Foram encontradas 933 questões.
Uma paciente de 17 anos de idade foi internada durante a pandemia da Covid-19. Sete dias antes da admissão, Ela iniciou febre e tosse produtiva com escarro claro, vermelhidão nos olhos, dor de garganta, congestão nasal, rinorreia e mialgias. Dois dias após a admissão, a paciente piorou com desconforto respiratório e escarro com manchas de sangue. Os testes rápidos de antígeno para influenza A e B e Covid-19 foram negativos. A tosse piorava com esforço e respiração profunda, associada a dores no peito e nas costas. Outros sintomas incluíam fadiga e dor em ambos os joelhos ao caminhar. A paciente apresentava crescimento e desenvolvimento normais e havia recebido todas as vacinas infantis de rotina. Estava em tratamento apenas dos sintomas, e não havia alergias medicamentosas conhecidas. Era vegetariana, não bebia álcool, não fumava tabaco e nem usava drogas ilícitas. Tinha pais e irmão saudáveis. A família estava seguindo as recomendações de isolamento social. Ao exame físico, apresentou-se febril, com FC = 124 bpm, PA = 142 mmHg x 62 mmHg, FR = 30 rpm e saturação de oxigênio = 90% em ar ambiente. Os exames realizados apresentaram creatinina = 2,00 mg/dL, proteína C reativa = 77,5 mg/L, hemoglobina = 6,7 g/dL, leucócitos = 11.890 e plaquetas = 526.000. O EAS revelou 3+ sangue e 2+ proteína; com mais de 100 glóbulos vermelhos e 20 glóbulos brancos por campo de grande aumento.
Qual biópsia renal corresponderia perfeitamente ao caso clínico apresentado?
Provas
Uma paciente de 17 anos de idade foi internada durante a pandemia da Covid-19. Sete dias antes da admissão, Ela iniciou febre e tosse produtiva com escarro claro, vermelhidão nos olhos, dor de garganta, congestão nasal, rinorreia e mialgias. Dois dias após a admissão, a paciente piorou com desconforto respiratório e escarro com manchas de sangue. Os testes rápidos de antígeno para influenza A e B e Covid-19 foram negativos. A tosse piorava com esforço e respiração profunda, associada a dores no peito e nas costas. Outros sintomas incluíam fadiga e dor em ambos os joelhos ao caminhar. A paciente apresentava crescimento e desenvolvimento normais e havia recebido todas as vacinas infantis de rotina. Estava em tratamento apenas dos sintomas, e não havia alergias medicamentosas conhecidas. Era vegetariana, não bebia álcool, não fumava tabaco e nem usava drogas ilícitas. Tinha pais e irmão saudáveis. A família estava seguindo as recomendações de isolamento social. Ao exame físico, apresentou-se febril, com FC = 124 bpm, PA = 142 mmHg x 62 mmHg, FR = 30 rpm e saturação de oxigênio = 90% em ar ambiente. Os exames realizados apresentaram creatinina = 2,00 mg/dL, proteína C reativa = 77,5 mg/L, hemoglobina = 6,7 g/dL, leucócitos = 11.890 e plaquetas = 526.000. O EAS revelou 3+ sangue e 2+ proteína; com mais de 100 glóbulos vermelhos e 20 glóbulos brancos por campo de grande aumento.
Qual é o diagnóstico mais provável para essa paciente?
Provas
Uma paciente de 42 anos de idade, com peso = 50 kg, fadiga e dor de cabeça há duas semanas foi admitida na emergência com confusão mental e erupção cutânea petequial difusa, FC = 115 bpm e PA = 120 mmHg x 65 mmHg. Os resultados dos exames laboratoriais revelaram anemia, com hematócrito = 20%, plaquetopenia = 12.000, creatinina sérica = 1,6 mg/dL (basal de 0,8 mg/dL), DHL = 2.100 U/mL e haptoglobina < 6 mg/dL. Um esfregaço de sangue periférico mostrou 15% de esquistócitos. A plasmaférese foi indicada para tratamento de provável púrpura trombocitopênica trombótica enquanto se aguardava o resultado da atividade ADAMTS13.
Qual é o volume plasmático estimado a ser trocado, e qual o fluido de substituição a ser utilizado respectivamente?
