Magna Concursos

Foram encontradas 1.460 questões.

2897085 Ano: 2023
Disciplina: Medicina
Banca: VUNESP
Orgão: UNICAMP

Criança de 4 anos é atendida na unidade de saúde com o dor abdominal recorrente. O quadro é pior pela manhã antes ir para escola, mas retorna outras vezes ao longo do dia. Em alguns momentos, ela chora de dor e agora não quer ir para a escola com medo de a dor retornar.

Nesse momento, é correto afirmar que

 

Provas

Questão presente nas seguintes provas
2897084 Ano: 2023
Disciplina: Medicina
Banca: VUNESP
Orgão: UNICAMP

Em uma criança que apresenta descamação gordurosa e amarela do couro cabeludo e manchas eritematosas no pescoço e dobras axilares, a etiologia mais provável é infecção por

 

Provas

Questão presente nas seguintes provas
2897083 Ano: 2023
Disciplina: Medicina
Banca: VUNESP
Orgão: UNICAMP

Mulher solteira nulípara de 31 anos se apresenta para um exame periódico de saúde. Ela não tem sintomas ginecológicos e sua última menstruação foi há 3 semanas. Relata que usa anticoncepcional oral e tem ciclos regulares. O exame de Papanicolau realizado há 2 semanas mostra neoplasia intraepitelial escamosa de alto grau.

Nesse momento, a conduta inicial correta é

 

Provas

Questão presente nas seguintes provas
2897082 Ano: 2023
Disciplina: Medicina
Banca: VUNESP
Orgão: UNICAMP

Considerando um paciente com anemia ferropriva que inicia o tratamento com ferro oral, qual teste será o primeiro a indicar que o paciente está respondendo?

 

Provas

Questão presente nas seguintes provas
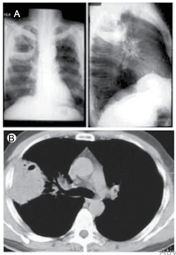
2897081 Ano: 2023
Disciplina: Medicina
Banca: VUNESP
Orgão: UNICAMP

Mulher de 85 anos, portadora de distúrbio crônico da deglutição, com vários episódios anteriores de aspiração e engasgos, procurou o pronto-socorro por apresentar febre alta, tosse produtiva (“catarro espesso”), dor torácica à direita e dispneia há uma semana. Na admissão: temp. ax. 38,0 ºC, sat.O2: 90%; PA: 125x85 mmHg; FC: 98 bpm. Após as medidas iniciais de estabilização e reanimação, foram realizados exames de imagem demonstrados a seguir.

Enunciado 3161838-1

Com base nos dados clínicos e exames demonstrados, o diagnóstico da paciente é:

 

Provas

Questão presente nas seguintes provas
2897080 Ano: 2023
Disciplina: Medicina
Banca: VUNESP
Orgão: UNICAMP

Com relação ao timoma, um tipo de neoplasia primária mediastinal, assinale a alternativa correta.

 

Provas

Questão presente nas seguintes provas
2897079 Ano: 2023
Disciplina: Medicina
Banca: VUNESP
Orgão: UNICAMP

Com relação aos tumores carcinoides pulmonares, assinale a alternativa correta.

 

Provas

Questão presente nas seguintes provas
2897078 Ano: 2023
Disciplina: Medicina
Banca: VUNESP
Orgão: UNICAMP

O papel da metastasectomia pulmonar (MP) em pacientes com câncer colorretal tem sido discutido em vários estudos nos últimos anos.

Com relação a este tema, assinale a alternativa correta.

 

Provas

Questão presente nas seguintes provas
2897077 Ano: 2023
Disciplina: Medicina
Banca: VUNESP
Orgão: UNICAMP

O procedimento de Chamberlain é indicado na seguinte situação:

 

Provas

Questão presente nas seguintes provas
2897076 Ano: 2023
Disciplina: Medicina
Banca: VUNESP
Orgão: UNICAMP

Empiema pleural é uma infecção do espaço pleural que comumente corresponde a um exsudato.

Sobre seu manejo, assinale a alternativa correta.

 

Provas

Questão presente nas seguintes provas