Foram encontradas 377 questões.
Observe a imagem a seguir.

Disponível em : <https://portal.secad.artmed.com.br/artigo/radiografia-toracicaem-terapia-intensiva-o-que-o-fisioterapeuta-deve-saber>. Acesso em: 29 out.
2024.
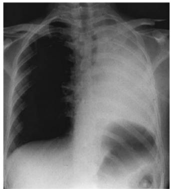
Trata-se de uma imagem radiológica de um paciente de meia idade que apresentou início recente de dispneia intensa e hemoptise volumosa. No exame físico realizado à admissão na UTI, o fisioterapeuta observou, na avaliação ectoscópica, assimetria na movimentação torácica durante inspeção dinâmica. Ao auscultá-lo, identificou ausência total dos sons pulmonares em todo o hemitórax esquerdo. A radiografia de tórax desse caso evidencia
Provas
Analise o quadro e o caso a seguir.

Um homem, com idade de 55 anos, tabagista, vem apresentando tosse crônica diária e não produtiva, dispneia a pequenos e médios esforços com limitação das atividades de vida diária. Ele foi encaminhado à reabilitação pulmonar e ainda está em investigação diagnóstica.
Tabela Disponível em: <https://portal.secad.artmed.com.br/artigo/espirometria-um-exame-genuinamente-funcional>. Acesso em: 29 out. 2024.
Com base nos dados apresentados no caso clínico, no gráfico e no quadro, o tipo de distúrbio ventilatório, com grau de alteração, se houver, e a resposta ao broncodilatador é
Provas
Provas
Paciente do sexo feminino, 72 anos de idade, sofreu fratura transtrocantérica do fêmur esquerdo em consequência de queda da própria altura. Foi submetida à cirurgia com haste cefalomedular há um dia. Na avaliação, foi constatado que a paciente estava corada, normotensa, normocárdica, eupneica, consciente, contactuante e comunicativa. Apresentava queixa de dor na região operada, principalmente na tentativa de mobilização do membro operado. Foi liberada pela equipe médica para deambular com descarga total de peso sobre o membro operado.
Os objetivos e/ou condutas fisioterapêuticas da reabilitação dessa paciente consistem em
Provas
Provas
Provas
Provas
Provas
Provas
Provas
Caderno Container