Provas
Uma paciente de 30 anos de idade, portadora de nefropatia membranosa primária confirmada por biópsia renal, com nível de anti-PLA2R de 185 UR/mL (VR menor que 14 UR/mL). Na consulta de retorno de seis meses, os exames laboratoriais mostram creatinina sérica de 1,1 mg/dL, albumina sérica de 2,8 g/dL e proteínúria de 8,6 g na urina de 24 horas. Sua pressão arterial está controlada em 130 mmHg x 78 mmHg em uso de 100 mg de losartana. A nova dosagem de anti-PLA2R foi de 312 UR/mL.
Qual é a conduta recomendada para o caso?
Provas

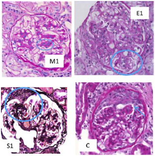
Um paciente de 32 anos de idade foi diagnosticado, recentemente, com hipertensão de diagnóstico (PA = 160 mmHg x 90 mmHg) e hematúria microscópica repetida e confirmada. Exames complementares revelaram creatinina sérica = 1,0 mg/dL e proteinúria na urina de 24 horas = 650 mg. Ele foi submetido a biópsia renal, segundo a figura apresentada, que confirmou o diagnóstico de nefropatia por IgA com pontuação MEST-C M1, E1, S1, T1, C.
Após três meses, o nível da creatinina sérica do paciente piorou gradualmente para 1,5 mg/dL (TFGe = 43 mL/min/1,73 m2), e a proteinúria aumentou de 0,65 g para 2,1 g na urina de 24 horas. O índice de massa corporal (IMC) é de 24 kg/m2, a pressão está controlada, e ele não apresenta outras comorbidades.
Com base no exposto, qual é o próximo passo?
Provas

Um paciente de 32 anos de idade foi diagnosticado, recentemente, com hipertensão de diagnóstico (PA = 160 mmHg x 90 mmHg) e hematúria microscópica repetida e confirmada. Exames complementares revelaram creatinina sérica = 1,0 mg/dL e proteinúria na urina de 24 horas = 650 mg. Ele foi submetido a biópsia renal, segundo a figura apresentada, que confirmou o diagnóstico de nefropatia por IgA com pontuação MEST-C M1, E1, S1, T1, C.
Qual é o primeiro passo no manejo clínico desse paciente?
Provas
A intoxicação por alumínio é uma complicação que pode causar neurotoxicidade grave e pode se manifestar de diversas maneiras, por exemplo, crises convulsivas, mioclonias e encefalopatia.
Além da otimização da terapia dialítica, o tratamento inclui a (o)
Provas
Durante um turno de hemodiálise, uma paciente apresentou dor abdominal intensa de início súbito, náuseas, vômitos e hipertensão. Ao avaliar o dialisador, notou-se sangue vermelho vivo, sem ruptura das fibras capilares. Então, a sessão de diálise foi encerrada e os exames demonstraram queda importante da hemoglobina de 11 g/dL para 6g/dL e potássio = 6,5mg/dL.
A complicação intradialítica relatada no caso apresentado pode estar relacionada com a
Provas
Durante um turno de hemodiálise, uma paciente apresentou dor abdominal intensa de início súbito, náuseas, vômitos e hipertensão. Ao avaliar o dialisador, notou-se sangue vermelho vivo, sem ruptura das fibras capilares. Então, a sessão de diálise foi encerrada e os exames demonstraram queda importante da hemoglobina de 11 g/dL para 6g/dL e potássio = 6,5mg/dL.
A complicação relatada é
Provas
Uma paciente de 45 anos de idade, com diagnóstico de doença renal crônica G5A3 por doença renal diabética, foi admitida para realização ambulatorial de sua primeira sessão de hemodiálise por hipervolemia refratária. Na admissão queixava-se de dispneia aos grandes esforços, edema em membros inferiores, PA = 180 mmHg x 100 mmHg, SatO2 = 97% em ar ambiente. Após 30 minutos em hemodiálise, apresentou dispneia intensa, com SatO2 = 88%, prurido generalizado e hipotensão arterial, PA = 90 mmHg x 60 mmHg.
Acerca desse caso clínico, assinale a alternativa que corresponde à possível complicação e ao respectivo tratamento.
Provas
Caderno Container