Foram encontradas 1.260 questões.
Segundo a NBR 9050/2020, que trata sobre acessibilidade a edificações, mobiliário, espaços e
equipamentos urbanos, o raio mínimo para uma área de manobra de cadeira de rodas sem deslocamento
é igual a
Provas
Questão presente nas seguintes provas
3274526
Ano: 2024
Disciplina: Agronomia (Engenharia Agronômica)
Banca: FUNCERN
Orgão: AMCEVALE
Disciplina: Agronomia (Engenharia Agronômica)
Banca: FUNCERN
Orgão: AMCEVALE
Provas:
Com relação ao Ciclo Hidrológico, ocorrem transformações dos mecanismos ou formas de estados da
água na Terra. Assim, é correto afirmar que
Provas
Questão presente nas seguintes provas
Nos termos do Código Tributário do Município de Fernando Pedroza/RN (Lei Complementar Municipal n.º
010/2017), é isenta do imposto sobre a Transmissão Inter Vivos de Bens Imóveis – ITIV a primeira
transmissão de habitação popular destinada à residência do adquirente de baixa renda, desde que outra
não possua em seu nome ou no do cônjuge.
Nos termos da citada lei, entende-se como popular a habitação residencial unifamiliar de até
Nos termos da citada lei, entende-se como popular a habitação residencial unifamiliar de até
Provas
Questão presente nas seguintes provas
Nos termos do Código Tributário do Município de Fernando Pedroza/RN (Lei Complementar Municipal n.º
010/2017), a alíquota do Imposto sobre a Propriedade Predial e Territorial Urbana – IPTU para os imóveis
não edificados é de
Provas
Questão presente nas seguintes provas
- CPCAtos ProcessuaisConceito e Princípios dos Atos ProcessuaisPrazos dos Atos Processuais
- Juizados Especiais
De acordo com as disposições da Lei n.º 9.099/1995, o prazo para a interposição do recurso contra a
sentença proferida no âmbito dos Juizados Especiais Cíveis, quando cabível, será de
Provas
Questão presente nas seguintes provas
Oportuniza o conhecimento de suas origens, valorizando as diversas culturas existentes em nosso país,
e propicia ao aluno compreender seu próprio valor, aumentando sua autoestima como partícipe daquela
sociedade. No contexto escolar, promove a valorização de vivências e conhecimentos por meio do
convívio entre si, aumentando a percepção de possíveis injustiças, preconceitos e discriminações que
possam surgir, estimulando atitudes de consciência sobre esta prática. Neste texto estamos falando da
Provas
Questão presente nas seguintes provas
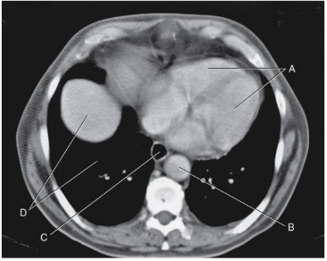
Tomografia do tórax é um exame que emprega radiação ionizante para obter cortes transversais dos
tecidos localizados na área torácica. O teste revela detalhes de ossos, veias, artérias e pulmões, além de
partes localizadas na porção entre os pulmões.
O corte tomográfico na imagem a seguir, próximo do nível de T10, demonstra a relação e o tamanho relativo a várias estruturas.

Livro: Bontrager, 8a edição, página 216.
Nessa imagem, as estruturas identificadas são:
O corte tomográfico na imagem a seguir, próximo do nível de T10, demonstra a relação e o tamanho relativo a várias estruturas.

Livro: Bontrager, 8a edição, página 216.
Nessa imagem, as estruturas identificadas são:
Provas
Questão presente nas seguintes provas
- Protocolos de Exames de Medicina NuclearBases Físicas e Tecnológicas
- Protocolos de Exames de Medicina NuclearTécnicas Radiográficas em Tomografia Computadorizada
O Técnico em radiologia, para realização de seus exames, de uma forma geral, deve ter o conhecimento
básico da anatomia, principalmente do sistema musculoesquelético, que é formado por ossos,
articulações, músculos, tendões, nervos periféricos e partes moles adjacentes. O estudo radiológico
convencional é o necessário para a avaliação. Em outros, torna-se necessário o uso de outros métodos
de imagem para avaliá-lo, incluindo ultrassom, tomografia computadorizada (TC) e ressonância
magnética (RM). O esqueleto é dividido basicamente por duas partes, a primeira, axial, e a segunda,
apendicular. Sobre alguns tipos de ossos, é correto afirmar:
Provas
Questão presente nas seguintes provas
No que concerne à Política Nacional de Mobilidade Urbana, instituída pela Lei Federal nº 12.587/2012,
Provas
Questão presente nas seguintes provas
A ocorrência de eventos climáticos extremos é atribuída às mudanças climáticas e ao efeito estufa. Sendo
assim, um gás de efeito estufa e sua respectiva fonte de emissão são, respectivamente,
Provas
Questão presente nas seguintes provas
Cadernos
Caderno Container