Foram encontradas 3.880 questões.
Com relação à MINOCA (myocardial infarction with nonobstructive coronary arteries), julgue o item a seguir.
A maioria dos pacientes com MINOCA tem apresentação clínica de infarto agudo do miocárdio sem supradesnível do segmento ST.
Provas
Uma paciente de 78 anos de idade, com antecedentes de hipertensão arterial, queixava-se de cefaleia e mialgia havia três semanas. No exame físico, ela se encontrava eupneica, com pressão arterial de 136 mmHg × 82 mmHg, frequência cardíaca de 64 bpm e ritmo cardíaco regular, em três tempos (quarta bulha), com sopro diastólico (++/4) no segundo espaço intercostal à direita, sem clique ou atrito. O restante do exame físico foi normal. A velocidade de hemossedimentação foi de 78 mm/h. O eletrocardiograma não revelou anormalidades significativas. O ecocardiograma demonstrou derrame pericárdico leve e dimensão aórtica de 4 cm (seio de Valsalva), 4,4 cm (junção sinotubular) e 4,5 cm (aorta proximal ascendente). A janela acústica não permitiu uma adequada visualização da valva aórtica.
A respeito do caso clínico hipotético apresentado, julgue o item subsequente.
A etiologia mais provável do sopro descrito é a presença de disfunção de válvula aórtica bicúspede.
Provas
Uma paciente de 78 anos de idade, com antecedentes de hipertensão arterial, queixava-se de cefaleia e mialgia havia três semanas. No exame físico, ela se encontrava eupneica, com pressão arterial de 136 mmHg × 82 mmHg, frequência cardíaca de 64 bpm e ritmo cardíaco regular, em três tempos (quarta bulha), com sopro diastólico (++/4) no segundo espaço intercostal à direita, sem clique ou atrito. O restante do exame físico foi normal. A velocidade de hemossedimentação foi de 78 mm/h. O eletrocardiograma não revelou anormalidades significativas. O ecocardiograma demonstrou derrame pericárdico leve e dimensão aórtica de 4 cm (seio de Valsalva), 4,4 cm (junção sinotubular) e 4,5 cm (aorta proximal ascendente). A janela acústica não permitiu uma adequada visualização da valva aórtica.
A respeito do caso clínico hipotético apresentado, julgue o item subsequente.
Degeneração das fibras elásticas, perda de células musculares lisas e aumento da deposição de colágeno são mecanismos envolvidos na condição clínica apresentada pela paciente.
Provas
Uma paciente de 78 anos de idade, com antecedentes de hipertensão arterial, queixava-se de cefaleia e mialgia havia três semanas. No exame físico, ela se encontrava eupneica, com pressão arterial de 136 mmHg × 82 mmHg, frequência cardíaca de 64 bpm e ritmo cardíaco regular, em três tempos (quarta bulha), com sopro diastólico (++/4) no segundo espaço intercostal à direita, sem clique ou atrito. O restante do exame físico foi normal. A velocidade de hemossedimentação foi de 78 mm/h. O eletrocardiograma não revelou anormalidades significativas. O ecocardiograma demonstrou derrame pericárdico leve e dimensão aórtica de 4 cm (seio de Valsalva), 4,4 cm (junção sinotubular) e 4,5 cm (aorta proximal ascendente). A janela acústica não permitiu uma adequada visualização da valva aórtica.
A respeito do caso clínico hipotético apresentado, julgue o item subsequente.
A paciente deverá ser submetida a angiorressonância magnética de aorta torácica.
Provas
Um paciente de 69 anos de idade, com antecedentes de tabagismo, hipertensão arterial e diabetes, apresentava, havia três dias, episódios de precordialgia ao repouso, em queimação, de moderada intensidade, sem irradiação e com alívio espontâneo em menos de 20 minutos, que se tornaram mais frequentes e de maior intensidade álgica nas últimas 24 horas, período em que os episódios ocorreram três vezes. Na admissão, ele relatou persistência do desconforto torácico havia uma hora. Estava em uso regular de enalapril e metformina. No exame físico, encontrava-se eupneico, com pressão arterial de 148 mmHg × 74 mmHg, frequência cardíaca de 92 bpm e ritmo cardíaco regular, em dois tempos, sem sopros. O restante do exame físico foi normal. A dosagem da troponina ultrassensível foi normal. O paciente foi submetido ao exame de eletrocardiograma (com calibração padrão), que evidenciou o seguinte resultado.

