Foram encontradas 1.460 questões.
Homem de 63 anos é submetido à ressecção cirúrgica pulmonar esquerda (pneumonectomia) por câncer pulmonar, associado à extensa ressecção de linfonodos mediastinais (linfadenectomia mediastinal). Ao término do procedimento operatório, realizou-se drenagem pleural esquerda. No primeiro pós-operatório, cinco horas após o início da primeira refeição, ocorreu a saída de secreção de aspecto branco leitoso, fluido, inodoro, sem grumos e que, ao final do dia, tinha um volume total de drenagem de 900 mL. No dia seguinte, o débito já alcançava 1300 mL/dia, mantendo o mesmo aspecto. O doente apresenta- se em regular estado geral, normocorado, hidratado, afebril e a ferida operatória tem bom aspecto.
Com base nos sítios anatômicos onde foi realizada a cirurgia, aspecto e valores do drenado pleural, assinale a alternativa que descreve a melhor hipótese diagnóstica da natureza do líquido pleural drenado e qual exame complementar laboratorial deve-se solicitar para confirmar o diagnóstico.
Provas
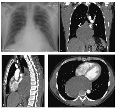
Homem de 40 anos foi hospitalizado para investigação de tosse seca e febre diária há 10 dias. O exame físico não mostrou alterações. Exames laboratoriais mostraram anemia normocítica, normocrômica (Hb = 9,7 g/dL), PCR elevada (PCR = 33,1 mg/dL), plaquetose (plaquetas = 592.000/mm3) e leucocitose sem desvio (leucócitos = 14.290/mm3). O paciente evoluiu com picos febris diários e taquicardia. Realizou RX tórax e Tomografia de Tórax (demonstrados a seguir).

A hipótese diagnóstica do paciente é:
Provas
Com relação aos tumores da parede torácica, assinale a alternativa correta.
Provas
Homem de 52 anos, tabagista e portador de DPOC, procura atendimento médico por queixa de tosse há quatro semanas e escarro com sangue há uma semana. Traz consigo uma radiografia de tórax que mostra uma imagem de massa pulmonar de 12,0 cm, junto ao hilo pulmonar direito. Realizado exame broncoscópico, que identificou lesão vegetante em brônquio principal direito, distando 1,5 cm da carina principal e obstruído 50% da luz brônquica.
Os prováveis diagnósticos são:
Provas
O tumor de Tobias-Pancoast, na maioria das vezes, está associado à síndrome com o mesmo epônimo.
As estruturas envolvidas nesta síndrome, a localização do tumor e o tipo histológico mais frequente, estão descritos corretamente na seguinte alternativa:
Provas
Entre as complicações das neoplasias pulmonares, a síndrome de Paget-Schroetter é uma delas e apresenta-se com as seguintes características:
Provas
A posição de Overholt-Parry Brown, em cirurgia torácica, apresenta a seguinte característica:
Provas
Homem de 37 anos foi atendido em hospital após atropelamento. Encontrava-se inconsciente, com desvio de traqueia à direita, estase jugular esquerda e, no exame do tórax, apresentava-se com escoriações e contusões na parede torácica esquerda; palpação com crepitação de 2 costelas; percussão com timpanismo exacerbado e, na ausculta, o murmúrio vesicular estava ausente no HTE. Apresentava pressão arterial de 90 x 50 mmHg, pulso de 122 bpm e saturação de O2 de 84%. Bulhas rítmicas normofonéticas sem sopros.
Com base na história clínica e dados do exame físico apresentados, a conduta a ser tomada para com o paciente deverá ser
Provas
Homem de 25 anos deu entrada na emergência (conduzido por parentes) consciente e orientado, falando normalmente, vítima de ferimento por arma branca, localizado no quarto espaço intercostal na linha axilar média do hemitórax direito. Apresenta-se estável, referindo dor no local da ferida, acianótico, sob uso de máscara facial, com inalação de O2 15 L/min., frequência respiratória de 22 incursões respiratórias por minuto, saturação de O2: 91% e traumatopneia. A frequência de pulso é igual a 90 bpm com PA= 120 x 80 mmHg.
A conduta a ser realizada para com este paciente pela equipe de plantonistas deverá ser
Provas
Mulher de 71 anos, tabagista (50 anos/maço), apresenta tosse produtiva, dor torácica à direita e em membro superior direito de caráter neuropático há um mês. Realizado RX tórax (imagem da fáscies da paciente e RX a seguir).

Diante do exposto, é correto dizer que a paciente apresenta
Provas
Caderno Container