Foram encontradas 1.085 questões.
A assincronia ventilatória ocorre quando há uma interferência de diferentes fatores relacionados, tanto com o paciente como com o ventilador mecânico. Dessa forma, assinale a alternativa que define corretamente o tipo de assincronia, bem como suas causas.
Provas
De acordo com o caso clínico apresentado a seguir, responda a questão abaixo.
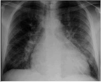
Paciente do sexo masculino, 57 anos de idade, acompanhado pela esposa, procurou serviço de urgência por dispneia aos pequenos esforços, edema de membros inferiores, diminuição do volume urinário, tosse seca associada a dispneia progressiva. Os sintomas se iniciaram há, aproximadamente, 6 meses, com dispneia seguida de edema. A dispneia, que era aos esforços moderados, rapidamente progrediu até estar presente no repouso. À ausculta pulmonar apresentou roncos e estertores em bases pulmonares. Ao raio X apresentou a radiografia a seguir:

(Arquivo pessoal, imagem usada com autorização)
Com base nas informações apresentadas no caso clínico e na imagem, qual conduta inicial mais adequada?
Provas
De acordo com o caso clínico apresentado a seguir, responda a questão abaixo.
Paciente do sexo masculino, 57 anos de idade, acompanhado pela esposa, procurou serviço de urgência por dispneia aos pequenos esforços, edema de membros inferiores, diminuição do volume urinário, tosse seca associada a dispneia progressiva. Os sintomas se iniciaram há, aproximadamente, 6 meses, com dispneia seguida de edema. A dispneia, que era aos esforços moderados, rapidamente progrediu até estar presente no repouso. À ausculta pulmonar apresentou roncos e estertores em bases pulmonares. Ao raio X apresentou a radiografia a seguir:

(Arquivo pessoal, imagem usada com autorização)
Ao exame físico, apresentou-se ansioso, agitado, dispneico, taquipneico, com frequência respiratória (FR) de 36 ipm, pressão arterial (PA) de 200/118 mmHg, frequência cardíaca (FC) de 104 bpm, temperatura (T) de 36,8 °C, saturação periférica de oxigênio (SpO2) de 88% com cateter nasal 3 L/min de oxigênio. Coletada gasometria arterial: pH: 7,16; PO2: 70; PCO2: 65; HCO3: 23; BE: –2. Considerando esses dados, o caso clínico e a imagem apresentados, assinale a alternativa correta quando ao provável diagnóstico.
Provas
De acordo com o caso clínico apresentado a seguir, responda a questão abaixo.
Paciente do sexo masculino, 57 anos de idade, acompanhado pela esposa, procurou serviço de urgência por dispneia aos pequenos esforços, edema de membros inferiores, diminuição do volume urinário, tosse seca associada a dispneia progressiva. Os sintomas se iniciaram há, aproximadamente, 6 meses, com dispneia seguida de edema. A dispneia, que era aos esforços moderados, rapidamente progrediu até estar presente no repouso. À ausculta pulmonar apresentou roncos e estertores em bases pulmonares. Ao raio X apresentou a radiografia a seguir:

(Arquivo pessoal, imagem usada com autorização)
Qual o provável diagnóstico de acordo com o caso clínico e com a imagem apresentados?
Provas
A mensuração das pressões inspiratórias e expiratórias máximas são medidas ventilatórias simples utilizadas para avaliação muscular respiratória. São contraindicações absolutas e relativas para sua realização:
Provas
Em relação aos dispositivos de oxigenioterapia, correlacione a coluna I e II e assinale a alternativa que define, corretamente, as suas características.
COLUNA I:
I. Cânula nasal.
II. Máscara de Venturi.
III. Máscara com reservatório.
IV. Máscara de macronebulização.
COLUNA II:
A – Alto fluxo, utiliza fluxos de 6-15 L/min, gerando FiO2 de até 40%, permite umidificação, também conhecida como “tenda”, produz ruído excessivo e possui alta dispersão de partículas IV.
B – Baixo fluxo, utiliza fluxos de 1 a 5 L/min, preenche toda via aérea, permite que o gás entre a cada respiração, pode ser usada com umidificação, porém pode causar ressecamento, dermatites e sangramento I.
C – Alto fluxo, utiliza fluxos de 10 a 15 L/min, gerando FiO2 de 50 a 100%, também conhecida como máscara não reinalante, produz pouca dispersão de partículas, fluido excessivo e não se utiliza umidificação III.
D – Baixo ou alto fluxo, utiliza fluxos de 3 a 15 L/min, gerando FiO2 de 24 a 50%, fácil adaptação e concentração de O2 conhecida, produz ruído excessivo e favorece dispersão de partículas II.
Provas
Os trocadores de calor e umidade Heat and Moisture Exchangers (HMEs) são dispositivos colocados entre o tubo endotraqueal e o circuito do ventilador do paciente, a fim de umidificar a via aérea do paciente. Em relação às suas características, temos:
Provas
Durante o procedimento da intubação orotraqueal, podem ocorrer efeitos adversos que são decorrentes da estimulação da laringe durante a laringoscopia. Assinale a alternativa que contém as principais alterações durante esse procedimento.
Provas
O ciclo ativo da respiração é um procedimento muito empregado pela fisioterapia em ambiente hospitalar e consiste em:
Provas
As barreiras potenciais para a mobilização na UTI podem ser relacionadas a sintomas e condições do paciente. Correlacione a coluna I e II em relação ao tipo de barreiras e suas características.
I – Barreiras:
1 – Relacionadas ao Paciente.
2 – Organizacionais.
3 – Culturais.
4 – Relacionadas ao processo.
II – Características:
A – Falta de planejamento e organização, risco para os funcionários (estresse e lesão), rastreio diário ausente e ordem de repouso prolongada.
B – Instabilidades gerais, dor, delirium e sedação profunda.
C – Falta de programa, protocolo de mobilidade precoce, equipamento limitado e alta precoce.
D – Falta de conhecimento sobre os riscos, falta de apoio e engajamento dos profissionais e mobilidade não é prioridade.
Provas
Caderno Container