Foram encontradas 732 questões.
Caso clínico para responder à questão.

Uma paciente de 58 anos de idade encontra-se mantido em ventilação mecânica invasiva. As curvas do ventilador são as demonstradas na imagem apresentada.
Provas
Questão presente nas seguintes provas
Caso clínico para responder à questão.

Uma paciente de 58 anos de idade encontra-se mantido em ventilação mecânica invasiva. As curvas do ventilador são as demonstradas na imagem apresentada.
Provas
Questão presente nas seguintes provas
Um paciente neurocrítico em ventilação mecânica, encontra-se monitorizado por capnografia de onda. O plantonista nota essa alteração na capnografia. Qual a intervenção mais assertiva a ser feita pelo plantonista para a correção do que está sendo demonstrado?
Provas
Questão presente nas seguintes provas
Caso clínico para responder à questão.
Uma paciente de 75 anos de idade, com diabetes, hipertensão
e histórico prévio de artroplastia total de joelho direito, foi
admitida no hospital após queda de própria altura e fratura de
fêmur distal direito. A cirurgia ortopédica foi realizada sem
intercorrências. No quinto dia de pós-operatório, observou-se
no monitor FC = 120 bpm, PA = 80 mmHg x 52 mmHg,
tempo de enchimento capilar maior que 4 segundo,
rebaixamento de consciência, turgência jugular importante,
ausculta respiratória com murmúrio vesicular bilateral e sem
ruídos adventícios. Então, decidiu-se realizar um
ecocardiograma beira-leito, cujo resultado é a imagem
mostrada a seguir na janela para esternal eixo curto.

Provas
Questão presente nas seguintes provas
Caso clínico para responder à questão.
Uma paciente de 75 anos de idade, com diabetes, hipertensão
e histórico prévio de artroplastia total de joelho direito, foi
admitida no hospital após queda de própria altura e fratura de
fêmur distal direito. A cirurgia ortopédica foi realizada sem
intercorrências. No quinto dia de pós-operatório, observou-se
no monitor FC = 120 bpm, PA = 80 mmHg x 52 mmHg,
tempo de enchimento capilar maior que 4 segundo,
rebaixamento de consciência, turgência jugular importante,
ausculta respiratória com murmúrio vesicular bilateral e sem
ruídos adventícios. Então, decidiu-se realizar um
ecocardiograma beira-leito, cujo resultado é a imagem
mostrada a seguir na janela para esternal eixo curto.

A referida paciente evolui com colapso circulatório, pulso ausente e demonstrado no eletrocardiograma apresentado. Conforme essa análise, conclui-se ser o ritmo da parada cardíaca é
Provas
Questão presente nas seguintes provas
Caso clínico para responder à questão.
Uma paciente de 75 anos de idade, com diabetes, hipertensão
e histórico prévio de artroplastia total de joelho direito, foi
admitida no hospital após queda de própria altura e fratura de
fêmur distal direito. A cirurgia ortopédica foi realizada sem
intercorrências. No quinto dia de pós-operatório, observou-se
no monitor FC = 120 bpm, PA = 80 mmHg x 52 mmHg,
tempo de enchimento capilar maior que 4 segundo,
rebaixamento de consciência, turgência jugular importante,
ausculta respiratória com murmúrio vesicular bilateral e sem
ruídos adventícios. Então, decidiu-se realizar um
ecocardiograma beira-leito, cujo resultado é a imagem
mostrada a seguir na janela para esternal eixo curto.

Ainda com o uso da ecocardiografia beira-leito, realizou-se a mensuração da pressão sistólica do ventrículo direito por meio da análise do refluxo tricuspídeo demonstrando o valor de 43,4 mmHg, como apresentado na imagem.
Também foi feita a mensuração da cava na janela subcostal 4 câmaras caval. O seu valor é maior de 2,2 cm e tem variabiliadade menor que 50% aos movimentos respiratórios ainda em ventilação espontânea, conforme a imagem apresentada.
Com base nessas informações e nas imagens, a estimativa da pressão sistólica da artéria pulmonar é de
Provas
Questão presente nas seguintes provas
Caso clínico para responder à questão.
Uma paciente de 75 anos de idade, com diabetes, hipertensão
e histórico prévio de artroplastia total de joelho direito, foi
admitida no hospital após queda de própria altura e fratura de
fêmur distal direito. A cirurgia ortopédica foi realizada sem
intercorrências. No quinto dia de pós-operatório, observou-se
no monitor FC = 120 bpm, PA = 80 mmHg x 52 mmHg,
tempo de enchimento capilar maior que 4 segundo,
rebaixamento de consciência, turgência jugular importante,
ausculta respiratória com murmúrio vesicular bilateral e sem
ruídos adventícios. Então, decidiu-se realizar um
ecocardiograma beira-leito, cujo resultado é a imagem
mostrada a seguir na janela para esternal eixo curto.

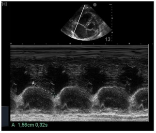
Na insonação cardíaca beira-leito, a mensuração da excursão do anel da tricúspide (TAPSE) resultou em 1,56 cm como demonstrado na imagem apresentada. Isso significa ventrículo direito
Provas
Questão presente nas seguintes provas
Caso clínico para responder à questão.
Uma paciente de 75 anos de idade, com diabetes, hipertensão
e histórico prévio de artroplastia total de joelho direito, foi
admitida no hospital após queda de própria altura e fratura de
fêmur distal direito. A cirurgia ortopédica foi realizada sem
intercorrências. No quinto dia de pós-operatório, observou-se
no monitor FC = 120 bpm, PA = 80 mmHg x 52 mmHg,
tempo de enchimento capilar maior que 4 segundo,
rebaixamento de consciência, turgência jugular importante,
ausculta respiratória com murmúrio vesicular bilateral e sem
ruídos adventícios. Então, decidiu-se realizar um
ecocardiograma beira-leito, cujo resultado é a imagem
mostrada a seguir na janela para esternal eixo curto.

Provas
Questão presente nas seguintes provas
Caso clínico para responder à questão.
Um paciente de 78 anos de idade, hipertenso e diabético, foi
admitido com náusea, sudorese fria e precordialgia, iniciadas
há duas horas. Refere história de neoplasia cerebral em
segmento com oncologia e neurologia. Na admissão,
realizou-se eletrocardiograma apresentado a seguir. Os
exames físicos mostraram PA = 84 mmHg x 56 mmHg,
SatO2 = 88%, FC = 78 bpm. Notou-se turgência jugular,
ausculta cardíaca com ritmo regular e sem sopros, e ausculta
pulmonar com murmúrio vesicular bilateral sem ruídos
adventícios. Troponina ultrassensível da admissão dentro dos
valores da normalidade de acordo com a referência.

Provas
Questão presente nas seguintes provas
Caso clínico para responder à questão.
Um paciente de 78 anos de idade, hipertenso e diabético, foi
admitido com náusea, sudorese fria e precordialgia, iniciadas
há duas horas. Refere história de neoplasia cerebral em
segmento com oncologia e neurologia. Na admissão,
realizou-se eletrocardiograma apresentado a seguir. Os
exames físicos mostraram PA = 84 mmHg x 56 mmHg,
SatO2 = 88%, FC = 78 bpm. Notou-se turgência jugular,
ausculta cardíaca com ritmo regular e sem sopros, e ausculta
pulmonar com murmúrio vesicular bilateral sem ruídos
adventícios. Troponina ultrassensível da admissão dentro dos
valores da normalidade de acordo com a referência.

Provas
Questão presente nas seguintes provas
Cadernos
Caderno Container