Foram encontradas 900 questões.
Quanto à anatomia do sistema urinário, julgue os itens a seguir.
O rim pode ser dividido em córtex e medula. O córtex constitui-se de glomérulo e túbulos contorcidos, como proximais e distais; já a medula contém as alças de Henle e os túbulos coletores.
Provas
Quanto à anatomia do sistema urinário, julgue os itens a seguir.
Junção ureteropiélica, porção ureteral anterior à bifurcação das artérias ilíacas comuns e junção ureterovesical são os segmentos ureterais com maior impactação de um cálculo.
Provas
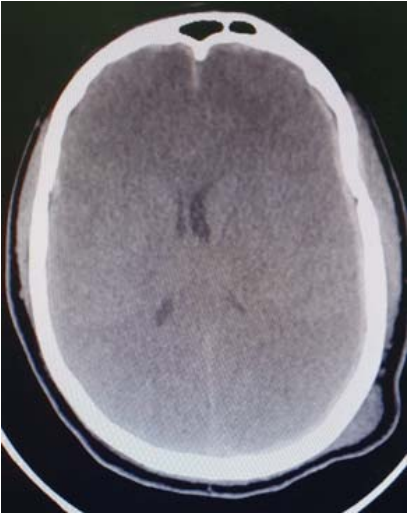
Um paciente de 31 anos de idade, com 90 kg, previamente hígido, foi trazido pelo Serviço de Atendimento Móvel de Urgência (SAMU), em imobilização padrão, após capotamento de automóvel. Relato de Glasgow 12 no momento da cena. AC = RC2T com BNF e FC = 112 bpm, AP = MVF sem RA e FR = 19 irpm, PA = 150 mmHg x 97 mmHg e SatO2 = 96%. Na avaliação inicial, apresenta abertura ocular ao estímulo doloroso com duração inferior a 10 segundos, localizando o estímulo doloroso e sons incompreensíveis, pupilas isocóricas e foto reagentes. A TC de crânio está reproduzida a seguir.

Fonte: Acervo pessoal.
Considerando esse caso clínico e com base nos conhecimentos médicos correlatos, julgue os itens a seguir.
A lesão primária, nesse caso, está associada a maior morbimortalidade quando comparado com hematomas epidurais
Provas
Um paciente de 31 anos de idade, com 90 kg, previamente hígido, foi trazido pelo Serviço de Atendimento Móvel de Urgência (SAMU), em imobilização padrão, após capotamento de automóvel. Relato de Glasgow 12 no momento da cena. AC = RC2T com BNF e FC = 112 bpm, AP = MVF sem RA e FR = 19 irpm, PA = 150 mmHg x 97 mmHg e SatO2 = 96%. Na avaliação inicial, apresenta abertura ocular ao estímulo doloroso com duração inferior a 10 segundos, localizando o estímulo doloroso e sons incompreensíveis, pupilas isocóricas e foto reagentes. A TC de crânio está reproduzida a seguir.

Fonte: Acervo pessoal.
Considerando esse caso clínico e com base nos conhecimentos médicos correlatos, julgue os itens a seguir.
A hiperventilação profilática com PaCO2 < 25 mmHg está contraindicada para esse paciente após ser realizada a craniotomia descompressiva.
Provas
Um paciente de 31 anos de idade, com 90 kg, previamente hígido, foi trazido pelo Serviço de Atendimento Móvel de Urgência (SAMU), em imobilização padrão, após capotamento de automóvel. Relato de Glasgow 12 no momento da cena. AC = RC2T com BNF e FC = 112 bpm, AP = MVF sem RA e FR = 19 irpm, PA = 150 mmHg x 97 mmHg e SatO2 = 96%. Na avaliação inicial, apresenta abertura ocular ao estímulo doloroso com duração inferior a 10 segundos, localizando o estímulo doloroso e sons incompreensíveis, pupilas isocóricas e foto reagentes. A TC de crânio está reproduzida a seguir.

