Foram encontradas 100 questões.
Paciente 26 anos, na 30ª semana, secundigesta (um aborto), chega à emergência obstétrica referindo perda de líquido há 19 horas. Após anamnese detalhada do médico assistente, a paciente refere que a perda foi súbita de um liquido transparente, cheirando a água sanitária, escorrendo pelas pernas e se acumulando do chão. Negava outras queixas. Ao exame clínico, temperatura axilar de 36,5ºC e frequência cardíaca materna de 78 bpm. Ao exame obstétrico: batimentos cardiofetais de 136bpm, dinâmica uterina ausente, toque vaginal não realizado no momento e ausente líquido amniótico pelo exame especular e manobra de valsava.
Assinale a alternativa CORRETA referente ao exame que melhor tem acurácia para confirmar ou afastar a principal hipótese diagnóstica.
Provas
Paciente, 32 anos, secundigesta (cesariana anterior), na 6ª semana de gravidez com queixa de sangramento genital há 20 dias, com piora há 12 horas. Ao exame, encontrava-se com estado geral bom, hipocorada (+/4+), acianótica, consciente e orientada. Pressão arterial de 120 x 80 mmHg. Frequência cardíaca de 98 bpm. Abdome plano depressível e indolor, sem massas palpáveis e ausência de sinais de irritação peritoneal. Submetida a exame ultrassonográfico transvaginal, que revelou saco gestacional dentro de cavidade uterina, medindo 41,0 x 21,0 x 5,0 mm, de contorno regular, em topografia de istmocele, além da presença de hematoma subcoriônico de 27,0 x 17,0 mm em topografia adjacente ao saco gestacional, vesícula vitelínica visualizada com 3,5 mm e embrião com comprimento cabeça nádega de 10,6 mm, batimento cardíaco de 136 bpm e comprimento cervical de 40,0 mm. Assinale a alternativa que sugere a principal hipótese diagnóstica.
Provas
Gestante 35 anos de idade, primigesta e na 39ª semana de gravidez. Na emergência obstétrica, queixou-se de dor em baixo ventre. Ao exame, batimentos cardiofetais de 140 bpm, dinâmica uterina de 2 contrações / 10 minutos / 35 e 45 segundos. Ao toque vaginal, encontrava-se com 5 cm de dilatação, 80% de esvaecimento cervical, bolsa das águas íntegras e cefálico. Observe o partograma abaixo:

Assinale a alternativa que indica a estrutura anatômica menos relevante sobre o mecanismo do parto dessa paciente.
Provas
MJS. 29 anos. Submetida a procedimento cirúrgico hepatobiliar há 1 semana. Submetida à imagem complementar abaixo:

Qual exame foi realizado?
Provas
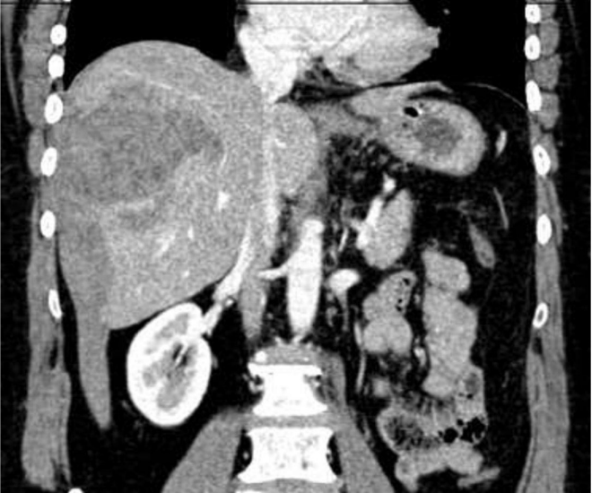
ACDC, 38 anos, sexo feminino, dá entrada no serviço de urgência, com quadro de dor abdominal em hipocôndrio direito que irradia para as costas, de forte intensidade, sudorese e taquicardia. Foi solicitada uma ultrassonografia, e, durante o exame, o radiologista optou por complementar com uma tomografia com contraste, com o seguinte achado:

Qual a principal hipótese diagnóstica para o quadro em questão?
Provas
JFS, 67 anos, sexo masculino, tabagista e alcoolista, história de perda de peso não intencional e disfagia para sólidos com início há um mês. Realizou endoscopia que evidenciou lesão vegetante ulcerada há 25cm da ADS, intransponível ao aparelho.
Qual dos sinais e sintomas abaixo NÃO está relacionado com irressecabilidade desse tumor?
Provas
VMJS, 19 anos, sexo masculino, chega ao serviço de pronto atendimento trazido por amigos, vítima de perfuração por arma branca no 6º espaço intercostal direito, com o seguinte exame físico: sonolento, pouco responsivo, taquidispneico, hipocorado (++/4+), FC 120bpm, FR 35 ipm, PA: 80x60mmHg .RCR, 2T, BNF, SSFAo (+++/6+)
MV abolidos em HTD, mantidos em HTE, s/RA. ABD plano, tenso, doloroso à palpação difusa, sem sinais de irritação peritonial. Abre os olhos ao estímuloso doloroso, emite sons incompreensíveis e realiza flexão ao estímuloso doloroso.
Ainda sobre VMJS (caso acima), após as medidas iniciais e estabilização do paciente, qual a melhor conduta para o caso em questão?
Provas
VMJS, 19 anos, sexo masculino, chega ao serviço de pronto atendimento trazido por amigos, vítima de perfuração por arma branca no 6º espaço intercostal direito, com o seguinte exame físico: sonolento, pouco responsivo, taquidispneico, hipocorado (++/4+), FC 120bpm, FR 35 ipm, PA: 80x60mmHg .RCR, 2T, BNF, SSFAo (+++/6+)
MV abolidos em HTD, mantidos em HTE, s/RA. ABD plano, tenso, doloroso à palpação difusa, sem sinais de irritação peritonial. Abre os olhos ao estímuloso doloroso, emite sons incompreensíveis e realiza flexão ao estímuloso doloroso. Qual das condutas abaixo NÃO é necessária de imediato?
Provas
PDR, 22 anos, sexo masculino, sem sintomas ou comorbidades, realiza bateria de exames para check-up. Dentre eles, fez o exame de CA 19.9 cujo resultado deu 52 U/mL (valor de referência: 37 U/mL). Levando em consideração que a sensibilidade e especificidade desse marcador para o câncer de pâncreas é, respectivamente, 85% e 90%, e este câncer possui uma incidência de 5,29/100mil homens, é CORRETO afirmar que
Provas
JMS, 52 anos, sexo masculino, submetido à gastrectomia subtotal com linfadenectomia a D2, devido a uma neoplasia gástrica. A cirurgia ocorreu de maneira eletiva e sem intercorrências.
Levando em consideração os preceitos do projeto ACERTO, qual conduta é a mais adequada para o pós-operatório?
Provas
Caderno Container