Foram encontradas 119 questões.
No que se refere ao regulamento técnico de boas práticas para funcionamento de serviços de saúde,
aprovado pela Resolução RDC Nº 63, de 25 de novembro de 2011, julgue os itens a seguir e assinale a
alternativa correta.
Provas
Questão presente nas seguintes provas
A malária é uma doença infecciosa febril aguda transmitida pela picada da fêmea do mosquito Anopheles,
infectada pelo microrganismo do gênero Plasmodium, causando calafrios, febre alta, esplenomegalia, entre
outros sintomas. Dentre as espécies mais comuns temos o P. falciparum, P. vivax e P. malariae. Quais
destas tem a capacidade de parasitar o homem?
Provas
Questão presente nas seguintes provas
A Taenia solium e a Taenia saginata são vermes platelmintos pertencentes à classe Cestoda que inclui os
vermes parasitas de diversos animais vertebrados, inclusive do homem. O homem pode ser tanto o
hospedeiro definitivo quanto intermediário, a depender da forma que esses vermes se apresentam em nosso
corpo. Sendo assim, complete a frase: “O indivíduo que ingere de T. solium pode apresentar ”.
Provas
Questão presente nas seguintes provas
- Microbiologia nas Técnicas em Laboratório
- Aplicação e Execução de Técnicas Bacteriológicas Para o Diagnóstico das Doenças Infecciosas
Um homem de 72 anos comparece ao pronto socorro com febre, dor abdominal e vômitos. O médico
de plantão, suspeitando de uma infecção, prontamente solicita uma hemocultura. A cultura de
sangue revelou bactérias Gram-negativas em forma de bastonete, como demonstrado na figura
abaixo.
Fonte: https://step1.medbullets.com/microbiology/
Qual das seguintes bactérias é a mais provável causa da condição desse paciente?
Fonte: https://step1.medbullets.com/microbiology/
Qual das seguintes bactérias é a mais provável causa da condição desse paciente?
Provas
Questão presente nas seguintes provas
- Microbiologia nas Técnicas em Laboratório
- Aplicação e Execução de Técnicas Bacteriológicas Para o Diagnóstico das Doenças Infecciosas
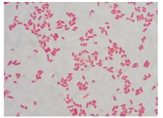
Observe a imagem a seguir:

Autor: CDC/Dr. George P. Kubica. Disponível em: https://www.biomedicinapadrao.com.br/
A tuberculose é uma importante patologia que tem como principal agente etiológico o Mycobacterium tuberculosis, também conhecido como bacilo de Koch (BK). Um importante exame laboratorial para o diagnóstico dessa doença é a baciloscopia de escarro. Qual o método de coloração é empregado para a identificação de micobactérias em amostras de escarro?
Provas
Questão presente nas seguintes provas
Considerando a Resolução da Diretoria Colegiada RDC nº 222, de 28 de março de 2018, que regulamenta
as boas práticas de gerenciamento dos resíduos de serviços de saúde, considere as afirmações a seguir e
aponte a(s) alternativa(s) correta(s).
I- Todo serviço gerador deve dispor de um plano de gerenciamento de resíduos de serviços de saúde (PGRSS), observando as regulamentações federais, estaduais, municipais ou do Distrito Federal.
II- Os geradores de resíduos dos grupos B e C, que apresentam volumes pequenos de resíduos destes grupos, podem ficar armazenados em um local específico dentro da própria área de trabalho.
III- O abrigo temporário de resíduos de serviços de saúde é desobrigado de possuir pisos e paredes revestidos de material resistente, lavável e impermeável.
IV- Serviços de piercing e tatuagem, salões de beleza e estética, dentre outros afins, não se enquadram como geradores de resíduos de serviços de saúde.
Estão corretas apenas:
I- Todo serviço gerador deve dispor de um plano de gerenciamento de resíduos de serviços de saúde (PGRSS), observando as regulamentações federais, estaduais, municipais ou do Distrito Federal.