Fonte: Acervo pessoal.
Considerando esse caso clínico e com base nos conhecimentos médicos correlatos, julgue os itens a seguir.
Para esse paciente estão indicados internação neurocirúrgica, cuidados neurocríticos e craniotomia descompressiva à esquerda por causa do sangramento arterial em tomografia.
Provas
Um paciente de 70 anos de idade, com 60 kg, diabético e com hipotireoidismo, foi admitido no pronto-socorro por quadro de confusão mental. Faz uso irregular de levotiroxina 25 mg, metformina 1.000 mg e dapaglifozina 10 mg. No período de seis horas de observação no leito, foram obtidos 4 L de diurese. O paciente está hidratado, sem edema periférico, com PA = 120 mmHg x 70 mmHg, FC = 72 bpm, FR = 18 irpm e SatO2 = 98%. Exames evidenciaram sódio sérico = 120 mEq/L, creatinina sérica = 1.5 mg/dL e EAS com glicosúria.
Com base nesse caso clínico e nos conhecimentos médicos correlatos, considerando a meta de sódio de 135 mEq/L, julgue os itens a seguir.
Esse paciente apresenta deficit de sódio de 450 mEq.
Provas
Um paciente de 70 anos de idade, com 60 kg, diabético e com hipotireoidismo, foi admitido no pronto-socorro por quadro de confusão mental. Faz uso irregular de levotiroxina 25 mg, metformina 1.000 mg e dapaglifozina 10 mg. No período de seis horas de observação no leito, foram obtidos 4 L de diurese. O paciente está hidratado, sem edema periférico, com PA = 120 mmHg x 70 mmHg, FC = 72 bpm, FR = 18 irpm e SatO2 = 98%. Exames evidenciaram sódio sérico = 120 mEq/L, creatinina sérica = 1.5 mg/dL e EAS com glicosúria.
Com base nesse caso clínico e nos conhecimentos médicos correlatos, considerando a meta de sódio de 135 mEq/L, julgue os itens a seguir.
A velocidade de correção do distúrbio eletrolítico não deve ultrapassar 10 mEq/dia, a fim de evitar uma desmielinização osmótica.
Provas
Um paciente de 70 anos de idade, com 60 kg, diabético e com hipotireoidismo, foi admitido no pronto-socorro por quadro de confusão mental. Faz uso irregular de levotiroxina 25 mg, metformina 1.000 mg e dapaglifozina 10 mg. No período de seis horas de observação no leito, foram obtidos 4 L de diurese. O paciente está hidratado, sem edema periférico, com PA = 120 mmHg x 70 mmHg, FC = 72 bpm, FR = 18 irpm e SatO2 = 98%. Exames evidenciaram sódio sérico = 120 mEq/L, creatinina sérica = 1.5 mg/dL e EAS com glicosúria.
Com base nesse caso clínico e nos conhecimentos médicos correlatos, considerando a meta de sódio de 135 mEq/L, julgue os itens a seguir.
Está indicada a reposição endovenosa de sódio com solução salina hipertônica.
Provas
Um paciente de 31 anos de idade, com 90 kg, previamente hígido, foi trazido pelo Serviço de Atendimento Móvel de Urgência (SAMU), em imobilização padrão, após capotamento de automóvel. Relato de Glasgow 12 no momento da cena. AC = RC2T com BNF e FC = 112 bpm, AP = MVF sem RA e FR = 19 irpm, PA = 150 mmHg x 97 mmHg e SatO2 = 96%. Na avaliação inicial, apresenta abertura ocular ao estímulo doloroso com duração inferior a 10 segundos, localizando o estímulo doloroso e sons incompreensíveis, pupilas isocóricas e foto reagentes. A TC de crânio está reproduzida a seguir.

Fonte: Acervo pessoal.
Considerando esse caso clínico e com base nos conhecimentos médicos correlatos, julgue os itens a seguir.
O paciente se encontra em Glasgow 9 e apresenta hematoma subdural agudo com desvio de linha média.
Provas
Um paciente de 70 anos de idade, com 60 kg, diabético e com hipotireoidismo, foi admitido no pronto-socorro por quadro de confusão mental. Faz uso irregular de levotiroxina 25 mg, metformina 1.000 mg e dapaglifozina 10 mg. No período de seis horas de observação no leito, foram obtidos 4 L de diurese. O paciente está hidratado, sem edema periférico, com PA = 120 mmHg x 70 mmHg, FC = 72 bpm, FR = 18 irpm e SatO2 = 98%. Exames evidenciaram sódio sérico = 120 mEq/L, creatinina sérica = 1.5 mg/dL e EAS com glicosúria.
Com base nesse caso clínico e nos conhecimentos médicos correlatos, considerando a meta de sódio de 135 mEq/L, julgue os itens a seguir.
A presença de glicose na urina é indicativa de que os níveis glicêmicos estão fora do alvo terapêutico.
Provas
Caderno Container