Foram encontradas 3.880 questões.
Paciente com 50 anos de idade, do sexo feminino, apresenta dor articular crônica em ambos os quadris, sem trauma ou febre e sem outras queixas ou outras patologias conhecidas. Radiografias convencionais da bacia por ela realizadas apresentaram as seguintes imagens.

A respeito da patologia dessa paciente, julgue o item que se segue.
Há evidência de erosão e(ou) cistos subcorticais secundários à artropatia degenerativa da articulação coxofemoral esquerda.
Provas
Paciente com 50 anos de idade, do sexo feminino, apresenta dor articular crônica em ambos os quadris, sem trauma ou febre e sem outras queixas ou outras patologias conhecidas. Radiografias convencionais da bacia por ela realizadas apresentaram as seguintes imagens.

A respeito da patologia dessa paciente, julgue o item que se segue.
Os achados são típicos de protrusão acetabular (protrusio acetabuli), um achado que pode resultar em síndrome do impacto femoroacetabular.
Provas
Paciente com 44 anos de idade, do sexo feminino, apresenta exoftalmia à esquerda de causa desconhecida, sem outras queixas ou outras patologias conhecidas. A seguir são mostradas imagens obtidas pela tomografia computadorizada realizada pela paciente.

Com relação à patologia apresentada nos exames, julgue o item seguinte.
Além da modalidade esclerótica, essa lesão pode ainda apresentar aspecto em vidro fosco, cístico, ou em “bolhas de sabão”.
Provas
Paciente com 44 anos de idade, do sexo feminino, apresenta exoftalmia à esquerda de causa desconhecida, sem outras queixas ou outras patologias conhecidas. A seguir são mostradas imagens obtidas pela tomografia computadorizada realizada pela paciente.

Com relação à patologia apresentada nos exames, julgue o item seguinte.
A cintilografia óssea não demonstrará captação nas áreas afetadas pela doença, de modo que não auxiliaria na avaliação da sua distribuição e atividade, embora colaborasse no diagnóstico diferencial com doença de Paget.
Provas
Paciente com 44 anos de idade, do sexo feminino, apresenta exoftalmia à esquerda de causa desconhecida, sem outras queixas ou outras patologias conhecidas. A seguir são mostradas imagens obtidas pela tomografia computadorizada realizada pela paciente.

Com relação à patologia apresentada nos exames, julgue o item seguinte.
A referida lesão determina densificação e importante aumento de resistência do osso acometido, além de comumente expandir o osso comprimindo às estruturas adjacentes, sem, contudo, invadi-las.
Provas
Paciente com 44 anos de idade, do sexo feminino, apresenta exoftalmia à esquerda de causa desconhecida, sem outras queixas ou outras patologias conhecidas. A seguir são mostradas imagens obtidas pela tomografia computadorizada realizada pela paciente.

Com relação à patologia apresentada nos exames, julgue o item seguinte.
A forma poliostótica dessa doença, em associação com lesões cutâneas tipo “café-com-leite” e puberdade precoce, sugeriria a possibilidade de síndrome de Von Recklinghausen.
Provas
Paciente com 44 anos de idade, do sexo feminino, apresenta exoftalmia à esquerda de causa desconhecida, sem outras queixas ou outras patologias conhecidas. A seguir são mostradas imagens obtidas pela tomografia computadorizada realizada pela paciente.

Com relação à patologia apresentada nos exames, julgue o item seguinte.
O quadro é típico de displasia fibrosa esclerótica, havendo a possibilidade de meningioma em placa como importante diagnóstico diferencial.
Provas

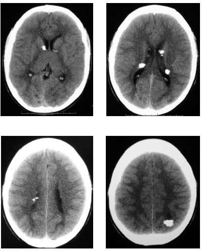
Em relação à patologia desse paciente, julgue o item a seguir.
As calcificações subependimárias devem corresponder a hamartomas, os quais são encontrados em 95% dos portadores dessa entidade.
Provas

Em relação à patologia desse paciente, julgue o item a seguir.
O diagnóstico mais provável é de esclerose tuberosa, sendo a ressonância magnética de encéfalo indicada para pesquisa de hamartomas corticais, cuja demonstração é limitada na tomografia computadorizada.
Provas
Paciente com 11 anos de idade, do sexo masculino, apresenta moderada deficiência intelectual e crises convulsivas, além de lesões cutâneas do tipo adenoma sebáceo, sem outras queixas ou outras patologias conhecidas. Realizou uma tomografia computadorizada cujas imagens são mostradas a seguir.

Em relação à patologia desse paciente, julgue o item a seguir.
A tríade clássica de apresentação clínica de retardo mental, convulsões e adenoma sebáceo está presente em mais de 90% dos pacientes portadores da patologia em questão, sendo os métodos de imagens necessários apenas para a avaliação das complicações.
Provas
Caderno Container