Foram encontradas 100 questões.
A cirurgia minimamente invasiva vem ganhando cada vez mais espaço dentre os procedimentos realizados no Brasil e no mundo.
Dentre as vantagens dessa modalidade, podemos citar
Provas
MJS, 52 anos, sexo feminino, procura a UPA com história de dor em epigástrio há 4 dias, de caráter constante e intensidade moderada, associada a vômitos há 1 dia. Refere 4 episódios, inicialmente com restos alimentares, mas relato de raios de sangue no último episódio. Exame físico e sinais vitais sem alterações. Realizou exames de sangue que evidenciaram um Hb 13 g/dL, Ht 39% e função renal normal.
Sobre o caso em questão, qual a conduta mais adequada?
Provas
FMS, sexo feminino, 42 anos, sem comorbidades ou cirurgias prévias, história de dor em região abdominal, em quadrante inferior esquerdo, que irradia para o umbigo, de moderada intensidade, iniciando-se após esforço físico e melhora com repouso. Ao exame físico, foi evidenciado abaulamento redutível no lado esquerdo, 2.5 cm abaixo do umbigo (na projeção do sigmóide) com aumento à manobra de Valsava.
Sobre o caso em questão, qual afirmativa está CORRETA?
Provas
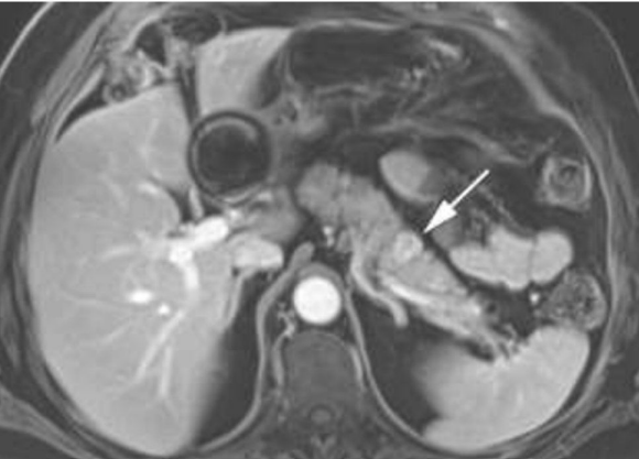
Mulher 57 anos. Dor epigástrica leve e dispepsia há 3 meses. Realizou USG que mostrou lesão mal definida em cauda pancreática. Após avaliação cirúrgica, fez uma RM do abdome superior sugestiva de tumor neuroendócrino pancreático (PNET) de 3,8 cm (Imagem abaixo). EDA normal. Sem sintomas de disglicemia ou diarreia.

Em relação à conduta e diagnóstico (estadiamento), assinale a alternativa CORRETA.
Provas
Em 2009, a OMS lançou o manual “Cirurgia Segura Salvam Vidas”, no qual, através de um checklist peroperatório, 10 objetivos essenciais eram utilizados para diminuir a morbimortalidade cirúrgica relacionada à insegurança.
Qual das assertivas abaixo NÃO é um objetivo contemplado pelo protocolo Cirurgia Segura?
Provas
A imagem abaixo retrata um acontecimento de 16 de outubro de 1846. William T.G. Morton demonstra a primeira administração bem-sucedida de anestesia geral. Este é um dos eventos mais significativos da história da medicina e ocorreu no Massachusetts General Hospital, sede da Harvard School of Medicine. A data é hoje reconhecida mundialmente como o Dia Mundial da Anestesia devido à importância desse evento.
Qual foi a substância utilizada nesse procedimento?

Provas
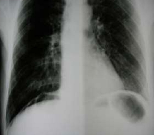
Homem, 61 anos. Admitido na emergência após dor abdominal de início súbito e de forte intensidade há 3 h. Fumante. Ao exame: taquicárdico, estável, abdome em tábua. Rx tórax abaixo. Achado cirúrgico: úlcera gástrica ( 1,5cm) perfurada pré-pilórica. Realizada biópsia das bordas da úlcera e ráfia primária com omentoplastia.

Sobre esse caso, assinale a alternativa CORRETA.
Provas
Homem, 63 anos. Dor abdominal em cólica, náusea e vômitos escuros há 24h. Passado de retosigmoidectomia aberta por doença diverticular há 4 anos. Traz o Rx abaixo.

Assinale a alternativa CORRETA em relação ao caso.
Provas
Mulher, 47 anos. Dor epigástrica, anorexia e perda de peso (6Kg) há 3 meses. Traz endoscopia digestiva alta mostrando lesão ulcerada em corpo gástrico. Após análise da biópsia, o câncer gástrico foi classificado como difuso de Lauren.
Qual das características abaixo NÃO está relacionada a esse tipo de lesão?
Provas
Mulher, 23 anos. Portadora de colelitíase (microcálculos). Apresentou quadro de abdome agudo com dor em barra e vômitos de difícil controle. Após 12 h do quadro, a amilase sérica foi 6x maior que o valor normal. Evoluiu com gravidade, necessitando de UTI. No 3º dia de internamento, apresentou os sinais de Cullen e Grey-Turner.
Qual o significado clínico desses sinais?
Provas
Caderno Container