Considerando esse caso clínico hipotético e as Diretrizes da Sociedade Brasileira de Cardiologia de 2021, julgue o item seguinte.
Recomenda-se o uso de metoprolol por via oral.
Provas
Um paciente de 69 anos de idade, com antecedentes de tabagismo, hipertensão arterial e diabetes, apresentava, havia três dias, episódios de precordialgia ao repouso, em queimação, de moderada intensidade, sem irradiação e com alívio espontâneo em menos de 20 minutos, que se tornaram mais frequentes e de maior intensidade álgica nas últimas 24 horas, período em que os episódios ocorreram três vezes. Na admissão, ele relatou persistência do desconforto torácico havia uma hora. Estava em uso regular de enalapril e metformina. No exame físico, encontrava-se eupneico, com pressão arterial de 148 mmHg × 74 mmHg, frequência cardíaca de 92 bpm e ritmo cardíaco regular, em dois tempos, sem sopros. O restante do exame físico foi normal. A dosagem da troponina ultrassensível foi normal. O paciente foi submetido ao exame de eletrocardiograma (com calibração padrão), que evidenciou o seguinte resultado.

Considerando esse caso clínico hipotético e as Diretrizes da Sociedade Brasileira de Cardiologia de 2021, julgue o item seguinte.
O paciente deverá realizar o teste ergométrico em regime ambulatorial, para avaliação diagnóstica e prognóstica.
Provas
Um paciente de 69 anos de idade, com antecedentes de tabagismo, hipertensão arterial e diabetes, apresentava, havia três dias, episódios de precordialgia ao repouso, em queimação, de moderada intensidade, sem irradiação e com alívio espontâneo em menos de 20 minutos, que se tornaram mais frequentes e de maior intensidade álgica nas últimas 24 horas, período em que os episódios ocorreram três vezes. Na admissão, ele relatou persistência do desconforto torácico havia uma hora. Estava em uso regular de enalapril e metformina. No exame físico, encontrava-se eupneico, com pressão arterial de 148 mmHg × 74 mmHg, frequência cardíaca de 92 bpm e ritmo cardíaco regular, em dois tempos, sem sopros. O restante do exame físico foi normal. A dosagem da troponina ultrassensível foi normal. O paciente foi submetido ao exame de eletrocardiograma (com calibração padrão), que evidenciou o seguinte resultado.

Considerando esse caso clínico hipotético e as Diretrizes da Sociedade Brasileira de Cardiologia de 2021, julgue o item seguinte.
A CK-MB massa deve ser dosada para confirmação diagnóstica.
Provas
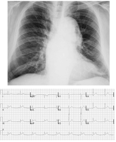
Um paciente de 68 anos de idade e hipertenso apresentava dor torácica lancinante na parede anterior com irradiação para a região cervical, de forte intensidade e sem alívio com analgésicos comuns havia duas horas. No exame físico, ele se encontrava sudorético e acianótico, com saturação de oxigênio em ar ambiente de 90%, pressão arterial de 182 mmHg × 112 mmHg e frequência cardíaca de 88 bpm. Apresentava ritmo cardíaco regular em dois tempos, com sopro diastólico (+/4) no segundo espaço intercostal à direita. Os valores da troponina ultrassensível foram normais. A radiografia de tórax e o eletrocardiograma desse paciente estão mostrados a seguir.

Com relação ao caso clínico hipotético anterior, julgue o item que se segue.
Recomenda-se o uso de nitroprussiato de sódio para a redução de até 25% da pressão arterial média em uma hora.
Provas
Um paciente de 68 anos de idade e hipertenso apresentava dor torácica lancinante na parede anterior com irradiação para a região cervical, de forte intensidade e sem alívio com analgésicos comuns havia duas horas. No exame físico, ele se encontrava sudorético e acianótico, com saturação de oxigênio em ar ambiente de 90%, pressão arterial de 182 mmHg × 112 mmHg e frequência cardíaca de 88 bpm. Apresentava ritmo cardíaco regular em dois tempos, com sopro diastólico (+/4) no segundo espaço intercostal à direita. Os valores da troponina ultrassensível foram normais. A radiografia de tórax e o eletrocardiograma desse paciente estão mostrados a seguir.

Com relação ao caso clínico hipotético anterior, julgue o item que se segue.
A angiografia coronariana é o método de escolha para a confirmação diagnóstica.
Provas
Um paciente de 68 anos de idade e hipertenso apresentava dor torácica lancinante na parede anterior com irradiação para a região cervical, de forte intensidade e sem alívio com analgésicos comuns havia duas horas. No exame físico, ele se encontrava sudorético e acianótico, com saturação de oxigênio em ar ambiente de 90%, pressão arterial de 182 mmHg × 112 mmHg e frequência cardíaca de 88 bpm. Apresentava ritmo cardíaco regular em dois tempos, com sopro diastólico (+/4) no segundo espaço intercostal à direita. Os valores da troponina ultrassensível foram normais. A radiografia de tórax e o eletrocardiograma desse paciente estão mostrados a seguir.

Com relação ao caso clínico hipotético anterior, julgue o item que se segue.
A dupla antiagregação plaquetária e a heparina não fracionada devem ser iniciadas na admissão.
Provas
Caderno Container