II- Os geradores de resíduos dos grupos B e C, que apresentam volumes pequenos de resíduos destes grupos, podem ficar armazenados em um local específico dentro da própria área de trabalho.
III- O abrigo temporário de resíduos de serviços de saúde é desobrigado de possuir pisos e paredes revestidos de material resistente, lavável e impermeável.
IV- Serviços de piercing e tatuagem, salões de beleza e estética, dentre outros afins, não se enquadram como geradores de resíduos de serviços de saúde.
Estão corretas apenas:
Provas
Questão presente nas seguintes provas
Uma empresa de tecnologia está implementando um novo sistema de gestão de desempenho de pessoas. O
sistema é baseado na avaliação de desempenho 360 graus, que envolve a avaliação do colaborador por seu
superior, seus pares e seus subordinados. No monitoramento, a empresa utiliza um software para
acompanhar o desempenho dos colaboradores. O software fornece informações sobre o cumprimento das
metas, o número de clientes atendidos e a colaboração com a equipe. Já quanto ao desenvolvimento, os
colaboradores que precisam melhorar seu desempenho recebem planos de desenvolvimento
personalizados. Os planos de desenvolvimento podem incluir treinamentos, coaching ou mentoria. O novo
sistema de gestão de desempenho de pessoas está sendo bem recebido pelos colaboradores. Os
colaboradores estão percebendo que o sistema é uma ferramenta importante para o seu desenvolvimento
profissional.
Neste contexto, a avaliação de desempenho 360 graus é considerada mais eficaz do que uma avaliação tradicional, pois:
I - Envolve a avaliação do colaborador por várias fontes, o que fornece uma visão mais completa do seu desempenho.
II - É realizada de forma contínua, o que permite acompanhar o desempenho do colaborador ao longo do tempo.
III - É baseada em critérios subjetivos, o que aumenta a subjetividade da avaliação.
São verdadeiras as assertivas:
Neste contexto, a avaliação de desempenho 360 graus é considerada mais eficaz do que uma avaliação tradicional, pois:
I - Envolve a avaliação do colaborador por várias fontes, o que fornece uma visão mais completa do seu desempenho.
II - É realizada de forma contínua, o que permite acompanhar o desempenho do colaborador ao longo do tempo.
III - É baseada em critérios subjetivos, o que aumenta a subjetividade da avaliação.
São verdadeiras as assertivas:
Provas
Questão presente nas seguintes provas
Uma empresa de tecnologia está enfrentando um aumento na concorrência. Para se manter competitiva, a
empresa decidiu investir no desenvolvimento das competências dos seus colaboradores. Dentre as ações
que a empresa pode implementar, está:
Provas
Questão presente nas seguintes provas
Uma universidade deseja exibir uma apresentação de slides contendo fotos de sua estrutura física em uma
exposição. Considerando que as fotos foram distribuídas em uma apresentação do LibreOffice Impress,
assinale a alternativa que apresenta o conjunto de passos para configurá-la para repetição contínua,
possibilitando que as fotos sejam exibidas durante toda a duração da exposição.
Provas
Questão presente nas seguintes provas
Um determinado escritório controla os pagamentos de seus clientes através de uma planilha do LibreOffice
Calc. Clientes do tipo 1 são clientes novos, enquanto clientes do tipo 2 são clientes frequentes. Durante o
mês de seu aniversário, o escritório oferece uma promoção em que clientes frequentes possuem um
desconto de 20% sobre o valor total quando este superar mil reais. A planilha encontra-se disposta
conforme a imagem a seguir.
Escolha a alternativa que apresenta a função que, ao ser inserida na célula D2, apresenta o valor do desconto daquele cliente, levando em conta os critérios da promoção.
Escolha a alternativa que apresenta a função que, ao ser inserida na célula D2, apresenta o valor do desconto daquele cliente, levando em conta os critérios da promoção.
Provas
Questão presente nas seguintes provas
Cadernos
Caderno Container