes instáveis, deve-se minimizar seu estado funcional
III - O exame físico do tórax do paciente pode revelar aumento dos ruídos respiratórios precocemente
IV - Sinais tardios podem incluir o uso dos músculos respiratórios acessórios
V - Nas exacerbações agudas da doença crônica pode haver hipercapnia
Estão corretas:
Provas
Questão presente nas seguintes provas
O hipotireoidismo é uma síndrome clínica resultante de deficiente produção ou ação dos hormônios tireoidianos.
Das afirmativas abaixo, a que pode ser considerada INCORRETA em relação a sua etiologia é:
Provas
Questão presente nas seguintes provas
Em relação ao osteocondroma é correto dizer que:
Provas
Questão presente nas seguintes provas
Os músculos esqueléticos são suscetíveis a muitas lesões, sejam agudas ou crônicas.
As características:
- Inflamação da bainha sinovial que circunda o tendão
- Golpe súbito aplicado ao corpo
- Laceração ou ruptura no músculo ou tecidos adjacentes
- Inflamação do tecido muscular
correspondem respectivamente às seguintes lesões:
Provas
Questão presente nas seguintes provas
Num paciente com síndrome de abstinência alcoólica, o sintoma abaixo que você NÃO espera encontrar são:
Provas
Questão presente nas seguintes provas
Com relação às glândulas salivares NÃO é correto afirmar que:
Provas
Questão presente nas seguintes provas
Cadernos
Caderno Container