Magna Concursos

Foram encontradas 407 questões.

2902973 Ano: 2022
Disciplina: Fisioterapia
Banca: UFG
Orgão: UFG

As alterações que ocorrem no período pós-natal incluem a maturação do sistema nervoso central e o desenvolvimento do aprendizado e da percepção. Em se tratando de um lactente de quatro meses de vida, com um desenvolvimento neuropsicomotor adequado para a idade, são observados

 

Provas

Questão presente nas seguintes provas
2902972 Ano: 2022
Disciplina: Fisioterapia
Banca: UFG
Orgão: UFG

A posição prona e o posicionamento em decúbito lateral fazem parte do tratamento de vários distúrbios pulmonares, como a síndrome do desconforto respiratório agudo, a atelectasia e o derrame pleural. A explicação fisiológica para esses casos é que

 

Provas

Questão presente nas seguintes provas
2902971 Ano: 2022
Disciplina: Fisioterapia
Banca: UFG
Orgão: UFG

A pressão positiva aplicada às vias aéreas aumenta o gradiente de pressão transpulmonar, melhora a expansão pulmonar e é usada para tratar atelectasias e mobilizar secreções, podendo ser aplicada por meio da

 

Provas

Questão presente nas seguintes provas
2902970 Ano: 2022
Disciplina: Fisioterapia
Banca: UFG
Orgão: UFG

Durante consulta fisioterapêutica, paciente de 61 anos, sexo masculino, relata ter sido trabalhador braçal pesado e apresentou como queixas fadiga e dificuldades nas atividades funcionais, além de fraqueza e tremor no membro superior esquerdo. Na avaliação física, foi observada uma “postura simiesca”, pele excessivamente gordurosa, incapacidade de elevar a voz, feição facial inexpressiva, discinesia e desaceleração generalizada. Diante dos sinais e sintomas apresentados, a hipótese diagnostica em questão é de quadro de

 

Provas

Questão presente nas seguintes provas
2902969 Ano: 2022
Disciplina: Fisioterapia
Banca: UFG
Orgão: UFG

Analise o gráfico a seguir.

Enunciado 3185423-1

Disponível em: htpp//:www.xlung.net. Acesso em: 22. set. 2022.

Trata-se de um paciente em desmame de ventilação mecânica, com os seguintes parâmetros modo PSV, FiO2: 40%, PEEP: 6, PS: 10. Com base na figura e nos dados apresentados, qual seria o tipo de assincronia paciente-ventilador apontada no gráfico e a sua respectiva correção?

 

Provas

Questão presente nas seguintes provas
2902967 Ano: 2022
Disciplina: Fisioterapia
Banca: UFG
Orgão: UFG

A Resolução nº 552, de 12 de agosto de 2022, no que diz respeito ao Referencial Nacional de Honorários Fisioterapêuticos (RNHF), estabelece

 

Provas

Questão presente nas seguintes provas
2902966 Ano: 2022
Disciplina: Fisioterapia
Banca: UFG
Orgão: UFG

Ao avaliar um paciente com dreno de tórax, o fisioterapeuta notou que o paciente se encontrava no leito em posição antálgica, com lateralização do tronco para o lado do dreno. Ao abordar esse paciente, espera-se que o profissional deverá primeiro instituir

 

Provas

Questão presente nas seguintes provas
2902965 Ano: 2022
Disciplina: Fisioterapia
Banca: UFG
Orgão: UFG

A medida das pressões respiratórias máximas é um procedimento importante para a avaliação funcional dos músculos respiratórios. Preconiza-se a realização de três a cinco manobras, obtendo-se pelo menos três manobras aceitáveis e duas reprodutíveis. São manobras aceitáveis:

 

Provas

Questão presente nas seguintes provas
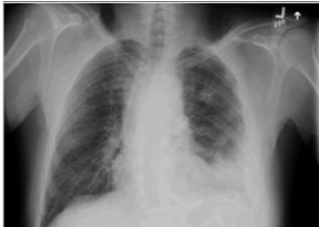
2902964 Ano: 2022
Disciplina: Fisioterapia
Banca: UFG
Orgão: UFG

Observe a radiografia de tórax a seguir.

Enunciado 3185076-1

Disponível em: https://bestpractice.bmj.com/topics/pt-br/287. Acesso em: 22 set. 2022.

A radiografia de tórax é utilizada como um instrumento de rápida avaliação das anormalidades no tórax. A imagem é de um paciente de 64 anos que chegou ao pronto-socorro com taquipneia e dessaturação. No caso da radiografia apresentada, ela evidencia

 

Provas

Questão presente nas seguintes provas
2902963 Ano: 2022
Disciplina: Fisioterapia
Banca: UFG
Orgão: UFG

O posicionamento do paciente hospitalizado pode trazer repercussões importantes. No caso das doenças pulmonares unilaterais, o decúbito

 

Provas

Questão presente nas seguintes provas