Foram encontradas 732 questões.
Ao proceder à laringoscopia direta, o plantonista deparou com a via aérea demonstrada na imagem. Diante disso, assinale a alternativa que corresponde à melhor conduta para o caso.
Provas
O plantonista, ao decidir pela intubação, teria como melhor opção mais assertiva, na sequência rápida de intubação, os medicamentos
Provas
Provas
Caso clínico para responder à questão.

Considere que a imagem apresentada refere-se a um paciente de 40 anos de idade, que se encontra na UTI em VM, com parâmetros ideais para mensuração do delta PP ajustados para VC = 8ml/kg (paciente curarizado). No caso, o monitor multiparamétrico mostra as medidas realizadas.
Provas
Caso clínico para responder à questão.

Considere que a imagem apresentada refere-se a um paciente de 40 anos de idade, que se encontra na UTI em VM, com parâmetros ideais para mensuração do delta PP ajustados para VC = 8ml/kg (paciente curarizado). No caso, o monitor multiparamétrico mostra as medidas realizadas.
Provas
Caso clínico para responder à questão.

Considere que a imagem apresentada refere-se a um paciente de 40 anos de idade, que se encontra na UTI em VM, com parâmetros ideais para mensuração do delta PP ajustados para VC = 8ml/kg (paciente curarizado). No caso, o monitor multiparamétrico mostra as medidas realizadas.
Provas
Provas
Caso clínico para responder à questão.

Um paciente de 72 anos de idade foi para a Unidade de Terapia Intensiva (UTI). Institucionalizado, com duas internações nos últimos seis meses por conta de sepse de foco urinário. Na admissão, realizou ultrassonografia abdominal com o achado demonstrado na imagem apresentada. Os exames laboratoriais mostraram ureia = 230, creatina = 10 e potássio = 7,5.
Provas
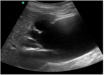
Caso clínico para responder à questão.

Um paciente de 72 anos de idade foi para a Unidade de Terapia Intensiva (UTI). Institucionalizado, com duas internações nos últimos seis meses por conta de sepse de foco urinário. Na admissão, realizou ultrassonografia abdominal com o achado demonstrado na imagem apresentada. Os exames laboratoriais mostraram ureia = 230, creatina = 10 e potássio = 7,5.
Uma sonda vesical de demora foi alocada no paciente. A coloração esverdeada da urina desse paciente sugere qual agente etiológico?
Provas
Caso clínico para responder à questão.

Um paciente de 72 anos de idade foi para a Unidade de Terapia Intensiva (UTI). Institucionalizado, com duas internações nos últimos seis meses por conta de sepse de foco urinário. Na admissão, realizou ultrassonografia abdominal com o achado demonstrado na imagem apresentada. Os exames laboratoriais mostraram ureia = 230, creatina = 10 e potássio = 7,5.
Provas
Caderno Container