Foram encontradas 256 questões.
“Quando a quantidade ou a frequência de efeitos biológicos produzidos pela radiação começa a desequilibrar o organismo humano ou o funcionamento de um órgão, surgem sintomas clínicos denunciadores da incapacidade do organismo de superar ou reparar tais danos, que são as doenças. Assim, “o aparecimento de um tumor cancerígeno radioinduzido, significa já quase o final de uma história de danos, reparos e propagação, de vários anos após o período de irradiação”. A ocorrência de leucemia nos japoneses, vítimas das bombas de Hiroshima e Nagasaki, teve um máximo de ocorrência cinco anos após. As queimaduras originárias de manipulação de fontes de 192Ir, em acidente com irradiadores de gamagrafia, aparecem horas após. Porém, os efeitos orgânicos mais dramáticos, como a redução de tecido, ou possível perda dos dedos, podem levar até 6 meses para acontecer”. As fases dos efeitos biológicos produzidas pela radiação ionizante podem ser físico, químicos, biológicos e orgânicos. O item que apresenta apenas efeitos biológicos seria:
Provas
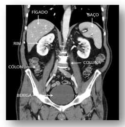
“Por seu papel contundente na detecção de diagnósticos clínicos, é necessário um profissional treinado para realizar a Tomografia Computadorizada, conhecimentos de Anatomia, Fisiologia, Radiologia, Física, entre outros, são cruciais para a formação do profissional e, posteriormente, para garantir uma imagem com qualidade para a abordagem clínica correta com o paciente” (MACIEL E JÚNIOR, 2015).

Observando a imagem acima e usando os conhecimentos sugeridos no trecho escrito escolha a opção que traz apenas as proposições verdadeiras.
I - A retirada do cólon, esplenectomia, pode ser importante em quadros complicados de digestão.
II - Ao contribuir diretamente com a hematose e enurese, o fígado executa outras inúmeras funções.
III - O rim promove o controle do equilíbrio hidroeletrolítico sendo a sede da filtração glomerular.
IV - O baço é o órgão que se lesiona com mais frequência no abdômen quando há pancadas violentas no lado esquerdo.
Marque as opções verdadeiras:
Provas
Deve-se suspeitar de traumatismo craniano se a vítima apresentar um ou mais dos seguintes sinais e/ou sintomas.
Provas
Existem diferentes tipos de invólucros para esterilização de materiais hospitalares disponíveis no mercado. No processo de escolha, há dois fatores preponderantes: a qualidade da embalagem para esterilização e o seu custo. Diante da afirmativa, em relação ao conceito do papel grau cirúrgico, é correto afirmar que:
Provas
A paralisia de partes similares nos dois lados do corpo, ou seja, paralisia bilateral, é denominada de:
Provas
Disciplina: Legislação Municipal
Banca: Itame
Orgão: Pref. São Luís Montes Belos-GO
Acerca das Limitações do Poder de Tributar estabelecidos na Lei Orgânica, podemos afirmar que não é proibido ao município de São Luís de Montes Belos:
Provas
Disciplina: Direito Tributário
Banca: Itame
Orgão: Pref. São Luís Montes Belos-GO
São tributos indiretos:
Provas
Disciplina: Direito Tributário
Banca: Itame
Orgão: Pref. São Luís Montes Belos-GO
Que obrigação que decorre da legislação tributária e tem por objeto as prestações, positivas ou negativas, nela previstas no interesse da arrecadação ou da fiscalização dos tributos:
Provas
Disciplina: Direito Tributário
Banca: Itame
Orgão: Pref. São Luís Montes Belos-GO
São considerados tributos não vinculados:
Provas
Disciplina: Legislação Municipal
Banca: Itame
Orgão: Pref. São Luís Montes Belos-GO
Em se tratando de Obras e Serviços Municipais, a Lei Orgânica do Município de São Luís de Montes Belos, estabelece que a concessão de uso ou do serviço público municipal
Provas
Caderno Container