Foram encontradas 460 questões.
Mulher de 30 anos, com nefrite lúpica recentemente diagnosticada, apresenta quadro de perda abrupta da visão em ambos os olhos ao longo de várias horas. Ela teve dificuldade em controlar a hipertensão nas últimas semanas com piora da função renal e tem tomado vários anti- -hipertensivos orais. Ao exame físico: afebril; ela está referindo dor de cabeça e tem aparência cushingoide; não há rigidez de nuca; pressão arterial: 212 x 105 mmHg; neurológico: ela está acordada, segue os comandos, a acuidade visual é diminuída globalmente, mas não há déficit focal. A creatinina é 2,4 mg/dL. A ressonância magnética mostra edema vasogênico parieto-occipital bilateral com sinal T2 hiperintenso, mas sem evidência de acidente vascular cerebral agudo ou dissecção arterial.
O diagnóstico mais provável é
Provas
O odor de um paciente vítima de intoxicação exógena pode fornecer pistas sobre a substância causadora do envenenamento. No paciente com odor de alho, a etiologia mais provável é
Provas
Considerando um homem de 51 anos com a radiografia de tórax mostrada a seguir, é correto afirmar que

(Arquivo pessoal; imagem usada com autorização)
Provas
Mulher de 46 anos, com dor abdominal intermitente no quadrante superior direito, apresenta cálculos biliares, sendo então submetida à colecistectomia. Dois anos após, ela persiste com episódios de dor em andar superior do abdome que duram de 1 a 2 horas. Na última ocasião, os exames séricos mostraram: aspartato aminotransferase: 77 U/L; alanina aminotransferase: 99 U/L; fosfatase alcalina: normal.
O ultrassom mostra ducto biliar comum de 5 mm. Nessa paciente, o manejo mais adequado é
Provas
Mulher de 20 anos, previamente saudável, apresenta quadro de febre, cefaleia e erupção cutânea. Ela é babá e recentemente assumiu um cargo no verão para cuidar de crianças pequenas, ambas com diarreia. Ao exame físico: consciente, orientada; temperatura de 38,4 ºC; rigidez de nuca 1+/4; não há papiledema; nota-se erupção macular esbranquiçada no tronco e nas costas, bem como nas mãos. A punção lombar mostra: leucócitos: 150/mm3 (90% de linfócitos); hemácias: 2/mm3; proteínas 40 mg/dL; glicose: 80 mg/dL; coloração de Gram sem bactérias.
A etiologia mais provável nessa paciente é
Provas
Mulher, 30 anos de idade e com obesidade grau III, é admitida para tratamento de exacerbação aguda de asma. Ela pesa 181 kg. A creatinina sérica é de 0,9 mg/dL.
Nessa condição, o melhor método para avaliar, com maior acurácia, sua taxa de filtração glomerular (clearance) é
Provas
Assinale a alternativa correta sobre imagens nucleares em doenças cardíacas.
Provas
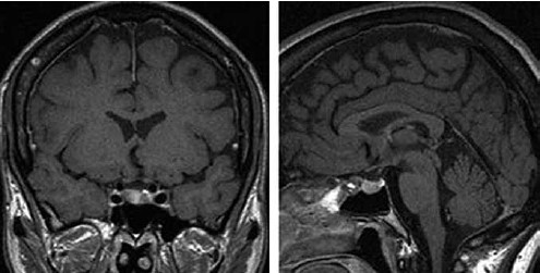
Mulher de 33 anos se apresenta no ambulatório devido a dores de cabeça e visão embaçada. Ela não tem histórico de enxaqueca, mas teve alguma lactação recente junto com um ciclo menstrual tardio. O teste de gravidez é negativo. A ressonância magnética encefálica realizada é mostrada a seguir.

(Arquivo pessoal; imagens usadas com autorização)
Considerando a principal hipótese diagnóstica, é correto afirmar que
Provas
Mulher de 25 anos de idade, na 18ª semana de gravidez, é atendida referindo episódios frequentes de cefaleia. Ela tem um histórico de migrânea previamente tratada com ácido valpróico para prevenção de crises de enxaqueca. Nas últimas semanas, relata dores de cabeça mais frequentes e intensas localizadas no lado esquerdo da cabeça, latejante e associadas a náuseas e fotofobia. As crises estão ocorrendo com frequência suficiente para que ela falte ao trabalho alguns dias por semana. A ressonância magnética do cérebro sem contraste é normal.
O próximo passo recomendado nessa paciente é
Provas
Paciente idosa, acompanhada na unidade de saúde, faz um exame do estado mental: ela perde pontos por subtrair 7 em série de 100; tem dificuldade em desenhar um relógio; perde pontos pelos números e ponteiros colocados corretamente; há também alguma dificuldade em seguir comandos de 3 passos; nenhum outro déficit é identificado no exame. A família relata que ela está menos motivada para sair com família e amigos e se recusa a continuar indo à igreja, o que foi um hábito dela por muitos anos. Às vezes, ela faz comentários ofensivos sobre os outros e, muitas vezes, não se importa se não escovou o cabelo ou os dentes.
O tipo de demência mais provável nessa paciente é
Provas
Caderno Container