Foram encontradas 356 questões.
2864667
Ano: 2022
Disciplina: Técnicas em Topografia
Banca: FAU-UNICENTRO
Orgão: Pref. Ponta Grossa-PR
Disciplina: Técnicas em Topografia
Banca: FAU-UNICENTRO
Orgão: Pref. Ponta Grossa-PR
Provas:
A fotogrametria é a arte e a ciência de
realizar medições precisas por meio de
fotografia aérea. A fotogrametria pode ser
analógica ou digital, cada abordagem tem um
papel apropriado, dependendo da natureza
dos dados de sensoriamento remoto e dos
objetivos da análise da imagem. De acordo
com as afirmativas é correto afirmar que:
I - As imagens aéreas (fotográficas ou digitais) do terreno apresentam deformações geométricas que são devidas essencialmente ao fato de a imagem ser uma perspectiva central; a altitude da plataforma que transporta a câmara e ao relevo. II - Designa-se por ortorretificação o processo que conduz à transformação da imagem (fotográfica ou digital) numa imagem digital, designada por ortoimagem, semelhante à que resultaria de uma perspectiva paralela do terreno, segundo uma direção vertical; III - A ortoimagem apresenta uma escala constante e possibilita o uso métrico da informação de modo semelhante a uma planta topográfica baseada numa projeção cartográfica. IV - A Estereoscopia é o deslocamento aparente de um objeto em relação a um referencial, devido a uma mudança na posição do observador. V - As diferenças na paralaxe de vários objetos de interesse podem ser usadas para medir a altura de objetos e extrair informações topográficas, como curva de nível a partir de fotografias aéreas por meio de instrumentos estereoscópicos.
I - As imagens aéreas (fotográficas ou digitais) do terreno apresentam deformações geométricas que são devidas essencialmente ao fato de a imagem ser uma perspectiva central; a altitude da plataforma que transporta a câmara e ao relevo. II - Designa-se por ortorretificação o processo que conduz à transformação da imagem (fotográfica ou digital) numa imagem digital, designada por ortoimagem, semelhante à que resultaria de uma perspectiva paralela do terreno, segundo uma direção vertical; III - A ortoimagem apresenta uma escala constante e possibilita o uso métrico da informação de modo semelhante a uma planta topográfica baseada numa projeção cartográfica. IV - A Estereoscopia é o deslocamento aparente de um objeto em relação a um referencial, devido a uma mudança na posição do observador. V - As diferenças na paralaxe de vários objetos de interesse podem ser usadas para medir a altura de objetos e extrair informações topográficas, como curva de nível a partir de fotografias aéreas por meio de instrumentos estereoscópicos.
Provas
Questão presente nas seguintes provas
2864666
Ano: 2022
Disciplina: Segurança Pública
Banca: FAU-UNICENTRO
Orgão: Pref. Ponta Grossa-PR
Disciplina: Segurança Pública
Banca: FAU-UNICENTRO
Orgão: Pref. Ponta Grossa-PR
Provas:
À luz do Estatuto Geral das Guardas
Municipais (Lei n. 13.022/2014), é CORRETO
afirmar:
Provas
Questão presente nas seguintes provas
2864665
Ano: 2022
Disciplina: Segurança Pública
Banca: FAU-UNICENTRO
Orgão: Pref. Ponta Grossa-PR
Disciplina: Segurança Pública
Banca: FAU-UNICENTRO
Orgão: Pref. Ponta Grossa-PR
Provas:
O Código Q é um padrão de comunicação
adotado internacionalmente, pelas forças
militares, polícias, unidades de pronto
atendimento de saúde e empresas de
segurança privadas. Assinale entre as
alternativas abaixo a que apresenta a
codificação INCORRETA:
Provas
Questão presente nas seguintes provas
Podemos relacionar a afirmativa a seguir:
“Dispor sobre as condições para a promoção,
proteção e recuperação da saúde, a
organização e o funcionamento dos serviços
correspondentes”, com qual lei ou norma?
Provas
Questão presente nas seguintes provas
De acordo com o código de ética
profissional, qual o alvo de atenção do
tecnólogo e técnico de radiologia?
Provas
Questão presente nas seguintes provas
O estudo contrastado das articulações
sinoviais, denomina-se:
Provas
Questão presente nas seguintes provas
Qual a carga elétrica do elétron?
Provas
Questão presente nas seguintes provas
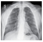
Conforme a imagem abaixo, qual nome
desta incidência?


Provas
Questão presente nas seguintes provas
Quanto a anatomia dos pulmões podemos
afirmar:
I - Há 2 pulmões. II - Pulmão esquerdo é maior que o direito. III - Pulmão direito é maior que o esquerdo. IV - Mediastino está abaixo do diafragma.
I - Há 2 pulmões. II - Pulmão esquerdo é maior que o direito. III - Pulmão direito é maior que o esquerdo. IV - Mediastino está abaixo do diafragma.
Provas
Questão presente nas seguintes provas
Para o processamento radiográfico se faz
necessário que os íons sensibilizem os:
Provas
Questão presente nas seguintes provas
Cadernos
Caderno Container